Skip to main content

Sphingosine Kinase 2/SPHK2 Antibody (9C5E1) - BSA Free

Novus Biologicals, part of Bio-Techne | Catalog # NBP2-52567

Novus Biologicals, part of Bio-Techne
Catalog #
Availability
Size / Price
Qty
Loading...
NBP2-52567-0.025mg
NBP2-52567

Key Product Details

Species Reactivity

Validated:

Human

Cited:

Human

Applications

Validated:

Immunohistochemistry, Immunohistochemistry-Paraffin, Western Blot, ELISA, Flow Cytometry, Immunocytochemistry/ Immunofluorescence, CyTOF-ready

Cited:

Western Blot

Label

Unconjugated

Antibody Source

Monoclonal Mouse IgG1 Clone # 9C5E1

Format

BSA Free

Concentration

1 mg/ml

Product Specifications

Immunogen

Synthesized peptide of human Sphingosine Kinase 2/SPHK2 (AA: 36-52).

Clonality

Monoclonal

Host

Mouse

Isotype

IgG1

Theoretical MW

69.2 kDa.
Disclaimer note: The observed molecular weight of the protein may vary from the listed predicted molecular weight due to post translational modifications, post translation cleavages, relative charges, and other experimental factors.

Description

Novus Biologicals Mouse Sphingosine Kinase 2/SPHK2 Antibody (9C5E1) - BSA Free (NBP2-52567) is a monoclonal antibody validated for use in IHC, WB, ELISA, Flow and ICC/IF. Anti-Sphingosine Kinase 2/SPHK2 Antibody: Cited in 1 publication. All Novus Biologicals antibodies are covered by our 100% guarantee.

Scientific Data Images for Sphingosine Kinase 2/SPHK2 Antibody (9C5E1) - BSA Free

Immunocytochemistry/ Immunofluorescence: Sphingosine Kinase 2/SPHK2 Antibody (9C5E1) - BSA Free [NBP2-52567]

Immunocytochemistry/ Immunofluorescence: Sphingosine Kinase 2/SPHK2 Antibody (9C5E1) - BSA Free [NBP2-52567]

Immunocytochemistry/Immunofluorescence: Sphingosine Kinase 2/SPHK2 Antibody (9C5E1) [NBP2-52567] - Analysis of HeLa cells using SK2 mouse mAb (green). Blue: DRAQ5 fluorescent DNA dye. Red: Actin filaments have been labeled with Alexa Fluor- 555 phalloidin.
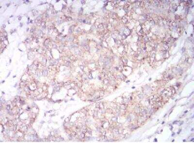
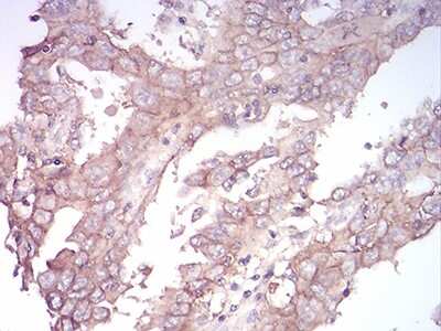
Immunohistochemistry-Paraffin: Sphingosine Kinase 2/SPHK2 Antibody (9C5E1) - BSA Free [NBP2-52567]

Immunohistochemistry-Paraffin: Sphingosine Kinase 2/SPHK2 Antibody (9C5E1) - BSA Free [NBP2-52567]

Immunohistochemistry-Paraffin: Sphingosine Kinase 2/SPHK2 Antibody (9C5E1) [NBP2-52567] - Analysis of endometrial cancer tissues using SK2 mouse mAb with DAB staining.
Flow Cytometry: Sphingosine Kinase 2/SPHK2 Antibody (9C5E1) - BSA Free [NBP2-52567]

Flow Cytometry: Sphingosine Kinase 2/SPHK2 Antibody (9C5E1) - BSA Free [NBP2-52567]

Flow Cytometry: Sphingosine Kinase 2/SPHK2 Antibody (9C5E1) [NBP2-52567] - Analysis of HeLa cells using SK2 mouse mAb (green) and negative control (red).

Applications for Sphingosine Kinase 2/SPHK2 Antibody (9C5E1) - BSA Free

Application
Recommended Usage

ELISA

1:10000

Flow Cytometry

1:200-1:400

Immunocytochemistry/ Immunofluorescence

1:200-1:1000

Immunohistochemistry

1:200-1:1000

Immunohistochemistry-Paraffin

1:200-1:1000
Application Notes
This antibody is Cytof ready. Use in Western Blot reported in scientific literature (PMID:32146198).

Formulation, Preparation, and Storage

Purification

Protein G purified

Formulation

PBS

Format

BSA Free

Preservative

0.05% Sodium Azide

Concentration

1 mg/ml

Shipping

The product is shipped with polar packs. Upon receipt, store it immediately at the temperature recommended below.

Stability & Storage

Store at 4C short term. Aliquot and store at -20C long term. Avoid freeze-thaw cycles.

Background: Sphingosine Kinase 2/SPHK2

SPHK2 catalyzes the reduction of free and protein-bound methionine sulfoxide to methionine

Alternate Names

SK2, SPK2

Gene Symbol

SPHK2

Additional Sphingosine Kinase 2/SPHK2 Products

Product Documents for Sphingosine Kinase 2/SPHK2 Antibody (9C5E1) - BSA Free

Certificate of Analysis

To download a Certificate of Analysis, please enter a lot number in the search box below.

Product Specific Notices for Sphingosine Kinase 2/SPHK2 Antibody (9C5E1) - BSA Free

This product is for research use only and is not approved for use in humans or in clinical diagnosis. Primary Antibodies are guaranteed for 1 year from date of receipt.

Loading...
Loading...
Loading...
Loading...
Loading...