Spectrin alpha 1 Antibody (SPTA1/1810)
Novus Biologicals, part of Bio-Techne | Catalog # NBP2-79771
Conjugate
Catalog #
Forumulation
Catalog #
Key Product Details
Species Reactivity
Human
Applications
Immunohistochemistry, Immunohistochemistry-Paraffin, ELISA, Protein Array
Label
Unconjugated
Antibody Source
Monoclonal Mouse IgG2c Kappa Clone # SPTA1/1810
Concentration
0.2 mg/ml
Product Specifications
Immunogen
Recombinant human Spectrin alpha 1 fragment (around aa356-475) (exact sequence is proprietary) (Uniprot: P02549)
Localization
Cytoplasmic, Cell Surface
Marker
Erythrocyte Marker
Clonality
Monoclonal
Host
Mouse
Isotype
IgG2c Kappa
Theoretical MW
240 kDa.
Disclaimer note: The observed molecular weight of the protein may vary from the listed predicted molecular weight due to post translational modifications, post translation cleavages, relative charges, and other experimental factors.
Disclaimer note: The observed molecular weight of the protein may vary from the listed predicted molecular weight due to post translational modifications, post translation cleavages, relative charges, and other experimental factors.
Description
200ug/ml of antibody purified from Bioreactor Concentrate by Protein A or G. Prepared in 10 mM PBS with 0.05% BSA & 0.05% azide. Also available WITHOUT BSA & azide at 1.0 mg/ml. (NBP2-79860)
Antibody with azide - store at 2 to 8C. Antibody without azide - store at -20 to -80C.
Antibody with azide - store at 2 to 8C. Antibody without azide - store at -20 to -80C.
Scientific Data Images for Spectrin alpha 1 Antibody (SPTA1/1810)
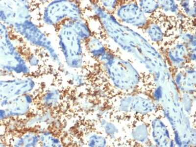
Immunohistochemistry-Paraffin: Spectrin alpha 1 Antibody (SPTA1/1810) [NBP2-79771]
Immunohistochemistry-Paraffin: Spectrin alpha 1 Antibody (SPTA1/1810) [NBP2-79771] - Formalin-fixed, paraffin-embedded human Tonsil stained with Spectrin alpha 1 Antibody (SPTA1/1810).Immunohistochemistry-Paraffin: Spectrin alpha 1 Antibody (SPTA1/1810) [NBP2-79771]
Immunohistochemistry-Paraffin: Spectrin alpha 1 Antibody (SPTA1/1810) [NBP2-79771] - Formalin-fixed, paraffin-embedded human Placenta stained with Spectrin alpha 1 Antibody (SPTA1/1810).Protein Array: Spectrin alpha 1 Antibody (SPTA1/1810) [NBP2-79771]
Protein Array: Spectrin alpha 1 Antibody (SPTA1/1810) [NBP2-79771] - Analysis of Protein Array containing more than 19,000 full-length human proteins using Spectrin alpha 1 Antibody (SPTA1/1810) Z- and S- Score: The Z-score represents the strength of a signal that a monoclonal antibody (MAb) (in combination with a fluorescently-tagged anti-IgG secondary antibody) produces when binding to a particular protein on the HuProt(TM) array. Z-scores are described in units of standard deviations (SD's) above the mean value of all signals generated on that array. If targets on HuProt(TM) are arranged in descending order of the Z-score, the S-score is the difference (also in units of SD's) between the Z-score. S-score therefore represents the relative target specificity of a MAb to its intended target. A MAb is considered to specific to its intended target, if the MAb has an S-score of at least 2.5.Applications for Spectrin alpha 1 Antibody (SPTA1/1810)
Application
Recommended Usage
ELISA
2-4 ug/ml
Immunohistochemistry
1-2 ug/ml
Immunohistochemistry-Paraffin
1-2 ug/ml
Application Notes
ELISA: Use Ab at 2-4ug/ml for coating. Order Ab without BSA.
Immunohistochemistry (Formalin-fixed): 1-2ug/ml for 30 minutes at RT. Staining of formalin-fixed tissues requires heating tissue sections in 10mM Tris with 1mM EDTA, pH 9.0, for 45 min at 95C followed by cooling at RT for 20 minutes.
Optimal dilution for a specific application should be determined.
Immunohistochemistry (Formalin-fixed): 1-2ug/ml for 30 minutes at RT. Staining of formalin-fixed tissues requires heating tissue sections in 10mM Tris with 1mM EDTA, pH 9.0, for 45 min at 95C followed by cooling at RT for 20 minutes.
Optimal dilution for a specific application should be determined.
Formulation, Preparation, and Storage
Purification
Protein A or G purified
Formulation
10 mM PBS with 0.05% BSA
Preservative
0.05% Sodium Azide
Concentration
0.2 mg/ml
Shipping
The product is shipped with polar packs. Upon receipt, store it immediately at the temperature recommended below.
Stability & Storage
Store at 4C.
Background: Spectrin alpha 1
Alternate Names
alpha-I spectrin, EL2, erythrocyte, HS3, spectrin, alpha, erythrocytic 1 (elliptocytosis 2)
Gene Symbol
SPTA1
UniProt
Additional Spectrin alpha 1 Products
Product Documents for Spectrin alpha 1 Antibody (SPTA1/1810)
Product Specific Notices for Spectrin alpha 1 Antibody (SPTA1/1810)
This product is for research use only and is not approved for use in humans or in clinical diagnosis. Primary Antibodies are guaranteed for 1 year from date of receipt.
Loading...
Loading...
Loading...
Loading...