Skip to main content

SOX10 Antibody (SOX10/991) - Azide and BSA Free

Novus Biologicals, part of Bio-Techne | Catalog # NBP2-59621

Novus Biologicals, part of Bio-Techne
Catalog #
Availability
Size / Price
Qty
Loading...
NBP2-59621
Conjugate
Catalog #

Key Product Details

Species Reactivity

Human, Mouse

Applications

Validated:

Immunohistochemistry, Immunohistochemistry-Paraffin, Western Blot, Flow Cytometry, Flow (Intracellular), Protein Array, CyTOF-ready

Cited:

Immunocytochemistry/ Immunofluorescence

Label

Unconjugated

Antibody Source

Monoclonal Mouse IgG2b Kappa Clone # SOX10/991

Format

Azide and BSA Free

Concentration

1.0 mg/ml

Product Specifications

Immunogen

Recombinant human SOX10 protein fragment (around aa115-269) (exact sequence is proprietary) (Uniprot: P56693)

Localization

Nuclear

Specificity

The specificity of this monoclonal antibody to its intended target was validated by HuProtTM Array, containing more than 19,000, full-length human proteins. Recognizes a protein of ~55kDa, identified as SOX10. This monoclonal antibody is highly specific and does not cross-react with other members of the SOX-family. SOX genes comprise a family of genes that are related to the mammalian sex-determining gene SRY. These genes similarly contain sequences that encode for the HMG-box domain, which is responsible for the sequence-specific DNA-binding activity. SOX-10 is a sensitive marker of melanoma, including conventional, spindled, and desmoplastic subtypes. It is expressed by metastatic melanomas and nodal capsular nevus in sentinel lymph nodes, but not by other lymph node components such as dendritic cells, which usually express S100 protein. Commonly used melanoma markers, such as anti-HMB-45 and anti-Melan-A, are poorly expressed in desmoplastic melanomas while SOX-10 is moderately to strongly expressed in desmoplastic melanomas. SOX-10 is considered as a very reliable marker for recognizing residual desmoplastic melanomas. In normal tissues, it is expressed in Schwann cells, melanocytes, and myoepithelial cells of salivary, bronchial and mammary glands. SOX-10 expression is also observed in mast cells.

Marker

Melanoma Marker

Clonality

Monoclonal

Host

Mouse

Isotype

IgG2b Kappa

Description

Human Chromosome Location:22q13.1


1.0 mg/ml of antibody purified from Bioreactor Concentrate by Protein A/G. Prepared in 10mM PBS WITHOUT BSA & azide. Also available at 200 ug/ml WITH BSA & azide (NBP2-59620).

Antibody with azide - store at 2 to 8C. Antibody without azide - store at -20 to -80C.

Scientific Data Images for SOX10 Antibody (SOX10/991) - Azide and BSA Free

Western Blot: SOX10 Antibody (SOX10/991)Azide and BSA Free [NBP2-59621]

Western Blot: SOX10 Antibody (SOX10/991)Azide and BSA Free [NBP2-59621]

Western Blot: SOX10 Antibody (SOX10/991) - Azide and BSA Free [NBP2-59621] - Western Blot Analysis of COLO-38 cell lysate usingSOX10 antibody (SOX10/991).
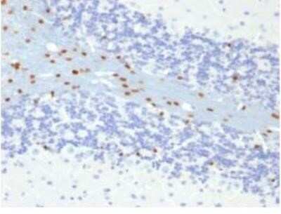
Immunohistochemistry-Paraffin: SOX10 Antibody (SOX10/991) - Azide and BSA Free [NBP2-59621]

Immunohistochemistry-Paraffin: SOX10 Antibody (SOX10/991) - Azide and BSA Free [NBP2-59621]

Immunohistochemistry-Paraffin: SOX10 Antibody (SOX10/991) - Azide and BSA Free [NBP2-59621] - Formalin-fixed, paraffin-embedded Mouse Brain stained with SOX10 Mouse Monoclonal Antibody (SOX10/991).
Flow (Intracellular): SOX10 Antibody (SOX10/991) - Azide and BSA Free [NBP2-59621]

Flow (Intracellular): SOX10 Antibody (SOX10/991) - Azide and BSA Free [NBP2-59621]

Flow (Intracellular): SOX10 Antibody (SOX10/991) - Azide and BSA Free [NBP2-59621] - An intracellular stain was performed on SK-MEL-28 cells with SOX10 Antibody [SOX10/991] NBP2-59621PE (blue) and a matched isotype control (orange). Cells were fixed with 4% PFA and then permeablized with 0.1% saponin. Cells were incubated in an antibody dilution of 2.5 ug/mL for 30 minutes at room temperature. Both antibodies were conjugated to Phycoerythrin. Image using the Azide and BSA Free format of this antibody.

Applications for SOX10 Antibody (SOX10/991) - Azide and BSA Free

Application
Recommended Usage

Flow Cytometry

0.5-1 ug/million cells

Immunohistochemistry-Paraffin

0.5-1 ug/ml

Western Blot

0.5-1 ug/ml
Application Notes
Immunohistochemistry (Formalin-fixed): 1-2ug/ml for 30 minutes at RT. Staining of formalin-fixed tissues requires heating tissue sections in 10mM Tris with 1mM EDTA, pH 9.0, for 45 min at 95C followed by cooling at RT for 20 minutes.
Optimal dilution for a specific application should be determined.

Formulation, Preparation, and Storage

Purification

Protein A or G purified

Formulation

10 mM PBS

Format

Azide and BSA Free

Preservative

No Preservative

Concentration

1.0 mg/ml

Shipping

The product is shipped with polar packs. Upon receipt, store it immediately at the temperature recommended below.

Stability & Storage

Store at -20 to -80C. Avoid freeze-thaw cycles.

Background: SOX10

SOX10 is a member of the SOX (SRY-related HMG-box) family of transcription factors involved in the regulation of embryonic development and in the determination of the cell fate. This protein may act as a transcriptional activator after forming a protein complex with other proteins. It acts as a nucleocytoplasmic shuttle protein and is important for neural crest and peripheral nervous system development. Mutations in this gene are associated with Waardenburg-Shah and Waardenburg-Hirschsprung disease.

Long Name

SRY-box transcription factor 10

Alternate Names

DOM, PCWH, SOX-10, WS2E, WS4, WS4C

Gene Symbol

SOX10

Additional SOX10 Products

Product Documents for SOX10 Antibody (SOX10/991) - Azide and BSA Free

Certificate of Analysis

To download a Certificate of Analysis, please enter a lot number in the search box below.

Product Specific Notices for SOX10 Antibody (SOX10/991) - Azide and BSA Free

This product is for research use only and is not approved for use in humans or in clinical diagnosis. Primary Antibodies are guaranteed for 1 year from date of receipt.

Loading...
Loading...
Loading...
Loading...
Loading...