Sodium Potassium ATPase Beta 1 Antibody
Novus Biologicals, part of Bio-Techne | Catalog # NBP1-51987
Key Product Details
Species Reactivity
Validated:
Human, Mouse, Rat
Predicted:
Bovine (100%), Canine (100%), Porcine (100%). Backed by our 100% Guarantee.
Applications
Immunohistochemistry, Immunohistochemistry-Paraffin, Western Blot, Peptide ELISA
Label
Unconjugated
Antibody Source
Polyclonal Goat IgG
Concentration
0.5 mg/ml
Product Specifications
Immunogen
Peptide with sequence C-KTEISFRPNDPKSYE corresponding to internal region according to NP_001668.1, NP_001001787.1.
Epitope
C-KTEISFRPNDPKSYE
Specificity
This antibody is expected to recognize both reported isoforms (NP_001668.1; NP_001001787.1).
Marker
Plasma Membrane Marker
Clonality
Polyclonal
Host
Goat
Isotype
IgG
Scientific Data Images for Sodium Potassium ATPase Beta 1 Antibody
Western Blot: Sodium Potassium ATPase Beta 1 Antibody [NBP1-51987]
Western Blot: Sodium Potassium ATPase Beta 1 Antibody [NBP1-51987] - Staining of Rat Retina lysate (35 ug protein in RIPA buffer). Antibody at 0.1 ug/mL. Primary incubation was 1 hour. Detected by chemiluminescence.Immunohistochemistry-Paraffin: Sodium Potassium ATPase Beta 1 Antibody [NBP1-51987]
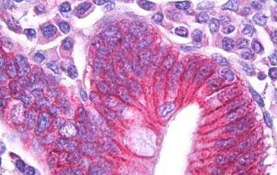
Immunohistochemistry-Paraffin: Sodium Potassium ATPase Beta 1 Antibody [NBP1-51987] - Staining of Human Small Intestine. Antibody at 5 ug/mL. Steamed antigen retrieval with citrate buffer pH 6, AP-staining.Applications for Sodium Potassium ATPase Beta 1 Antibody
Application
Recommended Usage
Immunohistochemistry-Paraffin
5 ug/mL
Peptide ELISA
Detection limit 1:128000
Western Blot
0.1 - 0.3 ug/mL
Application Notes
WB: Approx. 48 kDa band observed in rat retina lysates and 50 kDa band in mouse and rat kidney lysates is reported in scientific literature (PMID: 20130120).
Formulation, Preparation, and Storage
Purification
Immunogen affinity purified
Formulation
Tris saline (20 mM Tris pH 7.3, 150 mM NaCl), 0.5% BSA
Preservative
0.02% Sodium Azide
Concentration
0.5 mg/ml
Shipping
The product is shipped with polar packs. Upon receipt, store it immediately at the temperature recommended below.
Stability & Storage
Store at -20C. Avoid freeze-thaw cycles.
Background: Sodium Potassium ATPase Beta 1
Long Name
Sodium/potassium-transporting ATPase subunit beta-1
Alternate Names
ATP1B, ATP1B1
Entrez Gene IDs
481 (Human)
Gene Symbol
ATP1B1
UniProt
Additional Sodium Potassium ATPase Beta 1 Products
Product Documents for Sodium Potassium ATPase Beta 1 Antibody
Product Specific Notices for Sodium Potassium ATPase Beta 1 Antibody
This product is for research use only and is not approved for use in humans or in clinical diagnosis. Primary Antibodies are guaranteed for 1 year from date of receipt.
Loading...
Loading...
Loading...
Loading...