Skip to main content

Sodium Potassium ATPase Beta 1 Antibody (4M5T3)

Novus Biologicals, part of Bio-Techne | Catalog # NBP3-16560

Recombinant Monoclonal Antibody
Novus Biologicals, part of Bio-Techne
Catalog #
Availability
Size / Price
Qty
Loading...
NBP3-16560-100ul
NBP3-16560-20ul

Key Product Details

Species Reactivity

Human, Mouse, Rat

Applications

Immunohistochemistry, Immunohistochemistry-Paraffin, Western Blot

Label

Unconjugated

Antibody Source

Recombinant Monoclonal Rabbit IgG Clone # 4M5T3 expressed in HEK293

Concentration

Please see the vial label for concentration. If unlisted please contact technical services.

Product Specifications

Immunogen

A synthetic peptide corresponding to a sequence within amino acids 204-303 of human Sodium Potassium ATPase Beta 1 (P05026). YNPNVLPVQCTGKRDEDKDKVGNVEYFGLGNSPGFPLQYYPYYGKLLQPKYLQPLLAVQFTNLTMDTEIRIECKAYGENIGYSEKDRFQGRFDVKIEVKS

Clonality

Monoclonal

Host

Rabbit

Isotype

IgG

Scientific Data Images for Sodium Potassium ATPase Beta 1 Antibody (4M5T3)

Western Blot: Sodium Potassium ATPase Beta 1 Antibody (4M5T3) [NBP3-16560]

Western Blot: Sodium Potassium ATPase Beta 1 Antibody (4M5T3) [NBP3-16560]

Western Blot: Sodium Potassium ATPase Beta 1 Antibody (4M5T3) [NBP3-16560] - Western blot analysis of extracts of various cell lines, using Sodium Potassium ATPase Beta 1 Rabbit mAb (NBP3-16560) at 1:1000 dilution. Secondary antibody: HRP Goat Anti-Rabbit IgG (H+L) at 1:10000 dilution. Lysates/proteins: 25ug per lane. Blocking buffer: 3% nonfat dry milk in TBST. Detection: ECL Basic Kit. Exposure time: 90s.
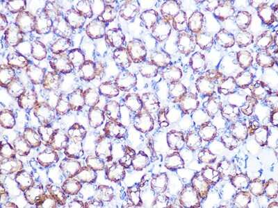
Immunohistochemistry-Paraffin: Sodium Potassium ATPase Beta 1 Antibody (4M5T3) [NBP3-16560]

Immunohistochemistry-Paraffin: Sodium Potassium ATPase Beta 1 Antibody (4M5T3) [NBP3-16560]

Immunohistochemistry-Paraffin: Sodium Potassium ATPase Beta 1 Antibody (4M5T3) [NBP3-16560] - Immunohistochemistry of paraffin-embedded mouse kidney using Sodium Potassium ATPase Beta 1 Rabbit mAb (NBP3-16560) at dilution of 1:100 (40x lens).Perform microwave antigen retrieval with 10 mM PBS buffer pH 7.2 before commencing with IHC staining protocol.
Western Blot: Sodium Potassium ATPase Beta 1 Antibody (4M5T3) [NBP3-16560]

Western Blot: Sodium Potassium ATPase Beta 1 Antibody (4M5T3) [NBP3-16560]

Western Blot: Sodium Potassium ATPase Beta 1 Antibody (4M5T3) [NBP3-16560] - Western blot analysis of extracts of U2OS cells, using Sodium Potassium ATPase Beta 1 Rabbit mAb (NBP3-16560) at 1:1000 dilution. Secondary antibody: HRP Goat Anti-Rabbit IgG (H+L) at 1:10000 dilution. Lysates/proteins: 25ug per lane. Blocking buffer: 3% nonfat dry milk in TBST. Detection: ECL Enhanced Kit. Exposure time: 30s.

Applications for Sodium Potassium ATPase Beta 1 Antibody (4M5T3)

Application
Recommended Usage

Immunohistochemistry

1:50 - 1:200

Western Blot

1:500 - 1:2000

Formulation, Preparation, and Storage

Purification

Affinity purified

Formulation

PBS (pH 7.3), 50% glycerol, 0.05% BSA

Preservative

0.02% Sodium Azide

Concentration

Please see the vial label for concentration. If unlisted please contact technical services.

Shipping

The product is shipped with polar packs. Upon receipt, store it immediately at the temperature recommended below.

Stability & Storage

Store at -20C. Avoid freeze-thaw cycles.

Background: Sodium Potassium ATPase Beta 1

Sodium Potassium ATPase Beta 1 (ATP1B1) is an integral membrane protein complex that hydrolyzes ATP to maintain the transmembrane gradients of Na+ and K+ found in most mammalian cells. Na/K ATPase pumps consist of alpha/beta heterodimers. Beta 1 is the glycosylated, non-catalytic component of the active enzyme responsible for the formation of these alpha/beta heterodimers. Through this assembly, the beta polypeptide regulates the number of sodium pumps transported to the plasma membrane.

Long Name

Sodium/potassium-transporting ATPase subunit beta-1

Alternate Names

ATP1B, ATP1B1

Gene Symbol

ATP1B1

Additional Sodium Potassium ATPase Beta 1 Products

Product Documents for Sodium Potassium ATPase Beta 1 Antibody (4M5T3)

Certificate of Analysis

To download a Certificate of Analysis, please enter a lot number in the search box below.

Product Specific Notices for Sodium Potassium ATPase Beta 1 Antibody (4M5T3)

This product is for research use only and is not approved for use in humans or in clinical diagnosis. Primary Antibodies are guaranteed for 1 year from date of receipt.

Loading...
Loading...
Loading...
Loading...