Skip to main content

Sodium Potassium ATPase Alpha 2 Antibody (JE34-00)

Novus Biologicals, part of Bio-Techne | Catalog # NBP3-32061

Recombinant Monoclonal Antibody
Novus Biologicals, part of Bio-Techne
Catalog #
Availability
Size / Price
Qty
Loading...
NBP3-32061

Key Product Details

Species Reactivity

Human, Mouse, Rat

Applications

Flow Cytometry, Immunohistochemistry, Immunohistochemistry-Paraffin, Western Blot

Label

Unconjugated

Antibody Source

Recombinant Monoclonal Rabbit IgG Clone # JE34-00 expressed in HEK293

Concentration

1 mg/ml

Product Specifications

Immunogen

Synthetic peptide within Human Sodium Potassium ATPase Alpha 2 aa 50-99 / 1,020. (Uniprot: P50993)

Localization

Cell membrane.

Clonality

Monoclonal

Host

Rabbit

Isotype

IgG

Theoretical MW

112 kDa.
Disclaimer note: The observed molecular weight of the protein may vary from the listed predicted molecular weight due to post translational modifications, post translation cleavages, relative charges, and other experimental factors.

Description

Novus Biologicals Rabbit Sodium Potassium ATPase Alpha 2 Antibody (JE34-00) (NBP3-32061) is a recombinant monoclonal antibody validated for use in IHC, WB and Flow. All Novus Biologicals antibodies are covered by our 100% guarantee.

Scientific Data Images for Sodium Potassium ATPase Alpha 2 Antibody (JE34-00)

Sodium Potassium ATPase Alpha 2 Antibody (JE34-00)

Western Blot: Sodium Potassium ATPase Alpha 2 Antibody (JE34-00) [NBP3-32061]

Western Blot: Sodium Potassium ATPase Alpha 2 Antibody (JE34-00) [NBP3-32061] - Western blot analysis of Sodium Potassium ATPase Alpha 2 on different lysates with Rabbit anti-Sodium Potassium ATPase Alpha 2 antibody (NBP3-32061) at 1/1,000 dilution.

Lane 1: Mouse heart tissue lysate
Lane 2: Rat heart tissue lysate

Lysates/proteins at 30 ug/Lane.

Predicted band size: 112 kDa
Observed band size: 100 kDa

Exposure time: 24 seconds;

4-20% SDS-PAGE gel.

Proteins were transferred to a PVDF membrane and blocked with 5% NFDM/TBST for 1 hour at room temperature. The primary antibody (NBP3-32061) at 1/1,000 dilution was used in 5% NFDM/TBST at room temperature for 2 hours. Goat Anti-Rabbit IgG - HRP Secondary Antibody at 1:100,000 dilution was used for 1 hour at room temperature.
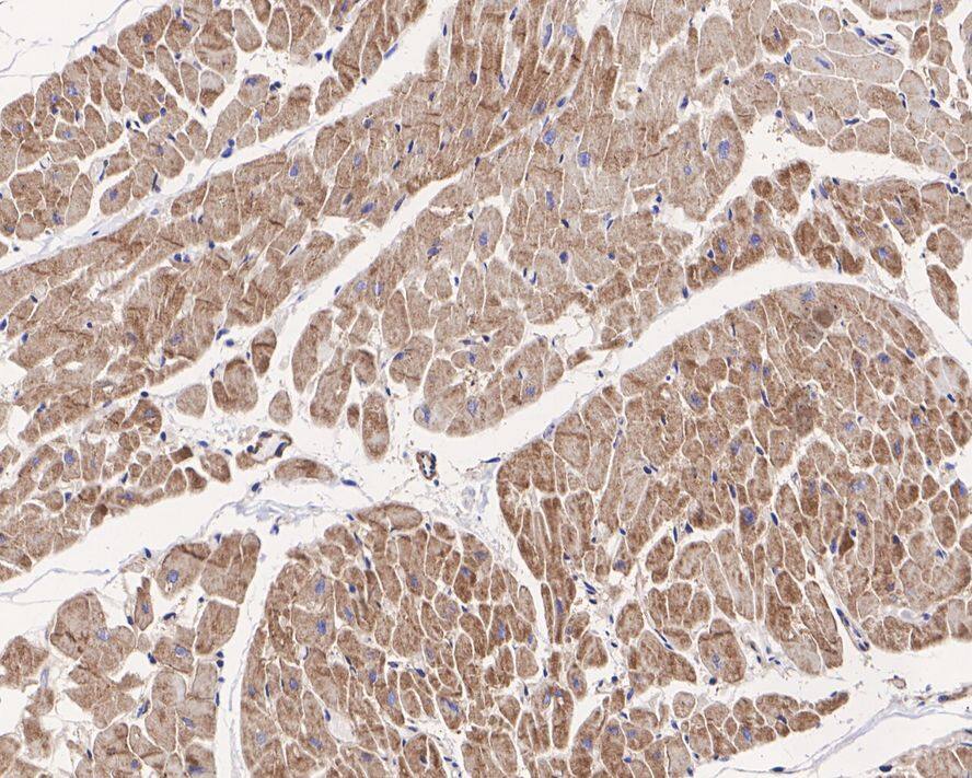
Sodium Potassium ATPase Alpha 2 Antibody (JE34-00)

Immunohistochemistry: Sodium Potassium ATPase Alpha 2 Antibody (JE34-00) [NBP3-32061]

Immunohistochemistry: Sodium Potassium ATPase Alpha 2 Antibody (JE34-00) [NBP3-32061] - Immunohistochemical analysis of paraffin-embedded human heart tissue with Rabbit anti-Sodium Potassium ATPase Alpha 2 antibody (NBP3-32061) at 1/1,000 dilution.

The section was pre-treated using heat mediated antigen retrieval with Tris-EDTA buffer (pH 9.0) for 20 minutes. The tissues were blocked in 1% BSA for 20 minutes at room temperature, washed with ddH2O and PBS, and then probed with the primary antibody (NBP3-32061) at 1/1,000 dilution for 1 hour at room temperature. The detection was performed using an HRP conjugated compact polymer system. DAB was used as the chromogen. Tissues were counterstained with hematoxylin and mounted with DPX.
Sodium Potassium ATPase Alpha 2 Antibody (JE34-00)

Flow Cytometry: Sodium Potassium ATPase Alpha 2 Antibody (JE34-00) [NBP3-32061]

Flow Cytometry: Sodium Potassium ATPase Alpha 2 Antibody (JE34-00) [NBP3-32061] - Flow cytometric analysis of HeLa cells labeling Sodium Potassium ATPase Alpha 2.

Cells were fixed and permeabilized. Then stained with the primary antibody (NBP3-32061, 1ug/ml) (red) compared with Rabbit IgG Isotype Control (green). After incubation of the primary antibody at +4℃ for an hour, the cells were stained with a iFluor™ 488 conjugate-Goat anti-Rabbit IgG Secondary antibody at 1/1,000 dilution for 30 minutes at +4℃. Unlabelled sample was used as a control (cells without incubation with primary antibody; black).

Applications for Sodium Potassium ATPase Alpha 2 Antibody (JE34-00)

Application
Recommended Usage

Flow Cytometry

1:500-1:1000

Immunohistochemistry-Paraffin

1:1000

Western Blot

1:1000

Formulation, Preparation, and Storage

Purification

Protein A purified

Formulation

1*TBS (pH7.4), 0.05% BSA and 40% Glycerol

Preservative

0.05% Sodium Azide

Concentration

1 mg/ml

Shipping

The product is shipped with polar packs. Upon receipt, store it immediately at the temperature recommended below.

Stability & Storage

Store at 4C short term. Aliquot and store at -20C long term. Avoid freeze-thaw cycles.

Background: Sodium Potassium ATPase Alpha 2

The ubiquitously expressed sodium/potassium-ATPase exists as a oligomeric plasma membrane complex that couples the hydrolysis of one molecule of ATP to the importation of three Na+ ions and two K+ ions against their respective electrochemical gradients. As a member of the P-type family of ion motifs, sodium/potassium-ATPase plays a critical role in maintaining cellular volume, resting membrane potential and Na+-coupled solute transport. Multiple isoforms of three subunits, alpha, beta and gamma, comprise to form the sodium/potassium-ATPase oligomer. The 113 kDa alpha subunit contains the binding sites for ATP and the cations. With a molecular weight between 40 and 60 kDa, the glycosylated beta subunit ensures correct folding and membrane insertion of the alpha subunits. The small 6 kDa gamma subunit co-localizes with the alpha subunit in nephron segments, where it increases the affinity of sodium/potassium-ATPase for ATP. The beta subunit, but not the gamma subunit, is essential for normal activity of sodium/potassium-ATPase.

Long Name

Sodium/potassium-transporting ATPase subunit alpha-2

Alternate Names

ATP1A2, KIAA0778

Gene Symbol

ATP1A2

Additional Sodium Potassium ATPase Alpha 2 Products

Product Documents for Sodium Potassium ATPase Alpha 2 Antibody (JE34-00)

Certificate of Analysis

To download a Certificate of Analysis, please enter a lot number in the search box below.

Product Specific Notices for Sodium Potassium ATPase Alpha 2 Antibody (JE34-00)

This product is for research use only and is not approved for use in humans or in clinical diagnosis. Primary Antibodies are guaranteed for 1 year from date of receipt.

Loading...
Loading...
Loading...
Loading...
Loading...