Skip to main content

Sodium Potassium ATPase Alpha 1 Antibody (4C3) - BSA Free

Novus Biologicals, part of Bio-Techne | Catalog # NBP3-15239

Recombinant monoclonal antibody expressed in HEK293F cells
Novus Biologicals, part of Bio-Techne
Catalog #
Availability
Size / Price
Qty
Loading...
NBP3-15239

Key Product Details

Species Reactivity

Human

Applications

ELISA, Immunohistochemistry

Label

Unconjugated

Antibody Source

Recombinant Monoclonal Rabbit IgG Clone # 4C3 expressed in HEK293

Format

BSA Free

Concentration

Please see the vial label for concentration. If unlisted please contact technical services.

Product Specifications

Immunogen

A synthesized peptide derived from human Sodium Potassium ATPase Alpha 1. UniProt ID (P05023).

Clonality

Monoclonal

Host

Rabbit

Isotype

IgG

Description

Novus Biologicals Rabbit Sodium Potassium ATPase Alpha 1 Antibody (4C3) - BSA Free (NBP3-15239) is a recombinant monoclonal antibody validated for use in IHC and ELISA. All Novus Biologicals antibodies are covered by our 100% guarantee.

Scientific Data Images for Sodium Potassium ATPase Alpha 1 Antibody (4C3) - BSA Free

Immunohistochemistry: Sodium Potassium ATPase Alpha 1 Antibody (4C3) [NBP3-15239]

Immunohistochemistry: Sodium Potassium ATPase Alpha 1 Antibody (4C3) [NBP3-15239]

Immunohistochemistry: Sodium Potassium ATPase Alpha 1 Antibody (4C3) [NBP3-15239] - IHC image of Sodium Potassium ATPase Alpha 1 antibody diluted at 1:100 and staining in paraffin-embedded human liver cancer. After dewaxing and hydration, antigen retrieval was mediated by high pressure in a citrate buffer (pH 6.0). Section was blocked with 10% normal goat serum 30 minutes at RT. Then primary antibody (1% BSA) was incubated at 4C overnight. The primary is detected by a Goat anti-rabbit IgG polymer labeled by HRP and visualized using 0.05% DAB.
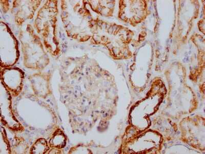
Immunohistochemistry: Sodium Potassium ATPase Alpha 1 Antibody (4C3) [NBP3-15239]

Immunohistochemistry: Sodium Potassium ATPase Alpha 1 Antibody (4C3) [NBP3-15239]

Immunohistochemistry: Sodium Potassium ATPase Alpha 1 Antibody (4C3) [NBP3-15239] - IHC image of Sodium Potassium ATPase Alpha 1 antibody diluted at 1:100 and staining in paraffin-embedded human kidney tissue. After dewaxing and hydration, antigen retrieval was mediated by high pressure in a citrate buffer (pH 6.0). Section was blocked with 10% normal goat serum 30 minutes at RT. Then primary antibody (1% BSA) was incubated at 4C overnight. The primary is detected by a Goat anti-rabbit IgG polymer labeled by HRP and visualized using 0.05% DAB.

Applications for Sodium Potassium ATPase Alpha 1 Antibody (4C3) - BSA Free

Application
Recommended Usage

Immunohistochemistry

1:50-1:200

Formulation, Preparation, and Storage

Purification

Affinity purified

Formulation

PBS, pH 7.4, 150mM NaCl, and 50% glycerol

Format

BSA Free

Preservative

0.02% Sodium Azide

Concentration

Please see the vial label for concentration. If unlisted please contact technical services.

Shipping

The product is shipped with polar packs. Upon receipt, store it immediately at the temperature recommended below.

Stability & Storage

Store at -20 to -70C. Avoid freeze-thaw cycles.

Background: Sodium Potassium ATPase Alpha 1

Sodium Potassium ATPase is an integral membrane protein complex that hydrolyzes ATP to maintain the transmembrane gradients of Na+ and K+ found in most mammalian cells. The Sodium Potassium ATPase enzyme is comprised of an alpha and beta subunit. The alpha-polypeptide (Sodium Potassium ATPase Alpha 1) has been shown to be the catalytically active subunit, whereas the Beta-polypeptide appears to be necessary for the assembly and transport of the sodium pump to the plasma membrane. Sodium Potassium ATPase alpha-1 subunit, in the brain, is expressed in both neuronal and non-neuronal cells.

Long Name

Sodium/potassium-transporting ATPase subunit alpha-1

Alternate Names

ATP1A1, EC 7.2.2.13

Gene Symbol

ATP1A1

Additional Sodium Potassium ATPase Alpha 1 Products

Product Documents for Sodium Potassium ATPase Alpha 1 Antibody (4C3) - BSA Free

Certificate of Analysis

To download a Certificate of Analysis, please enter a lot number in the search box below.

Product Specific Notices for Sodium Potassium ATPase Alpha 1 Antibody (4C3) - BSA Free

This product is for research use only and is not approved for use in humans or in clinical diagnosis. Primary Antibodies are guaranteed for 1 year from date of receipt.

Loading...
Loading...
Loading...
Loading...
Loading...