Skip to main content

SOD2/Mn-SOD Antibody - BSA Free

Novus Biologicals, part of Bio-Techne | Catalog # NBP1-86169

Novus Biologicals, part of Bio-Techne
Catalog #
Availability
Size / Price
Qty
Loading...
NBP1-86169-25ul
NBP1-86169

Key Product Details

Species Reactivity

Human, Mouse, Rat

Applications

Validated:

Immunohistochemistry, Immunohistochemistry-Paraffin, Western Blot

Cited:

IF/IHC

Label

Unconjugated

Antibody Source

Polyclonal Rabbit IgG

Format

BSA Free

Concentration

Concentrations vary lot to lot. See vial label for concentration. If unlisted please contact technical services.

Product Specifications

Immunogen

This antibody was developed against Recombinant Protein corresponding to amino acids: VCGTSRQLAPVLGYLGSRQKHSLPDLPYDYGALEPHINAQIMQLHHSKHHAAYVNNLNVTEEKYQEALAKGDVTAQIALQPALKFNGGGHINHSIFWTNLSPNGGGEPKGELLEAIKRDFGSFDKFKEKLTAASVGVQGSGWGWL

Reactivity Notes

Reactivity reported in scientific literature (PMID:19351664)

Clonality

Polyclonal

Host

Rabbit

Isotype

IgG

Description

Novus Biologicals Rabbit SOD2/Mn-SOD Antibody - BSA Free (NBP1-86169) is a polyclonal antibody validated for use in IHC and WB. Anti-SOD2/Mn-SOD Antibody: Cited in 3 publications. All Novus Biologicals antibodies are covered by our 100% guarantee.

Scientific Data Images for SOD2/Mn-SOD Antibody - BSA Free

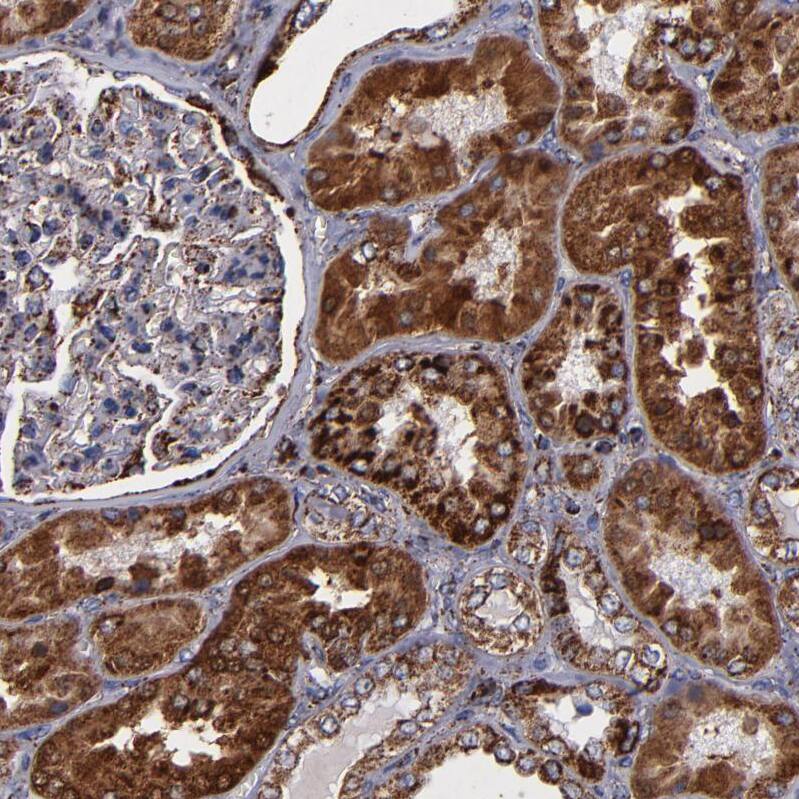
Immunohistochemistry-Paraffin: SOD2/Mn-SOD Antibody [NBP1-86169]

Immunohistochemistry-Paraffin: SOD2/Mn-SOD Antibody [NBP1-86169]

Immunohistochemistry-Paraffin: SOD2/Mn-SOD Antibody [NBP1-86169] - Staining of human skeletal muscle shows moderate granular cytoplasmic positivity in myocytes.
Immunohistochemistry-Paraffin: SOD2/Mn-SOD Antibody [NBP1-86169]

Immunohistochemistry-Paraffin: SOD2/Mn-SOD Antibody [NBP1-86169]

Immunohistochemistry-Paraffin: SOD2/Mn-SOD Antibody [NBP1-86169] - Staining of human colon shows strong granular cytoplasmic positivity in glandular cells.
Immunohistochemistry-Paraffin: SOD2/Mn-SOD Antibody [NBP1-86169]

Immunohistochemistry-Paraffin: SOD2/Mn-SOD Antibody [NBP1-86169]

Immunohistochemistry-Paraffin: SOD2/Mn-SOD Antibody [NBP1-86169] - Staining of human liver shows strong granular cytoplasmic positivity in hepatocytes.

Applications for SOD2/Mn-SOD Antibody - BSA Free

Application
Recommended Usage

Immunohistochemistry

1:1000 - 1:2500

Immunohistochemistry-Paraffin

1:1000 - 1:2500

Western Blot

0.04-0.4 ug/ml
Application Notes
IHC reported in scientific literature (PMID: 23646114). For IHC-Paraffin, HIER pH 6 retrieval is recommended.

Formulation, Preparation, and Storage

Purification

Immunogen affinity purified

Formulation

PBS (pH 7.2) and 40% Glycerol

Format

BSA Free

Preservative

0.02% Sodium Azide

Concentration

Concentrations vary lot to lot. See vial label for concentration. If unlisted please contact technical services.

Shipping

The product is shipped with polar packs. Upon receipt, store it immediately at the temperature recommended below.

Stability & Storage

Store at 4C short term. Aliquot and store at -20C long term. Avoid freeze-thaw cycles.

Background: SOD2/Mn-SOD

Superoxide dismutase (SOD) is responsible for the elimination of cytotoxic active oxygen by catalyzing the dismutation of the superoxide radical to oxygen and hydrogen peroxide (1, 2, 3). There are three SOD isoenzymes in mammalian cells. They are: extracellular SOD (EC SOD), copper and zinc-containing SOD (CuZn SOD) and manganese-containing SOD (Mn SOD, SOD-2). The CuZn form contains Cu and Zn ions and exists as a 32 kDa dimer in the cytosol. Mn SOD is an 80 kDa tetramer that contains Mn ion and resides in the mitochondrial matrix. Mn SOD is a tumor necrosis factor (TNF)-inducible enzyme that protects cells from NFmediated apoptosis (4) via superoxide anion detoxification and the subsequent regulation of apoptosis through cytochrome c release and the modulation of the redox state of the mitochondria (6). Mn SOD has also been shown to be a tumor suppressor in human breast cancer (7). Overexpression of this enzyme protects neurons from NMDAand nitric oxide-induced neurotoxicity.

Long Name

Superoxide Dismutase-2

Alternate Names

IPO-B, Mn SOD, MnSOD, SOD, Mitochodrial

Gene Symbol

SOD2

Additional SOD2/Mn-SOD Products

Product Documents for SOD2/Mn-SOD Antibody - BSA Free

Certificate of Analysis

To download a Certificate of Analysis, please enter a lot number in the search box below.

Product Specific Notices for SOD2/Mn-SOD Antibody - BSA Free

This product is for research use only and is not approved for use in humans or in clinical diagnosis. Primary Antibodies are guaranteed for 1 year from date of receipt.

Loading...
Loading...
Loading...
Loading...