Skip to main content

SNX20 Antibody - BSA Free

Novus Biologicals, part of Bio-Techne | Catalog # NBP1-92418

Novus Biologicals, part of Bio-Techne
Catalog #
Availability
Size / Price
Qty
Loading...
NBP1-92418
NBP1-92418-25ul

Key Product Details

Species Reactivity

Human

Applications

Immunohistochemistry, Immunohistochemistry-Paraffin, Western Blot, Immunocytochemistry/ Immunofluorescence

Label

Unconjugated

Antibody Source

Polyclonal Rabbit IgG

Format

BSA Free

Concentration

Concentrations vary lot to lot. See vial label for concentration. If unlisted please contact technical services.

Product Specifications

Immunogen

This antibody was developed against Recombinant Protein corresponding to amino acids: PGCMGPITQCTARTQQEAPATGPDLLHPGPDGHLDTHSGLSSNSSMTTRELQQYWQNQKCRWKHVKLLFEIASAR

Clonality

Polyclonal

Host

Rabbit

Isotype

IgG

Scientific Data Images for SNX20 Antibody - BSA Free

Western Blot: SNX20 Antibody [NBP1-92418]

Western Blot: SNX20 Antibody [NBP1-92418]

Western Blot: SNX20 Antibody [NBP1-92418] - Analysis in control (vector only transfected HEK293T lysate) and SNX20 over-expression lysate (Co-expressed with a C-terminal myc-DDK tag (3.1 kDa) in mammalian HEK293T cells).
Immunocytochemistry/ Immunofluorescence: SNX20 Antibody [NBP1-92418]

Immunocytochemistry/ Immunofluorescence: SNX20 Antibody [NBP1-92418]

Immunocytochemistry/Immunofluorescence: SNX20 Antibody [NBP1-92418] - Staining of human cell line A-431 shows localization to nucleoplasm.
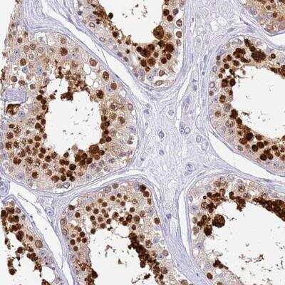
Immunohistochemistry-Paraffin: SNX20 Antibody [NBP1-92418]

Immunohistochemistry-Paraffin: SNX20 Antibody [NBP1-92418]

Immunohistochemistry-Paraffin: SNX20 Antibody [NBP1-92418] - Staining of human testis shows strong cytoplasmic and nuclear positivity in cells in seminiferus ducts .

Applications for SNX20 Antibody - BSA Free

Application
Recommended Usage

Immunocytochemistry/ Immunofluorescence

0.25-2 ug/ml

Immunohistochemistry

1:500 - 1:1000

Immunohistochemistry-Paraffin

1:500 - 1:1000

Western Blot

0.04-0.4 ug/ml
Application Notes
For IHC-Paraffin, HIER pH 6 retrieval is recommended.

Formulation, Preparation, and Storage

Purification

Affinity purified

Formulation

PBS (pH 7.2) and 40% Glycerol

Format

BSA Free

Preservative

0.02% Sodium Azide

Concentration

Concentrations vary lot to lot. See vial label for concentration. If unlisted please contact technical services.

Shipping

The product is shipped with polar packs. Upon receipt, store it immediately at the temperature recommended below.

Stability & Storage

Store at 4C short term. Aliquot and store at -20C long term. Avoid freeze-thaw cycles.

Background: SNX20

Serves as a sorting protein that cycles P-selectin glycoprotein ligand 1 (PSLG1) into endosomes with no impact on leukocytes recruitement

Alternate Names

MGC35578, selectin ligand interactor cytoplasmic-1, Selectin ligand-interactor cytoplasmic 1, SLIC-1, SLIC1selectin ligand interactor cytoplasmic 1, sorting nexin 20, sorting nexin-20

Gene Symbol

SNX20

Additional SNX20 Products

Product Documents for SNX20 Antibody - BSA Free

Certificate of Analysis

To download a Certificate of Analysis, please enter a lot number in the search box below.

Product Specific Notices for SNX20 Antibody - BSA Free

This product is for research use only and is not approved for use in humans or in clinical diagnosis. Primary Antibodies are guaranteed for 1 year from date of receipt.

Loading...
Loading...
Loading...
Loading...