SNX10 Antibody (OTI6B7)
Novus Biologicals, part of Bio-Techne | Catalog # NBP2-45894
Conjugate
Catalog #
Forumulation
Catalog #
Key Product Details
Species Reactivity
Validated:
Human, Mouse, Rat
Cited:
Human
Applications
Validated:
Immunohistochemistry, Immunohistochemistry-Paraffin, Western Blot
Cited:
Western Blot
Label
Unconjugated
Antibody Source
Monoclonal Mouse IgG1 Clone # OTI6B7
Concentration
1 mg/ml
Product Specifications
Immunogen
Full length human recombinant protein of human SNX10(NP_037454) produced in E.coli.
Reactivity Notes
Please note that this antibody is reactive to Mouse and derived from the same host, Mouse. Mouse-On-Mouse blocking reagent may be needed for IHC and ICC experiments to reduce high background signal. You can find these reagents under catalog numbers PK-2200-NB and MP-2400-NB. Please contact Technical Support if you have any questions.
Clonality
Monoclonal
Host
Mouse
Isotype
IgG1
Scientific Data Images for SNX10 Antibody (OTI6B7)
Western Blot: SNX10 Antibody (OTI6B7) [NBP2-45894]
Western Blot: SNX10 Antibody (OTI6B7) [NBP2-45894] - HEK293T cells were transfected with the pCMV6-ENTRY control (Left lane) or pCMV6-ENTRY SNX10 (Right lane) cDNA for 48 hrs and lysed. Equivalent amounts of cell lysates (5 ug per lane) were separated by SDS-PAGE and immunoblotted with anti-SNX10.Immunohistochemistry-Paraffin: SNX10 Antibody (OTI6B7) [NBP2-45894]
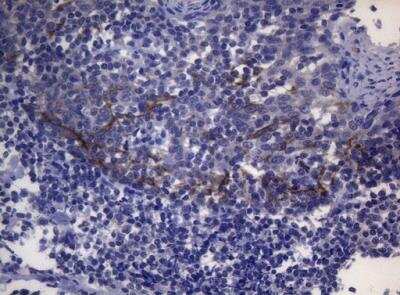
Immunohistochemistry-Paraffin: SNX10 Antibody (OTI6B7) [NBP2-45894] - Staining of paraffin-embedded Human bladder tissue within the normal limits using anti-SNX10 mouse monoclonal antibody.Applications for SNX10 Antibody (OTI6B7)
Application
Recommended Usage
Immunohistochemistry
1:150
Western Blot
1:2000
Formulation, Preparation, and Storage
Purification
Immunogen affinity purified
Formulation
PBS (pH 7.3), 1.0% BSA and 50% Glycerol
Preservative
0.02% Sodium Azide
Concentration
1 mg/ml
Shipping
The product is shipped with polar packs. Upon receipt, store it immediately at the temperature recommended below.
Stability & Storage
Store at -20C. Avoid freeze-thaw cycles.
Background: SNX10
Alternate Names
MGC33054, sorting nexin 10, sorting nexin-10
Gene Symbol
SNX10
Additional SNX10 Products
Product Documents for SNX10 Antibody (OTI6B7)
Product Specific Notices for SNX10 Antibody (OTI6B7)
This product is for research use only and is not approved for use in humans or in clinical diagnosis. Primary Antibodies are guaranteed for 1 year from date of receipt.
Loading...
Loading...
Loading...
Loading...