Skip to main content

SNW1 Antibody - BSA Free

Novus Biologicals, part of Bio-Techne | Catalog # NBP3-35445

Novus Biologicals, part of Bio-Techne
Catalog #
Availability
Size / Price
Qty
Loading...
NBP3-35445-100ul
NBP3-35445-20ul

Key Product Details

Species Reactivity

Human, Mouse, Rat

Applications

Immunohistochemistry, Immunohistochemistry-Paraffin, Western Blot, ELISA, Immunocytochemistry/ Immunofluorescence

Label

Unconjugated

Antibody Source

Polyclonal Rabbit IgG

Format

BSA Free

Concentration

Please see the vial label for concentration. If unlisted please contact technical services.

Product Specifications

Immunogen

Recombinant fusion protein containing a sequence corresponding to amino acids 300-536 of human SNW1 (NP_036377.1).

Sequence:
EAVEMRAQVERKMAQKEKEKHEEKLREMAQKARERRAGIKTHVEKEDGEARERDEIRHDRRKERQHDRNLSRAAPDKRSKLQRNENRDISEVIALGVPNPRTSNEVQYDQRLFNQSKGMDSGFAGGEDEIYNVYDQAWRGGKDMAQSIYRPSKNLDKDMYGDDLEARIKTNRFVPDKEFSGSDRRQRGREGPVQFEEDPFGLDKFLEEAKQHGGSKRPSDSSRPKEHEHEGKKRRKE

Clonality

Polyclonal

Host

Rabbit

Isotype

IgG

Theoretical MW

61 kDa.
Disclaimer note: The observed molecular weight of the protein may vary from the listed predicted molecular weight due to post translational modifications, post translation cleavages, relative charges, and other experimental factors.

Description

Novus Biologicals Rabbit SNW1 Antibody - BSA Free (NBP3-35445) is a polyclonal antibody validated for use in IHC, WB, ELISA and ICC/IF. All Novus Biologicals antibodies are covered by our 100% guarantee.

Scientific Data Images for SNW1 Antibody - BSA Free

SNW1 Antibody

Western Blot: SNW1 Antibody [NBP3-35445] -

Western Blot: SNW1 Antibody [NBP3-35445] - Western blot analysis of various lysates using SNW1 Rabbit pAb at 1:1000 dilution.
Secondary antibody: HRP-conjugated Goat anti-Rabbit IgG (H+L) at 1:10000 dilution.
Lysates/proteins: 25ug per lane.
Blocking buffer: 3% nonfat dry milk in TBST.
Detection: ECL Basic Kit.
Exposure time: 10s.
SNW1 Antibody

Immunohistochemistry: SNW1 Antibody [NBP3-35445] -

Immunohistochemistry: SNW1 Antibody [NBP3-35445] - Immunohistochemistry analysis of paraffin-embedded Human lung cancer using SNW1 Rabbit pAb at dilution of 1:100 (40x lens). Microwave antigen retrieval performed with 0.01M PBS Buffer (pH 7.2) prior to IHC staining.
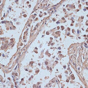
SNW1 Antibody

Immunohistochemistry: SNW1 Antibody [NBP3-35445] -

Immunohistochemistry: SNW1 Antibody [NBP3-35445] - Immunohistochemistry analysis of paraffin-embedded Rat brain using SNW1 Rabbit pAb at dilution of 1:100 (40x lens). Microwave antigen retrieval performed with 0.01M PBS Buffer (pH 7.2) prior to IHC staining.

Applications for SNW1 Antibody - BSA Free

Application
Recommended Usage

Immunocytochemistry/ Immunofluorescence

1:50 - 1:200

Immunohistochemistry-Paraffin

1:50 - 1:100

Western Blot

1:500 - 1:2000

Formulation, Preparation, and Storage

Purification

Affinity purified

Formulation

PBS (pH 7.3), 50% glycerol

Format

BSA Free

Preservative

0.01% Thimerosal

Concentration

Please see the vial label for concentration. If unlisted please contact technical services.

Shipping

The product is shipped with polar packs. Upon receipt, store it immediately at the temperature recommended below.

Stability & Storage

Store at -20C. Avoid freeze-thaw cycles.

Background: SNW1

SNW1, a member of the SNW gene family, encodes a coactivator that enhances transcription from some Pol II promoters. This coactivator can bind to the ligand-binding domain of the vitamin D receptor and to retinoid receptors to enhance vitamin D-, retinoic acid-, estrogen-, and glucocorticoid-mediated gene expression. It can also function as a splicing factor by interacting with poly(A)-binding protein 2 to directly control the expression of muscle-specific genes at the transcriptional level. Finally, the protein may be involved in oncogenesis since it interacts with a region of SKI oncoproteins that is required for transforming activity.

Alternate Names

Bx42, homolog of Drosophila BX42, MGC119379, NCoA-62, Nuclear protein SkiP, Nuclear receptor coactivator NCoA-62, nuclear receptor coactivator, 62-kD, Prp45, PRPF45, SKI interacting protein, Ski-interacting protein, SKIPSKIIP, SNW domain containing 1, SNW domain-containing protein 1

Gene Symbol

SNW1

Additional SNW1 Products

Product Documents for SNW1 Antibody - BSA Free

Certificate of Analysis

To download a Certificate of Analysis, please enter a lot number in the search box below.

Product Specific Notices for SNW1 Antibody - BSA Free

This product is for research use only and is not approved for use in humans or in clinical diagnosis. Primary Antibodies are guaranteed for 1 year from date of receipt.

Loading...
Loading...
Loading...
Loading...