Skip to main content

SNRPF Antibody - Azide and BSA Free

Novus Biologicals, part of Bio-Techne | Catalog # NBP2-93854

Novus Biologicals, part of Bio-Techne
Catalog #
Availability
Size / Price
Qty
Loading...
NBP2-93854-0.02ml
NBP2-93854-0.1ml

Key Product Details

Species Reactivity

Human, Mouse, Rat

Applications

Immunohistochemistry, Immunohistochemistry-Paraffin, Western Blot

Label

Unconjugated

Antibody Source

Polyclonal Rabbit IgG

Format

Azide and BSA Free

Concentration

Please see the vial label for concentration. If unlisted please contact technical services.

Product Specifications

Immunogen

Recombinant fusion protein containing a sequence corresponding to amino acids 1-86 of human SNRPF (NP_003086.1). MSLPLNPKPFLNGLTGKPVMVKLKWGMEYKGYLVSVDGYMNMQLANTEEYIDGALSGHLGEVLIRCNNVLYIRGVEEEEEDGEMRE

Clonality

Polyclonal

Host

Rabbit

Isotype

IgG

Theoretical MW

9 kDa.
Disclaimer note: The observed molecular weight of the protein may vary from the listed predicted molecular weight due to post translational modifications, post translation cleavages, relative charges, and other experimental factors.

Description

Novus Biologicals Rabbit SNRPF Antibody - Azide and BSA Free (NBP2-93854) is a polyclonal antibody validated for use in IHC and WB. All Novus Biologicals antibodies are covered by our 100% guarantee.

Scientific Data Images for SNRPF Antibody - Azide and BSA Free

Western Blot: SNRPF AntibodyAzide and BSA Free [NBP2-93854]

Western Blot: SNRPF AntibodyAzide and BSA Free [NBP2-93854]

Western Blot: SNRPF Antibody [NBP2-93854] - Analysis of extracts of various cell lines, using SNRPF at 1:3000 dilution. Secondary antibody: HRP Goat Anti-Rabbit IgG (H+L) at 1:10000 dilution. Lysates/proteins: 25ug per lane. Blocking buffer: 3% nonfat dry milk in TBST. Detection: ECL Basic Kit . Exposure time: 1s.
Immunohistochemistry-Paraffin: SNRPF Antibody - Azide and BSA Free [NBP2-93854]

Immunohistochemistry-Paraffin: SNRPF Antibody - Azide and BSA Free [NBP2-93854]

Immunohistochemistry-Paraffin: SNRPF Antibody [NBP2-93854] - Immunohistochemistry of paraffin-embedded rat heart using SNRPF Rabbit pAb (NBP2-93854) at dilution of 1:200 (40x lens). Perform high pressure antigen retrieval with 10 mM citrate buffer pH 6.0 before commencing with IHC staining protocol.
Immunohistochemistry-Paraffin: SNRPF Antibody - Azide and BSA Free [NBP2-93854]

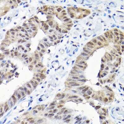
Immunohistochemistry-Paraffin: SNRPF Antibody - Azide and BSA Free [NBP2-93854]

Immunohistochemistry-Paraffin: SNRPF Antibody [NBP2-93854] - Immunohistochemistry of paraffin-embedded human colon carcinoma using SNRPF Rabbit pAb (NBP2-93854) at dilution of 1:200 (40x lens). Perform high pressure antigen retrieval with 10 mM citrate buffer pH 6.0 before commencing with IHC staining protocol.

Applications for SNRPF Antibody - Azide and BSA Free

Application
Recommended Usage

Immunohistochemistry

1:50 - 1:200

Western Blot

1:500 - 1:2000

Formulation, Preparation, and Storage

Purification

Affinity purified

Formulation

PBS (pH 7.3), 50% glycerol

Format

Azide and BSA Free

Preservative

0.01% Thimerosal

Concentration

Please see the vial label for concentration. If unlisted please contact technical services.

Shipping

The product is shipped with polar packs. Upon receipt, store it immediately at the temperature recommended below.

Stability & Storage

Store at -20C. Avoid freeze-thaw cycles.

Background: SNRPF

Appears to function in the U7 snRNP complex that is involved in histone 3'-end processing. Associated with snRNP U1, U2, U4/U6 and U5

Alternate Names

PBSCF, Sm protein F, small nuclear ribonucleoprotein polypeptide F, SmF, Sm-Fsmall nuclear ribonucleoprotein F, snRNP-F

Gene Symbol

SNRPF

Additional SNRPF Products

Product Documents for SNRPF Antibody - Azide and BSA Free

Certificate of Analysis

To download a Certificate of Analysis, please enter a lot number in the search box below.

Product Specific Notices for SNRPF Antibody - Azide and BSA Free

This product is for research use only and is not approved for use in humans or in clinical diagnosis. Primary Antibodies are guaranteed for 1 year from date of receipt.

Loading...
Loading...
Loading...
Loading...

⚠ WARNING: This product can expose you to chemicals including Methotrexate, which is known to the State of California to cause reproductive toxicity with developmental effects. For more information, go to www.P65Warnings.ca.gov