Skip to main content

SNRPD3 Antibody - BSA Free

Novus Biologicals, part of Bio-Techne | Catalog # NBP2-22305

Novus Biologicals, part of Bio-Techne

Key Product Details

Validated by

Biological Validation

Species Reactivity

Human

Applications

Immunohistochemistry, Immunohistochemistry-Paraffin, Western Blot, Immunoprecipitation (Negative)

Label

Unconjugated

Antibody Source

Polyclonal Rabbit IgG

Format

BSA Free

Concentration

1.0 mg/ml

Product Specifications

Immunogen

The immunogen this antibody was made to, maps to a region between residue 1 to 50 of human Small Nuclear Ribonucleoprotein D3 Polypeptide 18kDa using the numbering given in entry NP_004166.1 (GeneID 6634).

Clonality

Polyclonal

Host

Rabbit

Isotype

IgG

Description

Novus Biologicals Rabbit SNRPD3 Antibody - BSA Free (NBP2-22305) is a polyclonal antibody validated for use in IHC and WB. All Novus Biologicals antibodies are covered by our 100% guarantee.

Scientific Data Images for SNRPD3 Antibody - BSA Free

Western Blot: SNRPD3 Antibody [NBP2-22305]

Western Blot: SNRPD3 Antibody [NBP2-22305]

Western Blot: SNRPD3 Antibody [NBP2-22305] - Whole cell lysate from HeLa (15 and 50 ug), 293T (50 ug), and Jurkat (50 ug) cells. NBP2-22305 used for WB at 0.4 ug/ml. Detection: Chemiluminescence with an exposure time of 3 minutes.
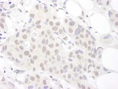
Immunohistochemistry-Paraffin: SNRPD3 Antibody [NBP2-22305]

Immunohistochemistry-Paraffin: SNRPD3 Antibody [NBP2-22305]

Immunohistochemistry-Paraffin: SNRPD3 Antibody [NBP2-22305] - Sample: FFPE section of human breast carcinoma. Antibody: Affinity purified rabbit anti- Sm-D3 used at a dilution of 1:1,000 (1ug/ml). Detection: DAB. Counterstain: hematoxylin (blue).

Applications for SNRPD3 Antibody - BSA Free

Application
Recommended Usage

Immunohistochemistry

1:500 - 1:2000

Immunohistochemistry-Paraffin

1:500 - 1:2000

Western Blot

1:1000 - 1:5000
Application Notes
Epitope retrieval with citrate buffer pH6.0 is recommended for FFPE tissue sections.

Formulation, Preparation, and Storage

Purification

Immunogen affinity purified

Formulation

Tris-Citrate/Phosphate (pH 7.0 - 8.0)

Format

BSA Free

Preservative

0.09% Sodium Azide

Concentration

1.0 mg/ml

Shipping

The product is shipped with polar packs. Upon receipt, store it immediately at the temperature recommended below.

Stability & Storage

Store at 4C. Do not freeze.

Background: SNRPD3

Alternate Names

small nuclear ribonucleoprotein D3 polypeptide 18kDa, small nuclear ribonucleoprotein Sm D3, snRNP core protein D3

Gene Symbol

SNRPD3

Additional SNRPD3 Products

Product Documents for SNRPD3 Antibody - BSA Free

Certificate of Analysis

To download a Certificate of Analysis, please enter a lot number in the search box below.

Product Specific Notices for SNRPD3 Antibody - BSA Free

This product is for research use only and is not approved for use in humans or in clinical diagnosis. Primary Antibodies are guaranteed for 1 year from date of receipt.

Loading...
Loading...
Loading...
Loading...