Skip to main content

SNF5 Antibody (rSMARCB1/4588)

Novus Biologicals, part of Bio-Techne | Catalog # NBP3-13775

Recombinant Monoclonal Antibody
Novus Biologicals, part of Bio-Techne
Catalog #
Availability
Size / Price
Qty
Loading...
NBP3-13775-20ug
NBP3-13775-100ug

Key Product Details

Species Reactivity

Human

Applications

Immunohistochemistry-Paraffin

Label

Unconjugated

Antibody Source

Recombinant Monoclonal Mouse IgG1 kappa Clone # rSMARCB1/4588

Concentration

0.2 mg/ml

Product Specifications

Immunogen

Recombinant fragment of mouse SNF5 protein (around aa257-359) (exact sequence is proprietary) (Uniprot: Q12824)

Localization

Nucleus

Clonality

Monoclonal

Host

Mouse

Isotype

IgG1 kappa

Theoretical MW

47 kDa.
Disclaimer note: The observed molecular weight of the protein may vary from the listed predicted molecular weight due to post translational modifications, post translation cleavages, relative charges, and other experimental factors.

Description

200ug/ml of antibody purified from Bioreactor Concentrate by Protein A or G. Prepared in 10 mM PBS with 0.05% BSA & 0.05% azide. Also available WITHOUT BSA & azide at 1.0 mg/ml. (NBP3-14178)

Antibody with azide - store at 2 to 8C. Antibody without azide - store at -20 to -80 C.

Scientific Data Images for SNF5 Antibody (rSMARCB1/4588)

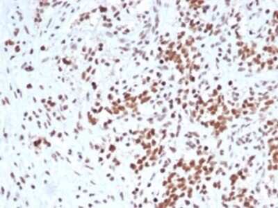
Immunohistochemistry-Paraffin: SNF5 Antibody (rSMARCB1/4588) [NBP3-13775]

Immunohistochemistry-Paraffin: SNF5 Antibody (rSMARCB1/4588) [NBP3-13775]

Immunohistochemistry-Paraffin: SNF5 Antibody (rSMARCB1/4588) [NBP3-13775] - Formalin-fixed, paraffin-embedded human epithelioid sarcoma stained with SNF5 antibody (rSMARCB1/4588). Note loss of nuclear expression in tumor cells and retained positivity in normal cells.
Immunohistochemistry-Paraffin: SNF5 Antibody (rSMARCB1/4588) [NBP3-13775]

Immunohistochemistry-Paraffin: SNF5 Antibody (rSMARCB1/4588) [NBP3-13775]

Immunohistochemistry-Paraffin: SNF5 Antibody (rSMARCB1/4588) [NBP3-13775] - Formalin-fixed, paraffin-embedded human Ewing sarcoma stained with SNF5 antibody (rSMARCB1/4588). HIER: Tris/EDTA, pH9.0, 45min. HRP-polymer, 30min. DAB, 5min.

Applications for SNF5 Antibody (rSMARCB1/4588)

Application
Recommended Usage

Immunohistochemistry-Paraffin

1-2 ug/ml
Application Notes
Immunohistochemistry (Formalin-fixed): 1-2ug/ml for 30 minutes at RT. Staining of formalin-fixed tissues requires heating tissue sections in 10mM Tris with 1mM EDTA, pH 9.0, for 45 min at 95C followed by cooling at RT for 20 minutes

Formulation, Preparation, and Storage

Purification

Protein A or G purified

Formulation

10 mM PBS with 0.05% BSA

Preservative

0.05% Sodium Azide

Concentration

0.2 mg/ml

Shipping

The product is shipped with polar packs. Upon receipt, store it immediately at the temperature recommended below.

Stability & Storage

Store at 4C.

Background: SNF5

SNF5 is encoded by this gene is part of a complex that relieves repressive chromatin structures, allowing the transcriptional machinery to access its targets more effectively. The encoded nuclear protein may also bind to and enhance the DNA joining activity of HIV-1 integrase. This gene has been found to be a tumor suppressor, and mutations in it have been associated with malignant rhabdoid tumors. Two transcript variants encoding different isoforms have been found for this gene.

Alternate Names

BAF47, BAF47hSNF5, BRG1-associated factor 47, hSNFS, Ini1, INI1RTPS1, Integrase interactor 1 protein, malignant rhabdoid tumor suppressor, RDTSNF5 homolog, Sfh1p, SNF5, SNF5L1, Snr1, subfamily b, member 1, sucrose nonfermenting, yeast, homolog-like 1, SWI/SNF related, matrix associated, actin dependent regulator of chromatin, SWI/SNF-related matrix-associated actin-dependent regulator of chromatinsubfamily B member 1

Gene Symbol

SMARCB1

UniProt

Additional SNF5 Products

Product Documents for SNF5 Antibody (rSMARCB1/4588)

Certificate of Analysis

To download a Certificate of Analysis, please enter a lot number in the search box below.

Product Specific Notices for SNF5 Antibody (rSMARCB1/4588)

This product is for research use only and is not approved for use in humans or in clinical diagnosis. Primary Antibodies are guaranteed for 1 year from date of receipt.

Loading...
Loading...
Loading...
Loading...