Skip to main content

SMURF2 Antibody - BSA Free

Novus Biologicals, part of Bio-Techne | Catalog # NBP2-81916

Novus Biologicals, part of Bio-Techne

Key Product Details

Species Reactivity

Human, Mouse, Rat

Applications

Immunohistochemistry, Immunohistochemistry-Paraffin, Western Blot, ELISA, Immunocytochemistry/ Immunofluorescence

Label

Unconjugated

Antibody Source

Polyclonal Rabbit IgG

Format

BSA Free

Concentration

1 mg/ml

Product Specifications

Immunogen

SMURF2 antibody was raised against a 17 amino acid peptide near the amino terminus of human SMURF2. The immunogen is located within amino acids 140 - 190 of SMURF2. Amino Acid Squence: SRLFDNDLPDGWEERR

Specificity

SMURF2 antibody is human, mouse and rat reactive. SMURF2 is predicted to not cross-react with SMURF1.

Clonality

Polyclonal

Host

Rabbit

Isotype

IgG

Theoretical MW

85 kDa.
Disclaimer note: The observed molecular weight of the protein may vary from the listed predicted molecular weight due to post translational modifications, post translation cleavages, relative charges, and other experimental factors.

Description

Novus Biologicals Rabbit SMURF2 Antibody - BSA Free (NBP2-81916) is a polyclonal antibody validated for use in IHC, WB, ELISA and ICC/IF. All Novus Biologicals antibodies are covered by our 100% guarantee.

Scientific Data Images for SMURF2 Antibody - BSA Free

Western Blot: SMURF2 AntibodyBSA Free [NBP2-81916]

Western Blot: SMURF2 AntibodyBSA Free [NBP2-81916]

Western Blot: SMURF2 Antibody [NBP2-81916] - Analysis of SMURF2 in C2C12 cell lysate with SMURF2 antibody at 1 ug/ml.
SMURF2 Antibody - BSA Free

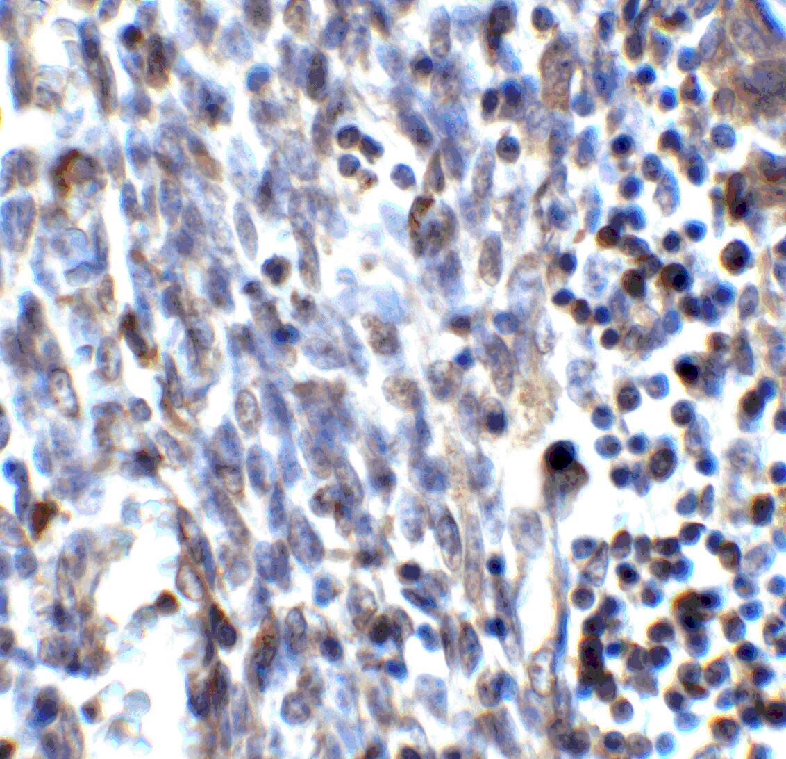
Immunohistochemistry: SMURF2 Antibody - BSA Free [NBP2-81916] -

Immunohistochemistry: SMURF2 Antibody - BSA Free [NBP2-81916] - Immunohistochemistry of SMURF2 in mouse liver tissue with SMURF2 antibody at 2 ug/ml.
SMURF2 Antibody - BSA Free

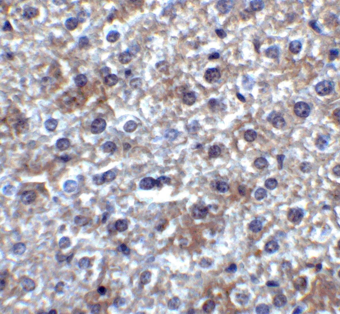
Immunohistochemistry: SMURF2 Antibody - BSA Free [NBP2-81916] -

Immunohistochemistry: SMURF2 Antibody - BSA Free [NBP2-81916] - Immunohistochemistry of SMURF2 in mouse liver tissue with SMURF2 antibody at 5 ug/mL.

Applications for SMURF2 Antibody - BSA Free

Application
Recommended Usage

Immunocytochemistry/ Immunofluorescence

20 ug/ml

Immunohistochemistry

2 ug/ml

Western Blot

1-2 ug/ml

Formulation, Preparation, and Storage

Purification

Peptide affinity purified

Formulation

PBS

Format

BSA Free

Preservative

0.02% Sodium Azide

Concentration

1 mg/ml

Shipping

The product is shipped with polar packs. Upon receipt, store it immediately at the temperature recommended below.

Stability & Storage

Store at 4C short term. Aliquot and store at -20C long term. Avoid freeze-thaw cycles.

Background: SMURF2

Smad ubiquitination regulatory factor proteins (Smurf1 and Smurf2) are E3 ubiquitin ligase that belongs to the Hect family. Smurf proteins play an important role as regulators in TGF-beta pathway by ubiquitinating Smads and Smads associated proteins for proteasome degradation (1). Specifically, Smurf1 interacts with Smad1 and Smad5 for degradation, while Smurf2 ubiquitinates Smad1 and Smad2. Smads also functions to recruit Smurfs to various pathway components such as TGF-beta and SnoN. In particular, Smad7 acts as an adaptor protein between Smurfs and TGF-Beta receptors, allowing the receptors to be marked by Smurfs for degradation (2). Smurf2 interacts with all members of Smad family except for Smad4 and it is expressed various tissues and cell lines, such as placenta and ovarian cancer cell lines. Smurf2 has been implicated in the tumor formation and diseases progression (3).

Long Name

SMAD Ubiquitination Regulatory Factor 2

Alternate Names

DKFZp686F0270, E3 ubiquitin ligase SMURF2, E3 ubiquitin-protein ligase SMURF2, EC 6.3.2, EC 6.3.2.-, hSMURF2, MGC138150, SMAD specific E3 ubiquitin protein ligase 2, SMAD ubiquitination regulatory factor 2, SMAD-specific E3 ubiquitin-protein ligase 2

Gene Symbol

SMURF2

Additional SMURF2 Products

Product Documents for SMURF2 Antibody - BSA Free

Certificate of Analysis

To download a Certificate of Analysis, please enter a lot number in the search box below.

Product Specific Notices for SMURF2 Antibody - BSA Free

This product is for research use only and is not approved for use in humans or in clinical diagnosis. Primary Antibodies are guaranteed for 1 year from date of receipt.

Loading...
Loading...
Loading...
Loading...