Skip to main content

SMC2 Antibody (PSH0-63)

Novus Biologicals, part of Bio-Techne | Catalog # NBP3-32959

Recombinant Monoclonal Antibody
Novus Biologicals, part of Bio-Techne
Catalog #
Availability
Size / Price
Qty
Loading...
NBP3-32959

Key Product Details

Species Reactivity

Human, Monkey

Applications

Immunocytochemistry/ Immunofluorescence, Immunohistochemistry, Immunohistochemistry-Paraffin, Western Blot

Label

Unconjugated

Antibody Source

Recombinant Monoclonal Rabbit IgG Clone # PSH0-63 expressed in HEK293

Concentration

1 mg/ml

Product Specifications

Immunogen

Recombinant protein within human SMC2 aa 451-750 / 1,197. (Uniprot: O95347)

Localization

Nucleus, Cytoplasm, Chromosome.

Clonality

Monoclonal

Host

Rabbit

Isotype

IgG

Theoretical MW

136 kDa.
Disclaimer note: The observed molecular weight of the protein may vary from the listed predicted molecular weight due to post translational modifications, post translation cleavages, relative charges, and other experimental factors.

Description

Novus Biologicals Rabbit SMC2 Antibody (PSH0-63) (NBP3-32959) is a recombinant monoclonal antibody validated for use in IHC, WB and ICC/IF. All Novus Biologicals antibodies are covered by our 100% guarantee.

Scientific Data Images for SMC2 Antibody (PSH0-63)

SMC2 Antibody (PSH0-63)

Western Blot: SMC2 Antibody (PSH0-63) [NBP3-32959]

Western Blot: SMC2 Antibody (PSH0-63) [NBP3-32959] - Western blot analysis of SMC2 on different lysates with Rabbit anti-SMC2 antibody (NBP3-32959) at 1/1,000 dilution.

Lane 1: HeLa cell lysate (30 ug/Lane)
Lane 2: HEK-293 cell lysate (30 ug/Lane)
Lane 3: HT-29 cell lysate (30 ug/Lane)
Lane 4: HepG2 cell lysate (30 ug/Lane)
Lane 5: A431 cell lysate (30 ug/Lane)
Lane 6: SH-SY5Y cell lysate (30 ug/Lane)
Lane 7: Jurkat cell lysate (30 ug/Lane)
Lane 8: Raji cell lysate (30 ug/Lane)
Lane 9: COS-1 cell lysate (24 ug/Lane)

Predicted band size: 136 kDa
Observed band size: 136 kDa

Exposure time: 1 minute;

4-20% SDS-PAGE gel.

Proteins were transferred to a PVDF membrane and blocked with 5% NFDM/TBST for 1 hour at room temperature. The primary antibody (NBP3-32959) at 1/1,000 dilution was used in 5% NFDM/TBST at room temperature for 2 hours. Goat Anti-Rabbit IgG - HRP Secondary Antibody at 1:100,000 dilution was used for 1 hour at room temperature.
SMC2 Antibody (PSH0-63)

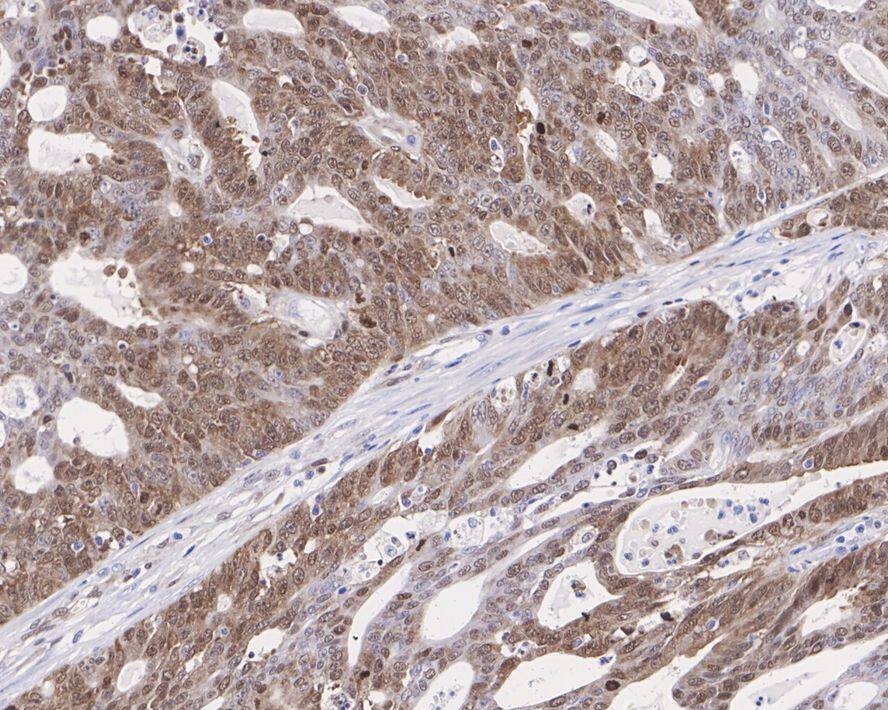
Immunohistochemistry: SMC2 Antibody (PSH0-63) [NBP3-32959]

Immunohistochemistry: SMC2 Antibody (PSH0-63) [NBP3-32959] - Immunohistochemical analysis of paraffin-embedded human colon carcinoma tissue with Rabbit anti-SMC2 antibody (NBP3-32959) at 1/1,000 dilution.

The section was pre-treated using heat mediated antigen retrieval with sodium citrate buffer (pH 6.0) for 2 minutes. The tissues were blocked in 1% BSA for 20 minutes at room temperature, washed with ddH2O and PBS, and then probed with the primary antibody (NBP3-32959) at 1/1,000 dilution for 1 hour at room temperature. The detection was performed using an HRP conjugated compact polymer system. DAB was used as the chromogen. Tissues were counterstained with hematoxylin and mounted with DPX.
SMC2 Antibody (PSH0-63)

Immunocytochemistry/ Immunofluorescence: SMC2 Antibody (PSH0-63) [NBP3-32959]

Immunocytochemistry/ Immunofluorescence: SMC2 Antibody (PSH0-63) [NBP3-32959] - Immunocytochemistry analysis of HeLa cells labeling SMC2 with Rabbit anti-SMC2 antibody (NBP3-32959) at 1/100 dilution.

Cells were fixed in 100% methanol for 10 minutes, permeabilized with 0.1% Triton X-100 in PBS for 15 minutes, and then blocked with 1% BSA for 30 minutes at room temperature. Cells were then incubated with Rabbit anti-SMC2 antibody (NBP3-32959) at 1/100 dilution in 2% negative goat serum overnight at 4 ℃. Goat Anti-Rabbit IgG H&L (iFluor™ 488) was used as the secondary antibody at 1/1,000 dilution. Nuclear DNA was labelled in blue with DAPI.

Beta tubulin (red) was stained at 1/100 dilution overnight at +4℃. Goat Anti-Mouse IgG H&L (iFluor™ 594) was used as the secondary antibody at 1/1,000 dilution.

Applications for SMC2 Antibody (PSH0-63)

Application
Recommended Usage

Immunocytochemistry/ Immunofluorescence

1:100

Immunohistochemistry-Paraffin

1:1000

Western Blot

1:1000

Formulation, Preparation, and Storage

Purification

Protein A purified

Formulation

PBS (pH7.4), 0.1% BSA and 40% Glycerol

Preservative

0.05% Sodium Azide

Concentration

1 mg/ml

Shipping

The product is shipped with polar packs. Upon receipt, store it immediately at the temperature recommended below.

Stability & Storage

Store at 4C short term. Aliquot and store at -20C long term. Avoid freeze-thaw cycles.

Background: SMC2

Structural Maintenance of Chromosome (SMC) proteins are required for nuclear processes, including chromosome condensation, chromatid cohesion, and DNA repair. Eukaryotic proteins are capable of binding DNA and possess a DNA-stimulated ATPase activity.

Alternate Names

CAP-E, CAPESMC2 structural maintenance of chromosomes 2-like 1 (yeast), chromosome-associated protein E, FLJ10093, hCAP-EXCAP-E homolog, SMC protein 2, SMC-2, SMC2 (structural maintenance of chromosomes 2, yeast)-like 1, SMC2 structural maintenance of chromosomes 2-like 1, SMC2L1, structural maintenance of chromosomes (SMC) family member, structural maintenance of chromosomes 2, structural maintenance of chromosomes protein 2

Gene Symbol

SMC2

Additional SMC2 Products

Product Documents for SMC2 Antibody (PSH0-63)

Certificate of Analysis

To download a Certificate of Analysis, please enter a lot number in the search box below.

Product Specific Notices for SMC2 Antibody (PSH0-63)

This product is for research use only and is not approved for use in humans or in clinical diagnosis. Primary Antibodies are guaranteed for 1 year from date of receipt.

Loading...
Loading...
Loading...
Loading...