Skip to main content

SMC1 Antibody - BSA Free

Novus Biologicals, part of Bio-Techne | Catalog # NBP3-29588

Novus Biologicals, part of Bio-Techne
Catalog #
Availability
Size / Price
Qty
Loading...
NBP3-29588

Key Product Details

Species Reactivity

Human, Mouse

Applications

Immunohistochemistry, Western Blot, Immunoprecipitation

Label

Unconjugated

Antibody Source

Polyclonal Rabbit IgG

Format

BSA Free

Concentration

Please see the vial label for concentration. If unlisted please contact technical services.

Product Specifications

Immunogen

between 1175 and C-term

Clonality

Polyclonal

Host

Rabbit

Isotype

IgG

Description

Novus Biologicals Rabbit SMC1 Antibody - BSA Free (NBP3-29588) is a polyclonal antibody validated for use in IHC, WB and IP. All Novus Biologicals antibodies are covered by our 100% guarantee.

Scientific Data Images for SMC1 Antibody - BSA Free

SMC1 Antibody

Immunohistochemistry;SMC1 Antibody[NBP3-29562]

Immunohistochemistry;SMC1 Antibody[NBP3-29562]Detection of mouse SMC1 by immunohistochemistry. Sample: FFPE section of mouse colon carcinoma CT26. Antibody: Affinity purified rabbit anti-SMC1 used at a dilution of 1:5,000 . Detection: DAB
SMC1 Antibody

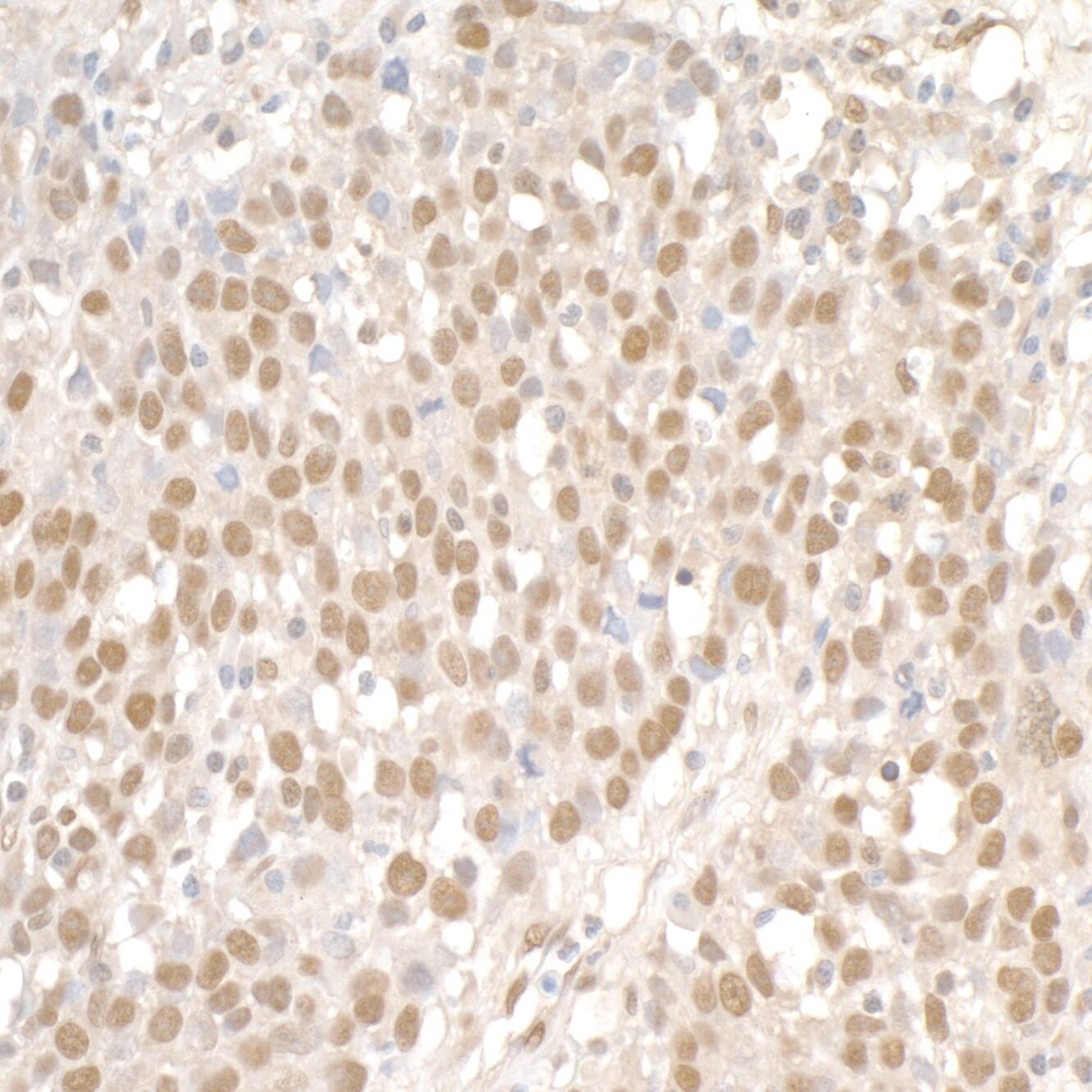
Immunohistochemistry;SMC1 Antibody[NBP3-29588]

Immunohistochemistry;SMC1 Antibody[NBP3-29588]Detection of human SMC1 by immunohistochemistry. Sample: FFPE section of human ovarian carcinoma. Antibody: Affinity purified rabbit anti-SMC1 used at a dilution of 1:5,000 . Detection: DAB
SMC1 Antibody

Immunoprecipitation:SMC1 AntibodyNBP3-29588] -

Immunoprecipitation:SMC1 AntibodyNBP3-29588] -Detection of human SMC1 by western blot of immunoprecipitates. Samples: Whole cell lysate (1.0 mg per IP reaction; 20% of IP loaded) from HeLa cells prepared using NETN lysis buffer. Antibodies: Affinity purified rabbit anti-SMC1 antibody NBP3-29588 (lot NBP3-29588-6) used for IP at 6 µg per reaction. SMC1 was also immunoprecipitated by rabbit anti-SMC1 recombinant monoclonal antibody [BL-205-2G8] (A700-018). For blotting immunoprecipitated SMC1, A700-018 was used at 1:1000. Detection: Chemiluminescence with an exposure time time of 10 seconds.

Applications for SMC1 Antibody - BSA Free

Application
Recommended Usage

Immunohistochemistry

Optimal dilutions of this antibody should be experimentally determined.

Immunoprecipitation

Optimal dilutions of this antibody should be experimentally determined.

Western Blot

Optimal dilutions of this antibody should be experimentally determined.

Formulation, Preparation, and Storage

Purification

Affinity purified

Formulation

Tris-citrate/phosphate buffer, pH 7 to 8

Format

BSA Free

Preservative

0.09% Sodium Azide

Concentration

Please see the vial label for concentration. If unlisted please contact technical services.

Shipping

The product is shipped with polar packs. Upon receipt, store it immediately at the temperature recommended below.

Stability & Storage

Store at 4C. Do not freeze.

Background: SMC1

SMC1 is involved in chromosome cohesion during cell cycle and in DNA repair. It is a central component of the cohesin complex. The cohesin complex is required for the cohesion of sister chromatids after DNA replication. The cohesin complex apparently forms a large proteinaceous ring within which sister chromatids can be trapped. At anaphase, the complex is cleaved and dissociates from chromatin, allowing sister chromatids to segregate. The cohesin complex may also play a role in spindle pole assembly during mitosis. Involved in DNA repair via its interaction with BRCA1 and its related phosphorylation by ATM, SMC1 works as a downstream effector in the ATM/NBS1 branch of S-phase checkpoint.

Long Name

Structural Maintenance of Chromosomes 1

Alternate Names

SB1.8, SMC1A, SMC1L1

Gene Symbol

SMC1A

Additional SMC1 Products

Product Documents for SMC1 Antibody - BSA Free

Certificate of Analysis

To download a Certificate of Analysis, please enter a lot number in the search box below.

Product Specific Notices for SMC1 Antibody - BSA Free

This product is for research use only and is not approved for use in humans or in clinical diagnosis. Primary Antibodies are guaranteed for 1 year from date of receipt.

Loading...
Loading...
Loading...
Loading...
Loading...