Skip to main content

SMC1 Antibody - BSA Free

Novus Biologicals, part of Bio-Techne | Catalog # NBP2-32142

Novus Biologicals, part of Bio-Techne

Key Product Details

Validated by

Biological Validation

Species Reactivity

Human, Mouse

Applications

Immunohistochemistry, Western Blot, Immunoprecipitation

Label

Unconjugated

Antibody Source

Polyclonal Rabbit IgG

Format

BSA Free

Concentration

1.0 mg/ml

Product Specifications

Immunogen

The immunogen this antibody was made to, maps to a region of human SMC1 (structural maintenance of chromosomes 1-like 1 ) surrounding serine 957 using the numbering given in entry NP_006297.2 (Gene ID 8243) when the serine residue is phosphorylated.

Clonality

Polyclonal

Host

Rabbit

Isotype

IgG

Description

Novus Biologicals Rabbit SMC1 Antibody - BSA Free (NBP2-32142) is a polyclonal antibody validated for use in IHC, WB and IP. All Novus Biologicals antibodies are covered by our 100% guarantee.

Scientific Data Images for SMC1 Antibody - BSA Free

Western Blot: SMC1 Antibody [NBP2-32142]

Western Blot: SMC1 Antibody [NBP2-32142]

Western Blot: SMC1 Antibody [NBP2-32142] - Samples: Whole cell lysate (50 ug) from 293T cells treated with 100 uM EPE for 2 hours (+) or mock treated (-). Antibodies: Affinity purified rabbit anti-SMC1 antibody NBP2-32142 used for WB at 0.1 ug/ml. Detection: Chemiluminescence with an exposure time of 30 seconds. Lower panel shows Westen Blot for total SMC1 using affinity purified rabbit anti-SMC1 antibody at 0.1 ug/ml with an exposure time of 30 seconds.
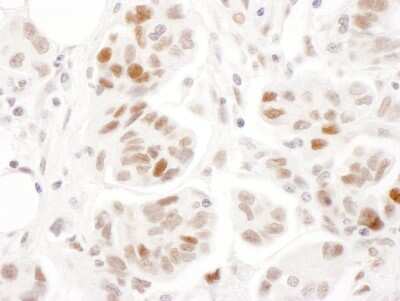
Immunohistochemistry: SMC1 Antibody [NBP2-32142]

Immunohistochemistry: SMC1 Antibody [NBP2-32142]

Immunohistochemistry: SMC1 Antibody [NBP2-32142] - Sample: FFPE section of mouse teratoma. Antibody: Affinity purified rabbit anti- Phospho SMC1 (S957) used at a dilution of 1:1,000 (1ug/ml). Detection: DAB. Counterstain: Hematoxylin (blue).
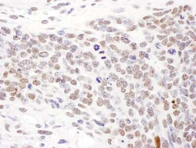
Immunohistochemistry: SMC1 Antibody [NBP2-32142]

Immunohistochemistry: SMC1 Antibody [NBP2-32142]

Immunohistochemistry: SMC1 Antibody [NBP2-32142] - Sample: FFPE section of human ovarian carcinoma. Antibody: Affinity purified rabbit anti- Phospho SMC1 (S957) used at a dilution of 1:5,000 (0.2ug/ml). Detection: DAB. Counterstain: Hematoxylin (blue).

Applications for SMC1 Antibody - BSA Free

Application
Recommended Usage

Immunoprecipitation

2 - 10 ug/mg lysate

Western Blot

1:2000 - 1:10000

Formulation, Preparation, and Storage

Purification

Immunogen affinity purified

Formulation

Tris-Citrate/Phosphate (pH 7.0 - 8.0)

Format

BSA Free

Preservative

0.09% Sodium Azide

Concentration

1.0 mg/ml

Shipping

The product is shipped with polar packs. Upon receipt, store it immediately at the temperature recommended below.

Stability & Storage

Store at 4C. Do not freeze.

Background: SMC1

SMC1 is involved in chromosome cohesion during cell cycle and in DNA repair. It is a central component of the cohesin complex. The cohesin complex is required for the cohesion of sister chromatids after DNA replication. The cohesin complex apparently forms a large proteinaceous ring within which sister chromatids can be trapped. At anaphase, the complex is cleaved and dissociates from chromatin, allowing sister chromatids to segregate. The cohesin complex may also play a role in spindle pole assembly during mitosis. Involved in DNA repair via its interaction with BRCA1 and its related phosphorylation by ATM, SMC1 works as a downstream effector in the ATM/NBS1 branch of S-phase checkpoint.

Long Name

Structural Maintenance of Chromosomes 1

Alternate Names

SB1.8, SMC1A, SMC1L1

Gene Symbol

SMC1A

Additional SMC1 Products

Product Documents for SMC1 Antibody - BSA Free

Certificate of Analysis

To download a Certificate of Analysis, please enter a lot number in the search box below.

Product Specific Notices for SMC1 Antibody - BSA Free

This product is for research use only and is not approved for use in humans or in clinical diagnosis. Primary Antibodies are guaranteed for 1 year from date of receipt.

Loading...
Loading...
Loading...
Loading...
Loading...