Skip to main content

SMC1 Antibody - BSA Free

Novus Biologicals, part of Bio-Techne | Catalog # NB100-204

Novus Biologicals, part of Bio-Techne

Key Product Details

Species Reactivity

Validated:

Human, Mouse

Cited:

Human, Mouse

Predicted:

Bovine (100%), Rat (100%). Backed by our 100% Guarantee.

Applications

Validated:

Immunohistochemistry, Immunohistochemistry-Paraffin, Western Blot, ELISA, Immunocytochemistry/ Immunofluorescence, Simple Western, Immunoprecipitation

Cited:

Immunohistochemistry-Paraffin, Western Blot, ELISA, Immunocytochemistry/ Immunofluorescence, Immunoprecipitation

Label

Unconjugated

Antibody Source

Polyclonal Rabbit IgG

Format

BSA Free

Concentration

1.0 mg/ml

Product Specifications

Immunogen

The immunogen recognized by this antibody maps to a region between residue 1175 and the C-terminus of human Structural Maintenance of Chromosomes 1 using the numbering given in entry NP_006297.2

Localization

Nuclear

Clonality

Polyclonal

Host

Rabbit

Isotype

IgG

Theoretical MW

160 kDa.
Disclaimer note: The observed molecular weight of the protein may vary from the listed predicted molecular weight due to post translational modifications, post translation cleavages, relative charges, and other experimental factors.

Description

This antibody can be used as the primary antibody in a PLA assay with the following as complementing antibodies:NB100-322, NB100-224, NB100-206

Scientific Data Images for SMC1 Antibody - BSA Free

Immunohistochemistry-Paraffin: SMC1 Antibody [NB100-204]

Immunohistochemistry-Paraffin: SMC1 Antibody [NB100-204]

Immunohistochemistry-Paraffin: SMC1 Antibody [NB100-204] - FFPE section of mouse colon carcinoma CT26. Antibody: Affinity purified rabbit anti-SMC1 used at a dilution of 1:5,000 (0.2ug/ml). Detection: DAB
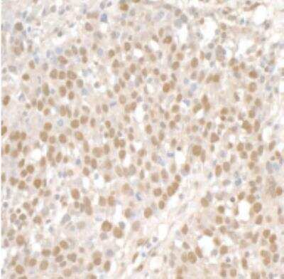
Immunohistochemistry-Paraffin: SMC1 Antibody [NB100-204]

Immunohistochemistry-Paraffin: SMC1 Antibody [NB100-204]

Immunohistochemistry-Paraffin: SMC1 Antibody [NB100-204] - FFPE section of human ovarian carcinoma. Antibody: Affinity purified rabbit anti-SMC1 used at a dilution of 1:5,000 (0.2ug/ml). Detection: DAB
Simple Western: SMC1 Antibody [NB100-204]

Simple Western: SMC1 Antibody [NB100-204]

Simple Western: SMC1 Antibody [NB100-204] - Simple Western lane view shows a specific band for SMC1 in 0.5 mg/ml of Hek293 (left) and HeLa (right) lysate. This experiment was performed under reducing conditions using the 12-230 kDa separation system.

Applications for SMC1 Antibody - BSA Free

Application
Recommended Usage

ELISA

1:100-1:2000

Immunocytochemistry/ Immunofluorescence

1:250- 1:1000

Immunohistochemistry

1:2000 -1:10000

Immunohistochemistry-Paraffin

1:2000 -1:10000

Immunoprecipitation

2 - 10 ug/mg lysate

Simple Western

1:100

Western Blot

1:2000- 1:10000
Application Notes
ELISA and Immunoprecipitation were reported in (PMID: 19409520).

In Simple Western only 10 - 15 uL of the recommended dilution is used per data point.
See Simple Western Antibody Database for Simple Western validation: Tested in Hek293 and HeLa lysate 0.5 mg/mL, separated by Size, antibody dilution of 1:100. Separated by Size-Wes, Sally Sue/Peggy Sue.

Formulation, Preparation, and Storage

Purification

Immunogen affinity purified

Formulation

Tris-Citrate/Phosphate (pH 7.0 - 8.0)

Format

BSA Free

Preservative

0.09% Sodium Azide

Concentration

1.0 mg/ml

Shipping

The product is shipped with polar packs. Upon receipt, store it immediately at the temperature recommended below.

Stability & Storage

Store at 4C. Do not freeze.

Background: SMC1

SMC1 is involved in chromosome cohesion during cell cycle and in DNA repair. It is a central component of the cohesin complex. The cohesin complex is required for the cohesion of sister chromatids after DNA replication. The cohesin complex apparently forms a large proteinaceous ring within which sister chromatids can be trapped. At anaphase, the complex is cleaved and dissociates from chromatin, allowing sister chromatids to segregate. The cohesin complex may also play a role in spindle pole assembly during mitosis. Involved in DNA repair via its interaction with BRCA1 and its related phosphorylation by ATM, SMC1 works as a downstream effector in the ATM/NBS1 branch of S-phase checkpoint.

Long Name

Structural Maintenance of Chromosomes 1

Alternate Names

SB1.8, SMC1A, SMC1L1

Gene Symbol

SMC1A

Additional SMC1 Products

Product Documents for SMC1 Antibody - BSA Free

Certificate of Analysis

To download a Certificate of Analysis, please enter a lot number in the search box below.

Product Specific Notices for SMC1 Antibody - BSA Free

This antibody can be used as the primary antibody in a PLA assay with the following as complementing antibodies:NB100-322, NB100-224, NB100-206

This product is for research use only and is not approved for use in humans or in clinical diagnosis. Primary Antibodies are guaranteed for 1 year from date of receipt.

Loading...
Loading...
Loading...
Loading...
Loading...