Skip to main content

SMARCC2/BAF170 Antibody - BSA Free

Novus Biologicals, part of Bio-Techne | Catalog # NBP3-47888

Novus Biologicals, part of Bio-Techne
Catalog #
Availability
Size / Price
Qty
Loading...
NBP3-47888

Key Product Details

Species Reactivity

Human, Mouse, Rat

Applications

Immunohistochemistry, Western Blot, ELISA, Immunocytochemistry/ Immunofluorescence

Label

Unconjugated

Antibody Source

Polyclonal Rabbit IgG

Format

BSA Free

Concentration

Please see the vial label for concentration. If unlisted please contact technical services.

Product Specifications

Immunogen

SWI/SNF related, matrix associated, actin dependent regulator of chromatin, subfamily c, member 2. (Uniprot# Q8TAQ2)

Clonality

Polyclonal

Host

Rabbit

Isotype

IgG

Theoretical MW

170 kDa.
Disclaimer note: The observed molecular weight of the protein may vary from the listed predicted molecular weight due to post translational modifications, post translation cleavages, relative charges, and other experimental factors.

Description

Novus Biologicals Rabbit SMARCC2/BAF170 Antibody - BSA Free (NBP3-47888) is a polyclonal antibody validated for use in IHC, WB, ELISA and ICC/IF. All Novus Biologicals antibodies are covered by our 100% guarantee.

Scientific Data Images for SMARCC2/BAF170 Antibody - BSA Free

SMARCC2/BAF170 Antibody - BSA Free

Western Blot: SMARCC2/BAF170 Antibody - BSA Free [NBP3-47888] -

Western Blot: SMARCC2/BAF170 Antibody - BSA Free [NBP3-47888] - HeLa cells were subjected to SDS PAGE followed by western blot with (SMARCC2/BAF170 antibody) at dilution of 1:500
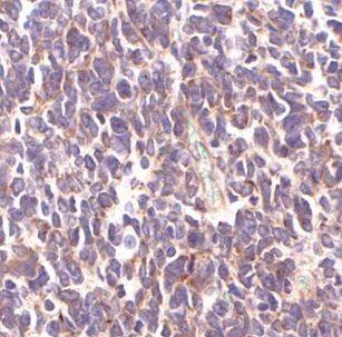
SMARCC2/BAF170 Antibody - BSA Free

Immunohistochemistry: SMARCC2/BAF170 Antibody - BSA Free [NBP3-47888] -

Immunohistochemistry: SMARCC2/BAF170 Antibody - BSA Free [NBP3-47888] - Immunohistochemistry of paraffin-embedded human medulloblastoma using (SMARCC2/BAF170 antibody) at dilution of 1:50

Applications for SMARCC2/BAF170 Antibody - BSA Free

Application
Recommended Usage

Immunocytochemistry/ Immunofluorescence

1:20-1:200

Immunohistochemistry

1:20-1:200

Western Blot

1:500-1:2000

Formulation, Preparation, and Storage

Purification

Immunogen affinity purified

Formulation

PBS, 50% Glycerol, pH (7.3)

Format

BSA Free

Preservative

0.02% Sodium Azide

Concentration

Please see the vial label for concentration. If unlisted please contact technical services.

Shipping

The product is shipped with polar packs. Upon receipt, store it immediately at the temperature recommended below.

Stability & Storage

Store at -20C. Avoid freeze-thaw cycles.

Background: SMARCC2/BAF170

SMARCC2 / BAF170 is encoded by this gene is a member of the SWI/SNF family of proteins, whose members display helicase and ATPase activities and which are thought to regulate transcription of certain genes by altering the chromatin structure around those genes. The encoded protein is part of the large ATP-dependent chromatin remodeling complex SNF/SWI and contains a predicted leucine zipper motif typical of many transcription factors. Two transcript variants encoding different isoforms have been found for this gene.

Alternate Names

BAF170DKFZp313D0632, BRG1-associated factor 170, chromatin remodeling complex BAF170 subunit, CRACC2, mammalian chromatin remodeling complex BRG1-associated factor 170, Rsc8, subfamily c, member 2, SWI/SNF complex 170 kDa subunit, SWI/SNF complex subunit SMARCC2, SWI/SNF related, matrix associated, actin dependent regulator of chromatin, SWI/SNF-related matrix-associated actin-dependent regulator of chromatinsubfamily C member 2, SWI3-like protein

Gene Symbol

SMARCC2

Additional SMARCC2/BAF170 Products

Product Documents for SMARCC2/BAF170 Antibody - BSA Free

Certificate of Analysis

To download a Certificate of Analysis, please enter a lot number in the search box below.

Product Specific Notices for SMARCC2/BAF170 Antibody - BSA Free

This product is for research use only and is not approved for use in humans or in clinical diagnosis. Primary Antibodies are guaranteed for 1 year from date of receipt.

Loading...
Loading...
Loading...
Loading...