Skip to main content

SLURP1 Antibody - BSA Free

Novus Biologicals, part of Bio-Techne | Catalog # NBP2-13351

Novus Biologicals, part of Bio-Techne
Catalog #
Availability
Size / Price
Qty
Loading...
NBP2-13351
NBP2-13351-25ul

Key Product Details

Species Reactivity

Validated:

Human, Chinese Hamster

Cited:

Hamster - Cricetulus (Chinese Hamster)

Applications

Validated:

Immunohistochemistry, Immunohistochemistry-Paraffin, Western Blot

Cited:

Western Blot

Label

Unconjugated

Antibody Source

Polyclonal Rabbit IgG

Format

BSA Free

Concentration

Concentrations vary lot to lot. See vial label for concentration. If unlisted please contact technical services.

Product Specifications

Immunogen

This antibody was developed against a recombinant protein corresponding to the amino acids: KEPMTSASCRTITRCKPEDTACMTTLVTVEAEYPFNQSPVVTRSCSSSCVATDPDSIGAAHLIFCCFRDLCN

Reactivity Notes

Chinese Hamster reactivity reported in scientific literature (PMID: 27034464)

Clonality

Polyclonal

Host

Rabbit

Isotype

IgG

Description

Novus Biologicals Rabbit SLURP1 Antibody - BSA Free (NBP2-13351) is a polyclonal antibody validated for use in IHC and WB. Anti-SLURP1 Antibody: Cited in 1 publication. All Novus Biologicals antibodies are covered by our 100% guarantee.

Scientific Data Images for SLURP1 Antibody - BSA Free

Western Blot: SLURP1 Antibody [NBP2-13351]

Western Blot: SLURP1 Antibody [NBP2-13351]

Western Blot: SLURP1 Antibody [NBP2-13351] - Lane 1: Marker [kDa] 250, 130, 100, 70, 55, 35, 25, 15, 10. Lane 2: esophagus
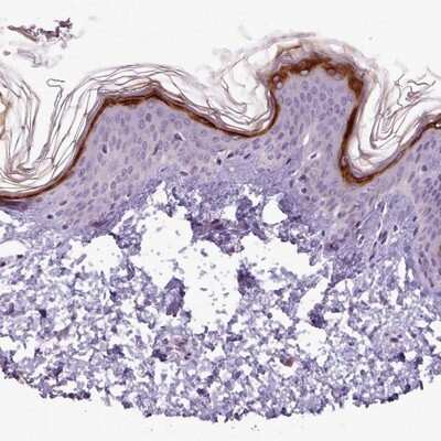
Immunohistochemistry-Paraffin: SLURP1 Antibody [NBP2-13351]

Immunohistochemistry-Paraffin: SLURP1 Antibody [NBP2-13351]

Immunohistochemistry-Paraffin: SLURP1 Antibody [NBP2-13351] - Staining of human skin shows strong cytoplasmic positivity in a subset of keratinocytes.
SLURP1 Antibody - BSA Free Western Blot: SLURP1 Antibody - BSA Free [NBP2-13351]

Western Blot: SLURP1 Antibody - BSA Free [NBP2-13351]

Lane 1: Marker [kDa] 250, 130, 100, 70, 55, 35, 25, 15, 10
Lane 2: Human Esophagus tissue

Applications for SLURP1 Antibody - BSA Free

Application
Recommended Usage

Immunohistochemistry

1:50 - 1:200

Immunohistochemistry-Paraffin

1:50 - 1:200

Western Blot

0.04-0.4 ug/ml
Application Notes
For IHC-Paraffin, HIER pH 6 retrieval is recommended.

Formulation, Preparation, and Storage

Purification

Immunogen affinity purified

Formulation

PBS (pH 7.2) and 40% Glycerol

Format

BSA Free

Preservative

0.02% Sodium Azide

Concentration

Concentrations vary lot to lot. See vial label for concentration. If unlisted please contact technical services.

Shipping

The product is shipped with polar packs. Upon receipt, store it immediately at the temperature recommended below.

Stability & Storage

Store at 4C short term. Aliquot and store at -20C long term. Avoid freeze-thaw cycles.

Background: SLURP1

The protein encoded by this gene is a member of the Ly6/uPAR family but lacks a GPI-anchoring signal sequence. It is thought that this secreted protein contains antitumor activity. Mutations in this gene have been associated with Mal de Meleda, a rare autosomal recessive skin disorder. This gene maps to the same chromosomal region as several members of the Ly6/uPAR family of glycoprotein receptors

Long Name

Secreted Ly-6/uPAR-related Protein 1

Alternate Names

ARS Component B

Gene Symbol

SLURP1

Additional SLURP1 Products

Product Documents for SLURP1 Antibody - BSA Free

Certificate of Analysis

To download a Certificate of Analysis, please enter a lot number in the search box below.

Product Specific Notices for SLURP1 Antibody - BSA Free

This product is for research use only and is not approved for use in humans or in clinical diagnosis. Primary Antibodies are guaranteed for 1 year from date of receipt.

Loading...
Loading...
Loading...
Loading...