Skip to main content

SLITRK4 Antibody - BSA Free

Novus Biologicals, part of Bio-Techne | Catalog # NBP2-55121

Novus Biologicals, part of Bio-Techne
Catalog #
Availability
Size / Price
Qty
Loading...
NBP2-55121
NBP2-55121-25ul

Key Product Details

Validated by

Orthogonal Validation

Species Reactivity

Validated:

Human

Predicted:

Mouse (94%). Backed by our 100% Guarantee.

Applications

Immunohistochemistry, Immunohistochemistry-Paraffin

Label

Unconjugated

Antibody Source

Polyclonal Rabbit IgG

Format

BSA Free

Concentration

Concentrations vary lot to lot. See vial label for concentration. If unlisted please contact technical services.

Product Specifications

Immunogen

This antibody was developed against a recombinant protein corresponding to the following amino acid sequence: PDCGSMQLQLRKHDHKTNKKDGLSTEAFIPQTIEQMSKSHACGLKESETGFMFSDPPGQKVVMRNVADKEKDLLHVDTRKRLSTIDELDELFPSRDSNVFIQNFLESKKEYNSIGVSGFEIRYPEKQPDKKSKKSLIGGNHS

Clonality

Polyclonal

Host

Rabbit

Isotype

IgG

Description

Novus Biologicals Rabbit SLITRK4 Antibody - BSA Free (NBP2-55121) is a polyclonal antibody validated for use in IHC. All Novus Biologicals antibodies are covered by our 100% guarantee.

Scientific Data Images for SLITRK4 Antibody - BSA Free

SLITRK4 Antibody

Immunohistochemistry-Paraffin: SLITRK4 Antibody [NBP2-55121]-analysis in human adrenal gland and liver tissues using antibody. Corresponding SLITRK4 RNA-seq data are presented for the same tissues.

Immunohistochemistry-Paraffin: SLITRK4 Antibody [NBP2-55121]-analysis in human adrenal gland and liver tissues using antibody. Corresponding SLITRK4 RNA-seq data are presented for the same tissues.
SLITRK4 Antibody

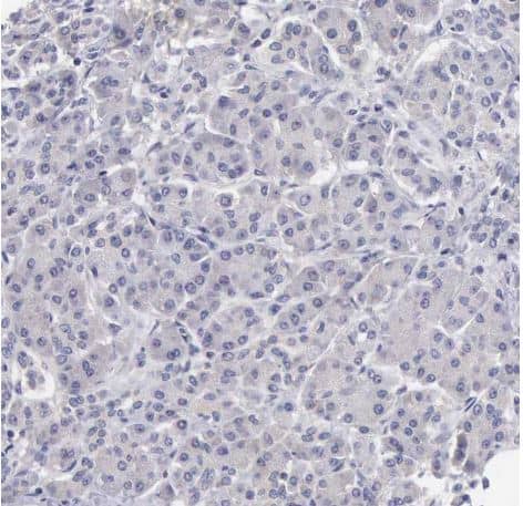
Immunohistochemistry-Paraffin: SLITRK4 Antibody [NBP2-55121] - Staining of human adrenal gland shows moderate membranous positivity in glandular cells.

Immunohistochemistry-Paraffin: SLITRK4 Antibody [NBP2-55121] - Staining of human adrenal gland shows moderate membranous positivity in glandular cells.
SLITRK4 Antibody

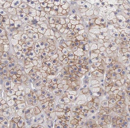
Immunohistochemistry-Paraffin: SLITRK4 Antibody [NBP2-55121] -Staining of human skeletal muscle shows no membranous positivity in myocytes as expected.

Immunohistochemistry-Paraffin: SLITRK4 Antibody [NBP2-55121] -Staining of human skeletal muscle shows no membranous positivity in myocytes as expected.

Applications for SLITRK4 Antibody - BSA Free

Application
Recommended Usage

Immunohistochemistry

1:50 - 1:200

Immunohistochemistry-Paraffin

1:50 - 1:200
Application Notes
For IHC-Paraffin, HIER pH 6 retrieval is recommended.

Formulation, Preparation, and Storage

Purification

Affinity purified

Formulation

PBS (pH 7.2) and 40% Glycerol

Format

BSA Free

Preservative

0.02% Sodium Azide

Concentration

Concentrations vary lot to lot. See vial label for concentration. If unlisted please contact technical services.

Shipping

The product is shipped with polar packs. Upon receipt, store it immediately at the temperature recommended below.

Stability & Storage

Store at 4C short term. Aliquot and store at -20C long term. Avoid freeze-thaw cycles.

Background: SLITRK4

Members of the SLITRK family, such as SLITRK4, are integral membrane proteins with 2 N-terminal leucine-rich repeat(LRR) domains similar to those of SLIT proteins (see SLIT1; MIM 603742). Most SLITRKs, including SLITRK4, also haveC-terminal regions that share homology with neurotrophin receptors (see NTRK1; MIM 191315). SLITRKs are expressedpredominantly in neural tissues and have neurite-modulating activity (Aruga et al., 2003 (PubMed 14557068)).(suppliedby OMIM)

Long Name

SLIT and NTRK-like Family, Member 4

Alternate Names

DKFZp547M2010, SLIT and NTRK-like family, member 4, SLIT and NTRK-like protein 4, slit and trk like gene 4

Gene Symbol

SLITRK4

Additional SLITRK4 Products

Product Documents for SLITRK4 Antibody - BSA Free

Certificate of Analysis

To download a Certificate of Analysis, please enter a lot number in the search box below.

Product Specific Notices for SLITRK4 Antibody - BSA Free

This product is for research use only and is not approved for use in humans or in clinical diagnosis. Primary Antibodies are guaranteed for 1 year from date of receipt.

Loading...
Loading...
Loading...
Loading...