Skip to main content

SLC7A5/LAT1 Antibody (HL2353) - Azide and BSA Free

Novus Biologicals, part of Bio-Techne | Catalog # NBP3-25549

Recombinant Monoclonal Antibody
Novus Biologicals, part of Bio-Techne
Catalog #
Availability
Size / Price
Qty
Loading...
NBP3-25549

Key Product Details

Validated by

Knockout/Knockdown, Orthogonal Validation

Species Reactivity

Human, Mouse, Rat

Applications

Immunohistochemistry, Immunohistochemistry-Paraffin, Western Blot, Immunocytochemistry/ Immunofluorescence

Label

Unconjugated

Antibody Source

Recombinant Monoclonal Rabbit IgG Clone # HL2353 expressed in HEK293

Format

Azide and BSA Free

Concentration

Concentrations vary lot to lot. See vial label for concentration. If unlisted please contact technical services.

Product Specifications

Immunogen

Recombinant protein encompassing a sequence within the N-terminus region of human SLC7A5/LAT1. The exact sequence is proprietary.

Clonality

Monoclonal

Host

Rabbit

Isotype

IgG

Theoretical MW

55 kDa.
Disclaimer note: The observed molecular weight of the protein may vary from the listed predicted molecular weight due to post translational modifications, post translation cleavages, relative charges, and other experimental factors.

Description

Novus Biologicals Rabbit SLC7A5/LAT1 Antibody (HL2353) - Azide and BSA Free (NBP3-25549) is a recombinant monoclonal antibody validated for use in IHC, WB and ICC/IF. All Novus Biologicals antibodies are covered by our 100% guarantee.

Scientific Data Images for SLC7A5/LAT1 Antibody (HL2353) - Azide and BSA Free

SLC7A5/LAT1 Antibody (HL2353) - Azide and BSA Free

Western Blot: SLC7A5/LAT1 Antibody (HL2353) - Azide and BSA Free [NBP3-25549] -

Western Blot: SLC7A5/LAT1 Antibody (HL2353) - Azide and BSA Free [NBP3-25549] - Boiled and unboiled HeLa whole cell and membrane extracts (30 ug) were separated by 10% SDS-PAGE, and the membrane was blotted with LAT1 / SLC7A5 antibody [HL2353] (NBP3-25549) diluted at 1:1000. The HRP-conjugated anti-rabbit IgG antibody was used to detect the primary antibody. (WCE: whole cell extract; ME: membrane extract)
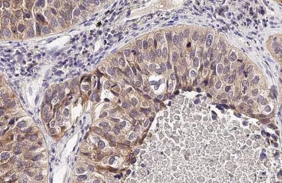
SLC7A5/LAT1 Antibody (HL2353) - Azide and BSA Free

Immunohistochemistry-Paraffin: SLC7A5/LAT1 Antibody (HL2353) - Azide and BSA Free [NBP3-25549] -

Immunohistochemistry-Paraffin: SLC7A5/LAT1 Antibody (HL2353) - Azide and BSA Free [NBP3-25549] - LAT1 / SLC7A5 antibody [HL2353] detects LAT1 / SLC7A5 protein at cell membrane by immunohistochemical analysis. Sample: Paraffin-embedded human lung cancer. LAT1 / SLC7A5 stained by LAT1 / SLC7A5 antibody [HL2353] (NBP3-25549) diluted at 1:100. Antigen Retrieval: Citrate buffer, pH 6.0, 15 min
SLC7A5/LAT1 Antibody (HL2353) - Azide and BSA Free

Western Blot: SLC7A5/LAT1 Antibody (HL2353) - Azide and BSA Free [NBP3-25549] -

Western Blot: SLC7A5/LAT1 Antibody (HL2353) - Azide and BSA Free [NBP3-25549] - Various tissue extracts (50 ug) were separated by 10% SDS-PAGE, and the membrane was blotted with LAT1 / SLC7A5 antibody [HL2353] (NBP3-25549) diluted at 1:1000. The HRP-conjugated anti-rabbit IgG antibody was used to detect the primary antibody.

Applications for SLC7A5/LAT1 Antibody (HL2353) - Azide and BSA Free

Application
Recommended Usage

Immunocytochemistry/ Immunofluorescence

Assay dependent

Immunohistochemistry

Assay dependent

Immunohistochemistry-Paraffin

Assay dependent

Western Blot

1:500-1:3000

Formulation, Preparation, and Storage

Purification

Protein A purified

Formulation

PBS

Format

Azide and BSA Free

Preservative

No Preservative

Concentration

Concentrations vary lot to lot. See vial label for concentration. If unlisted please contact technical services.

Shipping

The product is shipped with polar packs. Upon receipt, store it immediately at the temperature recommended below.

Stability & Storage

Store at 4C short term. Aliquot and store at -20C long term. Avoid freeze-thaw cycles.

Background: SLC7A5/LAT1

Mammalian cells have several amino acid transport systems. These systems have been defined by both activity and specific genes. L-type amino acid transporter 1 (LAT1) is a 12 membrane-spanning protein. LAT1 is a Na + -independent neutral amino acid transporter agency and essential for the transporter of large neutral amino acid such as Leucine, Isoleucine, and Valine through the plasma membrane. LAT1 has been proposed to be one of the major nutrient transport systems at the blood-brain barrier. Drugs such as L Dopa are transported by LAT1. LAT1 is thought to be up-regulated to support the high protein synthesis for cell growth in some tumor cell lines.

Long Name

Solute Carrier Family 7 Member 5

Alternate Names

4F2LC, CD98lc, E16, LAT1, MPE16, TA1

Gene Symbol

SLC7A5

Additional SLC7A5/LAT1 Products

Product Documents for SLC7A5/LAT1 Antibody (HL2353) - Azide and BSA Free

Certificate of Analysis

To download a Certificate of Analysis, please enter a lot number in the search box below.

Product Specific Notices for SLC7A5/LAT1 Antibody (HL2353) - Azide and BSA Free

This product is for research use only and is not approved for use in humans or in clinical diagnosis. Primary Antibodies are guaranteed for 1 year from date of receipt.

Loading...
Loading...
Loading...
Loading...