SLC4A11 Antibody
Novus Biologicals, part of Bio-Techne | Catalog # NBP1-46156
Key Product Details
Species Reactivity
Validated:
Human
Predicted:
Bovine (100%), Canine (100%), Mouse (100%), Rat (100%). Backed by our 100% Guarantee.
Applications
Immunohistochemistry, Immunohistochemistry-Paraffin, Western Blot, Peptide ELISA
Label
Unconjugated
Antibody Source
Polyclonal Goat IgG
Concentration
0.5 mg/ml
Product Specifications
Immunogen
This SLC4A11 Antibody was developed against a peptide with sequence C-HTSRKYLKLKNFKEE corresponding to internal region according to NP_114423.1.
Epitope
internal region
Reactivity Notes
Porcine reactivity reported from a verified customer review.
Clonality
Polyclonal
Host
Goat
Isotype
IgG
Description
Novus Biologicals Goat SLC4A11 Antibody (NBP1-46156) is a polyclonal antibody validated for use in IHC, WB and ELISA. Anti-SLC4A11 Antibody: Cited in 1 publication. All Novus Biologicals antibodies are covered by our 100% guarantee.
Scientific Data Images for SLC4A11 Antibody
Western Blot: SLC4A11 Antibody [NBP1-46156]
Western Blot: SLC4A11 Antibody [NBP1-46156] - Porcine kidney tissue lysates. Lane 1 - 15 ug. Lane 2 - 30 ug. Lane 3 - 60 ug. Antibody at 1:500. Secondary antibody at 1:1000. Western blot image submitted by a verified customer review.Immunohistochemistry-Paraffin: SLC4A11 Antibody [NBP1-46156]
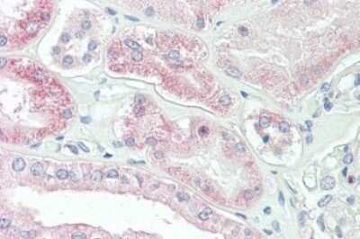
Immunohistochemistry-Paraffin: SLC4A11 Antibody [NBP1-46156] - Staining of paraffin embedded Human Kidney. Antibody at 3.75 ug/mL. Steamed antigen retrieval with citrate buffer pH 6, AP-staining.Western Blot: SLC4A11 Antibody [NBP1-46156]
Western Blot: SLC4A11 Antibody [NBP1-46156] - Staining of Human Kidney lysate (35 ug protein in RIPA buffer). Antibody at 0.3 ug/mL. Primary incubation was 1 hour. Detected by chemiluminescence. Approx 90 kDa band observed in Human Kidney lysates (calculated MW of 99.6 kDa according to NP_114423.1). An additional band of unknown identity was also consistently observed at 26 kDa. This band was successfully blocked by incubation with the immunizing peptide.Applications for SLC4A11 Antibody
Application
Recommended Usage
Immunohistochemistry-Paraffin
3.75 ug/mL
Peptide ELISA
Detection limit 1:32000
Western Blot
0.3 - 1 ug/mL
Reviewed Applications
Read 1 review rated 4 using NBP1-46156 in the following applications:
Formulation, Preparation, and Storage
Purification
Immunogen affinity purified
Formulation
Tris saline (20 mM Tris pH 7.3, 150 mM NaCl), 0.5% BSA
Preservative
0.02% Sodium Azide
Concentration
0.5 mg/ml
Shipping
The product is shipped with polar packs. Upon receipt, store it immediately at the temperature recommended below.
Stability & Storage
Store at -20C. Avoid freeze-thaw cycles.
Background: SLC4A11
Alternate Names
Bicarbonate transporter-related protein 1, BTR1bicarbonate transporter related protein 1, CDPD, CHED2, corneal endothelial dystrophy 2 (autosomal recessive), dJ794I6.2, FECD4, MGC126418, MGC126419, NABC1, sodium bicarbonate transporter-like protein 11, Sodium borate cotransporter 1, sodium-coupled borate cotransporter 1, Solute carrier family 4 member 11, solute carrier family 4, sodium bicarbonate transporter-like, member 11, solute carrier family 4, sodium borate transporter, member 11
Gene Symbol
SLC4A11
UniProt
Additional SLC4A11 Products
Product Documents for SLC4A11 Antibody
Product Specific Notices for SLC4A11 Antibody
This product is for research use only and is not approved for use in humans or in clinical diagnosis. Primary Antibodies are guaranteed for 1 year from date of receipt.
Loading...
Loading...
Loading...
Loading...