SLC28A3 Antibody - BSA Free
Novus Biologicals, part of Bio-Techne | Catalog # NBP1-84418
Key Product Details
Species Reactivity
Human
Applications
Immunohistochemistry, Immunohistochemistry-Paraffin, Western Blot
Label
Unconjugated
Antibody Source
Polyclonal Rabbit IgG
Format
BSA Free
Concentration
Concentrations vary lot to lot. See vial label for concentration. If unlisted please contact technical services.
Product Specifications
Immunogen
This antibody was developed against Recombinant Protein corresponding to amino acids: INCHHVLENAFNSTFPGNTTKVIACCQSLLSSTVAKGPGEVIPGGNHSLYSLKGCCTLLNPSTFNCNGISNT
Clonality
Polyclonal
Host
Rabbit
Isotype
IgG
Description
Novus Biologicals Rabbit SLC28A3 Antibody - BSA Free (NBP1-84418) is a polyclonal antibody validated for use in IHC and WB. All Novus Biologicals antibodies are covered by our 100% guarantee.
Scientific Data Images for SLC28A3 Antibody - BSA Free
Immunohistochemistry: SLC28A3 Antibody [NBP1-84418]
Immunohistochemistry: SLC28A3 Antibody [NBP1-84418] - Staining of human pancreas cryosection (100x). Ducts and acinar cells (but not islets) are strongly labeled. Image from verified customer review.Western Blot: SLC28A3 Antibody - BSA Free [NBP1-84418]
Analysis in control (vector only transfected HEK293T lysate) and SLC28A3 over-expression lysate (Co-expressed with a C-terminal myc-DDK tag (~3.1 kDa) in mammalian HEK293T cells, LY402908).Immunohistochemistry-Paraffin: SLC28A3 Antibody - BSA Free [NBP1-84418]
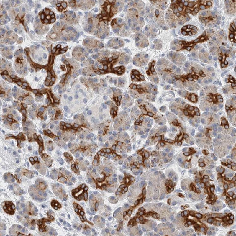
Staining of human pancreas shows strong membranous and cytoplasmic positivity in intercalated duct cells.Applications for SLC28A3 Antibody - BSA Free
Application
Recommended Usage
Immunohistochemistry
1:200 - 1:500
Immunohistochemistry-Paraffin
1:50-1:200
Western Blot
0.04 - 0.4 ug/ml
Application Notes
For IHC-Paraffin, HIER pH 6 retrieval is recommended. Immunocytochemistry/Immunofluorescence Fixation Permeabilization: Use PFA/Triton X-100.
Reviewed Applications
Read 1 review rated 5 using NBP1-84418 in the following applications:
Formulation, Preparation, and Storage
Purification
Affinity purified
Formulation
PBS (pH 7.2) and 40% Glycerol
Format
BSA Free
Preservative
0.02% Sodium Azide
Concentration
Concentrations vary lot to lot. See vial label for concentration. If unlisted please contact technical services.
Shipping
The product is shipped with polar packs. Upon receipt, store it immediately at the temperature recommended below.
Stability & Storage
Store at 4C short term. Aliquot and store at -20C long term. Avoid freeze-thaw cycles.
Background: SLC28A3
Alternate Names
CNT 3, CNT3concentrative Na+-nucleoside cotransporter, Concentrative Na(+)-nucleoside cotransporter 3, hCNT3, solute carrier family 28 (sodium-coupled nucleoside transporter), member 3, solute carrier family 28 member 3
Entrez Gene IDs
64078 (Human)
Gene Symbol
SLC28A3
UniProt
Additional SLC28A3 Products
Product Documents for SLC28A3 Antibody - BSA Free
Product Specific Notices for SLC28A3 Antibody - BSA Free
This product is for research use only and is not approved for use in humans or in clinical diagnosis. Primary Antibodies are guaranteed for 1 year from date of receipt.
Loading...
Loading...
Loading...
Loading...