Skip to main content

SLC25A26 Antibody - BSA Free

Novus Biologicals, part of Bio-Techne | Catalog # NBP1-90881

Novus Biologicals, part of Bio-Techne
Catalog #
Availability
Size / Price
Qty
Loading...
NBP1-90881
NBP1-90881-25ul

Key Product Details

Species Reactivity

Human

Applications

Immunohistochemistry, Immunohistochemistry-Paraffin, Immunocytochemistry/ Immunofluorescence

Label

Unconjugated

Antibody Source

Polyclonal Rabbit IgG

Format

BSA Free

Concentration

Concentrations vary lot to lot. See vial label for concentration. If unlisted please contact technical services.

Product Specifications

Immunogen

This antibody was developed against Recombinant Protein corresponding to amino acids: SAGEVVACLIRVPSEVVKQRAQVSASTRTFQIFSNILYEEGIQGLYRGYKSTVLREIPFSLVQFPLWESLKALWSWRQDHVVDSWQSAVCGAFAGGFAAAVTTPLDVAKTRITLAKAGSSTADGNVLSVLHGV

Reactivity Notes

Immunogen displays the following percentage of sequence identity for non-tested species: Mouse (89%), Rat (89%)

Clonality

Polyclonal

Host

Rabbit

Isotype

IgG

Description

Novus Biologicals Rabbit SLC25A26 Antibody - BSA Free (NBP1-90881) is a polyclonal antibody validated for use in IHC and ICC/IF. All Novus Biologicals antibodies are covered by our 100% guarantee.

Scientific Data Images for SLC25A26 Antibody - BSA Free

Immunocytochemistry/ Immunofluorescence: SLC25A26 Antibody [NBP1-90881]

Immunocytochemistry/ Immunofluorescence: SLC25A26 Antibody [NBP1-90881]

Immunocytochemistry/Immunofluorescence: SLC25A26 Antibody [NBP1-90881] - Staining of human cell line U-2 OS shows positivity in mitochondria. Antibody staining is shown in green.
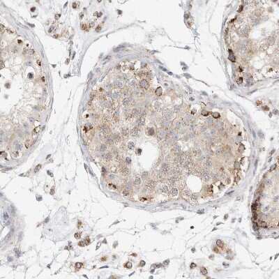
Immunohistochemistry-Paraffin: SLC25A26 Antibody [NBP1-90881]

Immunohistochemistry-Paraffin: SLC25A26 Antibody [NBP1-90881]

Immunohistochemistry-Paraffin: SLC25A26 Antibody [NBP1-90881] - Staining of human testis shows strong granular cytoplasmic positivity in a subset of cells in seminiferous ducts.
Immunohistochemistry-Paraffin: SLC25A26 Antibody [NBP1-90881]

Immunohistochemistry-Paraffin: SLC25A26 Antibody [NBP1-90881]

Immunohistochemistry-Paraffin: SLC25A26 Antibody [NBP1-90881] - Staining of human cerebral cortex shows granular cytoplasmic positivity in neurons.

Applications for SLC25A26 Antibody - BSA Free

Application
Recommended Usage

Immunocytochemistry/ Immunofluorescence

0.25-2 ug/ml

Immunohistochemistry

1:20 - 1:50

Immunohistochemistry-Paraffin

1:20 - 1:50
Application Notes
For IHC-Paraffin, HIER pH 6 retrieval is recommended. ICC/IF Fixation Permeabilization: Use PFA/Triton X-100.

Formulation, Preparation, and Storage

Purification

Affinity purified

Formulation

PBS (pH 7.2) and 40% Glycerol

Format

BSA Free

Preservative

0.02% Sodium Azide

Concentration

Concentrations vary lot to lot. See vial label for concentration. If unlisted please contact technical services.

Shipping

The product is shipped with polar packs. Upon receipt, store it immediately at the temperature recommended below.

Stability & Storage

Store at 4C short term. Aliquot and store at -20C long term. Avoid freeze-thaw cycles.

Background: SLC25A26

Alternate Names

FLJ77340, member 26, mitochondrial S-adenosylmethionine transporter, S-adenosylmethionine mitochondrial carrier protein, SAMC, solute carrier family 25, member 26

Gene Symbol

SLC25A26

Additional SLC25A26 Products

Product Documents for SLC25A26 Antibody - BSA Free

Certificate of Analysis

To download a Certificate of Analysis, please enter a lot number in the search box below.

Product Specific Notices for SLC25A26 Antibody - BSA Free

This product is for research use only and is not approved for use in humans or in clinical diagnosis. Primary Antibodies are guaranteed for 1 year from date of receipt.

Loading...
Loading...
Loading...
Loading...