Skip to main content

SLC25A11 Antibody - BSA Free

Novus Biologicals, part of Bio-Techne | Catalog # NBP3-38512

Novus Biologicals, part of Bio-Techne
Catalog #
Availability
Size / Price
Qty
Loading...
NBP3-38512-20ul
NBP3-38512-100ul

Key Product Details

Species Reactivity

Human, Mouse, Rat

Applications

ELISA, Immunocytochemistry/ Immunofluorescence, Immunohistochemistry, Immunohistochemistry-Paraffin, Western Blot

Label

Unconjugated

Antibody Source

Polyclonal Rabbit IgG

Format

BSA Free

Concentration

Please see the vial label for concentration. If unlisted please contact technical services.

Product Specifications

Immunogen

A synthetic peptide corresponding to a sequence within amino acids 1-100 of human SLC25A11 (NP_003553.2).

Sequence:
MAATASAGAGGIDGKPRTSPKSVKFLFGGLAGMGATVFVQPLDLVKNRMQLSGEGAKTREYKTSFHALTSILKAEGLRGIYTGLSAGLLRQATYTTTRLGIYTVLFERLTGADGTPPGFLLKAVIGMTAGATGAFVGTPAEVALIRMTADGRLPADQRRGYKNVFNALIRITREEGVLTLWRGCIPTMARAVVVNAAQLASYSQSKQFLLDSGYFSDNILCHFCASMISGLVTTAASMPVDIAKTRIQNMRMIDGKPEYKNGLDVLFKVVRYEGFFSLWKGFTPYYARLGPHTVLTFIFLEQMNKAYKRLFLSG

Clonality

Polyclonal

Host

Rabbit

Isotype

IgG

Theoretical MW

34 kDa.
Disclaimer note: The observed molecular weight of the protein may vary from the listed predicted molecular weight due to post translational modifications, post translation cleavages, relative charges, and other experimental factors.

Description

Novus Biologicals Rabbit SLC25A11 Antibody - BSA Free (NBP3-38512) is a polyclonal antibody validated for use in IHC, WB, ELISA and ICC/IF. All Novus Biologicals antibodies are covered by our 100% guarantee.

Scientific Data Images for SLC25A11 Antibody - BSA Free

SLC25A11 Antibody

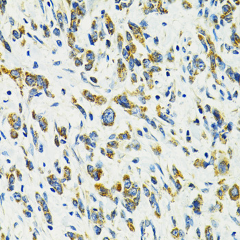
Immunohistochemistry: SLC25A11 Antibody [NBP3-38512] -

Immunohistochemistry: SLC25A11 Antibody [NBP3-38512] - Immunohistochemistry analysis of paraffin-embedded Rat spleen using SLC25A11 Rabbit pAb at dilution of 1:100 (40x lens). Microwave antigen retrieval performed with 0.01M PBS Buffer (pH 7.2) prior to IHC staining.
SLC25A11 Antibody

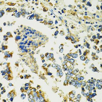
Immunohistochemistry: SLC25A11 Antibody [NBP3-38512] -

Immunohistochemistry: SLC25A11 Antibody [NBP3-38512] - Immunohistochemistry analysis of paraffin-embedded Human colon carcinoma using SLC25A11 Rabbit pAb at dilution of 1:100 (40x lens). Microwave antigen retrieval performed with 0.01M PBS Buffer (pH 7.2) prior to IHC staining.
SLC25A11 Antibody

Immunocytochemistry/ Immunofluorescence: SLC25A11 Antibody [NBP3-38512] -

Immunocytochemistry/ Immunofluorescence: SLC25A11 Antibody [NBP3-38512] - Immunofluorescence analysis of NIH/3T3 cells using SLC25A11 Rabbit pAb at dilution of 1:300 (40x lens). Secondary antibody: Cy3-conjugated Goat anti-Rabbit IgG (H+L) at 1:500 dilution. Blue: DAPI for nuclear staining.

Applications for SLC25A11 Antibody - BSA Free

Application
Recommended Usage

Immunocytochemistry/ Immunofluorescence

1:100 - 1:500

Immunohistochemistry-Paraffin

1:50 - 1:100

Western Blot

1:500 - 1:1000

Formulation, Preparation, and Storage

Purification

Affinity purified

Formulation

PBS (pH 7.3), 50% glycerol

Format

BSA Free

Preservative

0.02% Sodium Azide

Concentration

Please see the vial label for concentration. If unlisted please contact technical services.

Shipping

The product is shipped with polar packs. Upon receipt, store it immediately at the temperature recommended below.

Stability & Storage

Store at -20C. Avoid freeze-thaw cycles.

Background: SLC25A11

SLC25A11 (Solute carrier family 25 member 11) is an oxoglutarate carrier. It catalyzes the transport of 2-oxoglutarate across the inner mitochondrial membrane in an electroneutral exchange for malate or other dicarboxylic acids.

Alternate Names

OGCmitochondrial 2-oxoglutarate/malate carrier protein, OGCP, SLC20A4solute carrier family 20 (oxoglutarate carrier), member 4, solute carrier family 25 (mitochondrial carrier; oxoglutarate carrier), member11, Solute carrier family 25 member 11

Gene Symbol

SLC25A11

Additional SLC25A11 Products

Product Documents for SLC25A11 Antibody - BSA Free

Certificate of Analysis

To download a Certificate of Analysis, please enter a lot number in the search box below.

Product Specific Notices for SLC25A11 Antibody - BSA Free

This product is for research use only and is not approved for use in humans or in clinical diagnosis. Primary Antibodies are guaranteed for 1 year from date of receipt.

Loading...
Loading...
Loading...
Loading...