Skip to main content

SLC22A3 Antibody (1K0A4)

Novus Biologicals, part of Bio-Techne | Catalog # NBP3-15897

Recombinant Monoclonal Antibody
Novus Biologicals, part of Bio-Techne
Catalog #
Availability
Size / Price
Qty
Loading...
NBP3-15897-100ul
NBP3-15897-20ul

Key Product Details

Species Reactivity

Human, Mouse

Applications

Immunohistochemistry, Immunohistochemistry-Paraffin, Western Blot, ELISA

Label

Unconjugated

Antibody Source

Recombinant Monoclonal Rabbit IgG Clone # 1K0A4 expressed in HEK293

Concentration

Please see the vial label for concentration. If unlisted please contact technical services.

Product Specifications

Immunogen

Recombinant fusion protein containing a sequence corresponding to amino acids 301-450 of human SLC22A3 (O75751). GDKALQILRRIAKCNGKYLSSNYSEITVTDEEVSNPSFLDLVRTPQMRKCTLILMFAWFTSAVVYQGLVMRLGIIGGNLYIDFFISGVVELPGALLILLTIERLGRRLPFAASNIVAGVACLVTAFLPEGIAWLRTTVATLGRLGITMAF

Clonality

Monoclonal

Host

Rabbit

Isotype

IgG

Theoretical MW

61 kDa.
Disclaimer note: The observed molecular weight of the protein may vary from the listed predicted molecular weight due to post translational modifications, post translation cleavages, relative charges, and other experimental factors.

Description

Novus Biologicals Rabbit SLC22A3 Antibody (1K0A4) (NBP3-15897) is a recombinant monoclonal antibody validated for use in IHC, WB and ELISA. All Novus Biologicals antibodies are covered by our 100% guarantee.

Scientific Data Images for SLC22A3 Antibody (1K0A4)

Western Blot: SLC22A3 Antibody (1K0A4) [NBP3-15897]

Western Blot: SLC22A3 Antibody (1K0A4) [NBP3-15897]

Western Blot: SLC22A3 Antibody (1K0A4) [NBP3-15897] - Western blot analysis of extracts of various cell lines, using SLC22A3 Rabbit mAb (NBP3-15897) at 1:1000 dilution. Secondary antibody: HRP Goat Anti-Rabbit IgG (H+L) at 1:10000 dilution. Lysates/proteins: 25ug per lane. Blocking buffer: 3% nonfat dry milk in TBST. Detection: ECL Basic Kit. Exposure time: 5s.
Immunohistochemistry-Paraffin: SLC22A3 Antibody (1K0A4) [NBP3-15897]

Immunohistochemistry-Paraffin: SLC22A3 Antibody (1K0A4) [NBP3-15897]

Immunohistochemistry-Paraffin: SLC22A3 Antibody (1K0A4) [NBP3-15897] - Immunohistochemistry of paraffin-embedded mouse kidney using SLC22A3 Rabbit mAb (NBP3-15897) at dilution of 1:100 (40x lens).Perform microwave antigen retrieval with 10 mM Tris/EDTA buffer pH 9.0 before commencing with IHC staining protocol.
Immunohistochemistry-Paraffin: SLC22A3 Antibody (1K0A4) [NBP3-15897]

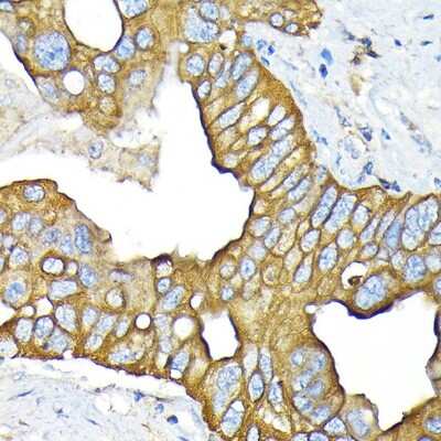
Immunohistochemistry-Paraffin: SLC22A3 Antibody (1K0A4) [NBP3-15897]

Immunohistochemistry-Paraffin: SLC22A3 Antibody (1K0A4) [NBP3-15897] - Immunohistochemistry of paraffin-embedded human liver cancer using SLC22A3 Rabbit mAb (NBP3-15897) at dilution of 1:100 (40x lens).Perform microwave antigen retrieval with 10 mM Tris/EDTA buffer pH 9.0 before commencing with IHC staining protocol.

Applications for SLC22A3 Antibody (1K0A4)

Application
Recommended Usage

ELISA

Recommended starting concentration is 1 μg/mL

Immunohistochemistry

1:50 - 1:200

Western Blot

1:500 - 1:1000

Formulation, Preparation, and Storage

Purification

Affinity purified

Formulation

PBS (pH 7.3), 50% glycerol, 0.05% BSA

Preservative

0.02% Sodium Azide

Concentration

Please see the vial label for concentration. If unlisted please contact technical services.

Shipping

The product is shipped with polar packs. Upon receipt, store it immediately at the temperature recommended below.

Stability & Storage

Store at -20C. Avoid freeze-thaw cycles.

Background: SLC22A3

SLC22A3 - solute carrier family 22 (extraneuronal monoamine transporter), member 3

Long Name

Solute carrier family 22 member 3

Alternate Names

EMTH, OCT3

Gene Symbol

SLC22A3

Additional SLC22A3 Products

Product Documents for SLC22A3 Antibody (1K0A4)

Certificate of Analysis

To download a Certificate of Analysis, please enter a lot number in the search box below.

Product Specific Notices for SLC22A3 Antibody (1K0A4)

This product is for research use only and is not approved for use in humans or in clinical diagnosis. Primary Antibodies are guaranteed for 1 year from date of receipt.

Loading...
Loading...
Loading...
Loading...