Skip to main content

SLC10A5 Antibody - BSA Free

Novus Biologicals, part of Bio-Techne | Catalog # NBP1-59707

Novus Biologicals, part of Bio-Techne
Catalog #
Availability
Size / Price
Qty
Loading...
NBP1-59707

Key Product Details

Species Reactivity

Human

Applications

Immunohistochemistry, Immunohistochemistry-Paraffin, Western Blot

Label

Unconjugated

Antibody Source

Polyclonal Rabbit IgG

Format

BSA Free

Concentration

1 mg/ml

Product Specifications

Immunogen

Synthetic peptides corresponding to SLC10A5(solute carrier family 10 (sodium/bile acid cotransporter family), member 5) The peptide sequence was selected from the C terminal of SLC10A5. Peptide sequence GYSFAKVCTLPLPVCKTVAIESGMLNSFLALAVIQLSFPQSKANLASVAP The peptide sequence for this immunogen was taken from within the described region.

Clonality

Polyclonal

Host

Rabbit

Isotype

IgG

Theoretical MW

48 kDa.
Disclaimer note: The observed molecular weight of the protein may vary from the listed predicted molecular weight due to post translational modifications, post translation cleavages, relative charges, and other experimental factors.

Description

The addition of 50% glycerol is optional for those storing this antibody at -20C and not aliquoting smaller units. However, please note that glycerol may interrupt some downstream antibody applications and should be added with caution.

Scientific Data Images for SLC10A5 Antibody - BSA Free

Western Blot: SLC10A5 Antibody [NBP1-59707]

Western Blot: SLC10A5 Antibody [NBP1-59707]

Western Blot: SLC10A5 Antibody [NBP1-59707] - Titration: 1.25ug/ml Positive Control: Jurkat cell lysate.
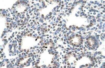
Immunohistochemistry-Paraffin: SLC10A5 Antibody [NBP1-59707]

Immunohistochemistry-Paraffin: SLC10A5 Antibody [NBP1-59707]

Immunohistochemistry-Paraffin: SLC10A5 Antibody [NBP1-59707] - Human Lung Alveolar cells (indicated with arrows), 4-8ug/ml.

Applications for SLC10A5 Antibody - BSA Free

Application
Recommended Usage

Immunohistochemistry

1:10-1:500

Immunohistochemistry-Paraffin

1:10-1:500

Western Blot

1.0 ug/ml

Formulation, Preparation, and Storage

Purification

Protein A purified

Formulation

PBS, 2% Sucrose

Format

BSA Free

Preservative

0.09% Sodium Azide

Concentration

1 mg/ml

Shipping

The product is shipped with polar packs. Upon receipt, store it immediately at the temperature recommended below.

Stability & Storage

Store at 4C short term. Aliquot and store at -20C long term. Avoid freeze-thaw cycles.

Background: SLC10A5

SLC10A5 is a new member of Solute Carrier Family 10 (SLC10) and the function remains unknown.

Alternate Names

Na(+)/bile acid cotransporter 5, P5, sodium/bile acid cotransporter 5, solute carrier family 10 (sodium/bile acid cotransporter family), member 5, Solute carrier family 10 member 5

Gene Symbol

SLC10A5

UniProt

Additional SLC10A5 Products

Product Documents for SLC10A5 Antibody - BSA Free

Certificate of Analysis

To download a Certificate of Analysis, please enter a lot number in the search box below.

Product Specific Notices for SLC10A5 Antibody - BSA Free

This product is for research use only and is not approved for use in humans or in clinical diagnosis. Primary Antibodies are guaranteed for 1 year from date of receipt.

Loading...
Loading...
Loading...
Loading...