Skip to main content

SIRT7 Antibody (1E2G10) - BSA Free

Novus Biologicals, part of Bio-Techne | Catalog # NBP2-52565

Novus Biologicals, part of Bio-Techne
Catalog #
Availability
Size / Price
Qty
Loading...
NBP2-52565-0.025mg
NBP2-52565

Key Product Details

Species Reactivity

Human

Applications

Immunohistochemistry, Immunohistochemistry-Paraffin, Western Blot, ELISA, CyTOF-ready

Label

Unconjugated

Antibody Source

Monoclonal Mouse IgG1 Clone # 1E2G10

Format

BSA Free

Concentration

1 mg/ml

Product Specifications

Immunogen

Purified recombinant fragment of human SIRT7 (AA: 1-105) expressed in E. Coli.

Clonality

Monoclonal

Host

Mouse

Isotype

IgG1

Theoretical MW

44.9 kDa.
Disclaimer note: The observed molecular weight of the protein may vary from the listed predicted molecular weight due to post translational modifications, post translation cleavages, relative charges, and other experimental factors.

Description

Novus Biologicals Mouse SIRT7 Antibody (1E2G10) - BSA Free (NBP2-52565) is a monoclonal antibody validated for use in IHC, WB and ELISA. All Novus Biologicals antibodies are covered by our 100% guarantee.

Scientific Data Images for SIRT7 Antibody (1E2G10) - BSA Free

Western Blot: SIRT7 Antibody (1E2G10)BSA Free [NBP2-52565]

Western Blot: SIRT7 Antibody (1E2G10)BSA Free [NBP2-52565]

Western Blot: SIRT7 Antibody (1E2G10) [NBP2-52565] - Analysis using SIRT7 mAb against human SIRT7 (AA: 1-105) recombinant protein. (Expected MW is 38 kDa)
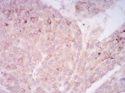
Immunohistochemistry-Paraffin: SIRT7 Antibody (1E2G10) - BSA Free [NBP2-52565]

Immunohistochemistry-Paraffin: SIRT7 Antibody (1E2G10) - BSA Free [NBP2-52565]

Immunohistochemistry-Paraffin: SIRT7 Antibody (1E2G10) [NBP2-52565] - Analysis of paraffin-embedded ovarian cancer tissues using SIRT7 mouse mAb with DAB staining.
Western Blot: SIRT7 Antibody (1E2G10)BSA Free [NBP2-52565]

Western Blot: SIRT7 Antibody (1E2G10)BSA Free [NBP2-52565]

Western Blot: SIRT7 Antibody (1E2G10) [NBP2-52565] - Analysis using SIRT7 mAb against HEK293 (1) and SIRT7 (AA: 1-105)-hIgGFc transfected HEK293 (2) cell lysate.

Applications for SIRT7 Antibody (1E2G10) - BSA Free

Application
Recommended Usage

ELISA

1:10000

Immunohistochemistry

1:200-1:1000

Immunohistochemistry-Paraffin

1:200-1:1000

Western Blot

1:500-1:2000
Application Notes
This antibody is Cytof ready.

Formulation, Preparation, and Storage

Purification

Protein G purified

Formulation

PBS

Format

BSA Free

Preservative

0.05% Sodium Azide

Concentration

1 mg/ml

Shipping

The product is shipped with polar packs. Upon receipt, store it immediately at the temperature recommended below.

Stability & Storage

Store at 4C short term. Aliquot and store at -20C long term. Avoid freeze-thaw cycles.

Background: Sirtuin 7/SIRT7

SIRT7 is a member of the sirtuin family of proteins, homologs to the yeast Sir2 protein. Members of the sirtuin family are characterized by a sirtuin core domain and grouped into four classes. SIRT7 is included in class IV. The functions of human sirtuins have not yet been determined; however, yeast sirtuin proteins are known to regulate epigenetic gene silencing and suppress recombination of rDNA. Studies suggest that the human sirtuins may function as intracellular regulatory proteins with mono-ADP-ribosyltransferase activity. SIRT7 is included in class IV of the sirtuin family.

Long Name

NAD-Dependent Protein Deacetylase Sirtuin-7

Alternate Names

SIR2L7

Gene Symbol

SIRT7

Additional Sirtuin 7/SIRT7 Products

Product Documents for SIRT7 Antibody (1E2G10) - BSA Free

Certificate of Analysis

To download a Certificate of Analysis, please enter a lot number in the search box below.

Product Specific Notices for SIRT7 Antibody (1E2G10) - BSA Free

This product is for research use only and is not approved for use in humans or in clinical diagnosis. Primary Antibodies are guaranteed for 1 year from date of receipt.

Loading...
Loading...
Loading...
Loading...