Skip to main content

SIPA1L2 Antibody - BSA Free

Novus Biologicals, part of Bio-Techne | Catalog # NBP1-81412

Novus Biologicals, part of Bio-Techne
Catalog #
Availability
Size / Price
Qty
Loading...
NBP1-81412
NBP1-81412-25ul

Key Product Details

Species Reactivity

Human

Applications

Immunohistochemistry, Immunohistochemistry-Paraffin, Western Blot

Label

Unconjugated

Antibody Source

Polyclonal Rabbit IgG

Format

BSA Free

Concentration

Concentrations vary lot to lot. See vial label for concentration. If unlisted please contact technical services.

Product Specifications

Immunogen

This antibody was developed against Recombinant Protein corresponding to amino acids: QQVPGSMSKPYHRQGAVNKYVIGWKKSEGSPPPEEPEVTECPGMYSEMDVMSTATQHQTVVGDAVAETQHVLSKEDFLKLMLPD

Reactivity Notes

Immunogen displays the following percentage of sequence identity for non-tested species: Mouse (83%), Rat (82%)

Clonality

Polyclonal

Host

Rabbit

Isotype

IgG

Scientific Data Images for SIPA1L2 Antibody - BSA Free

Western Blot: SIPA1L2 Antibody [NBP1-81412]

Western Blot: SIPA1L2 Antibody [NBP1-81412]

Western Blot: SIPA1L2 Antibody [NBP1-81412] - Lane 1: Marker [kDa] 230, 130, 95, 72, 56, 36, 28, 17, 11 Lane 2: Human cell line RT-4 Lane 3: Human cell line U-251MG sp Lane 4: Human plasma (IgG/HSA depleted)
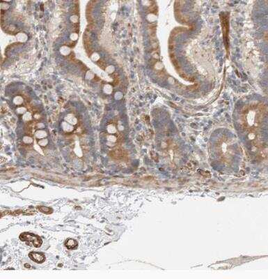
Immunohistochemistry-Paraffin: SIPA1L2 Antibody [NBP1-81412]

Immunohistochemistry-Paraffin: SIPA1L2 Antibody [NBP1-81412]

Immunohistochemistry-Paraffin: SIPA1L2 Antibody [NBP1-81412] - Staining of human duodenum shows moderate cytoplasmic positivity in glandular cells.

Applications for SIPA1L2 Antibody - BSA Free

Application
Recommended Usage

Immunohistochemistry

1:50 - 1:200

Immunohistochemistry-Paraffin

1:50 - 1:200

Western Blot

0.04-0.4 ug/ml
Application Notes
For IHC-Paraffin, HIER pH 6 retrieval is recommended.

Formulation, Preparation, and Storage

Purification

Affinity purified

Formulation

PBS (pH 7.2) and 40% Glycerol

Format

BSA Free

Preservative

0.02% Sodium Azide

Concentration

Concentrations vary lot to lot. See vial label for concentration. If unlisted please contact technical services.

Shipping

The product is shipped with polar packs. Upon receipt, store it immediately at the temperature recommended below.

Stability & Storage

Store at 4C short term. Aliquot and store at -20C long term. Avoid freeze-thaw cycles.

Background: SIPA1L2

Alternate Names

FLJ23632, signal-induced proliferation-associated 1 like 2, signal-induced proliferation-associated 1-like protein 2, SIPA1-like protein 2, SPA-1-like 2, SPAL2

Gene Symbol

SIPA1L2

Additional SIPA1L2 Products

Product Documents for SIPA1L2 Antibody - BSA Free

Certificate of Analysis

To download a Certificate of Analysis, please enter a lot number in the search box below.

Product Specific Notices for SIPA1L2 Antibody - BSA Free

This product is for research use only and is not approved for use in humans or in clinical diagnosis. Primary Antibodies are guaranteed for 1 year from date of receipt.

Loading...
Loading...
Loading...
Loading...