Skip to main content

SIPA1 Antibody - BSA Free

Novus Biologicals, part of Bio-Techne | Catalog # NBP2-32620

Novus Biologicals, part of Bio-Techne
Catalog #
Availability
Size / Price
Qty
Loading...
NBP2-32620
NBP2-32620-25ul

Key Product Details

Validated by

Orthogonal Validation

Species Reactivity

Human

Applications

Immunohistochemistry, Immunohistochemistry-Paraffin, Immunocytochemistry/ Immunofluorescence

Label

Unconjugated

Antibody Source

Polyclonal Rabbit IgG

Format

BSA Free

Concentration

Concentrations vary lot to lot. See vial label for concentration. If unlisted please contact technical services.

Product Specifications

Immunogen

This antibody was developed against a recombinant protein corresponding to amino acids: SPSGSEDKGNPAPELRASFLPRTLSLRNSISRIMSEAGSGTLEDEWQAISEIASTCNTILESLSREGQPIPESGDPKGTPKSDAEPEPGNLSEKVSHLESM

Reactivity Notes

Immunogen displays the following percentage of sequence identity for non-tested species: Mouse (82%), Rat (82%)

Clonality

Polyclonal

Host

Rabbit

Isotype

IgG

Description

Novus Biologicals Rabbit SIPA1 Antibody - BSA Free (NBP2-32620) is a polyclonal antibody validated for use in IHC and ICC/IF. All Novus Biologicals antibodies are covered by our 100% guarantee.

Scientific Data Images for SIPA1 Antibody - BSA Free

Immunohistochemistry-Paraffin: SIPA1 Antibody [NBP2-32620]

Immunohistochemistry-Paraffin: SIPA1 Antibody [NBP2-32620]

Immunohistochemistry-Paraffin: SIPA1 Antibody [NBP2-32620] - Staining in human tonsil and pancreas tissues using anti-SIPA1 antibody. Corresponding SIPA1 RNA-seq data are presented for the same tissues.
Immunocytochemistry/ Immunofluorescence: SIPA1 Antibody [NBP2-32620]

Immunocytochemistry/ Immunofluorescence: SIPA1 Antibody [NBP2-32620]

Immunocytochemistry/Immunofluorescence: SIPA1 Antibody [NBP2-32620] - Immunofluorescent staining of human cell line PC-3 shows localization to nucleoli & plasma membrane.
Immunohistochemistry-Paraffin: SIPA1 Antibody [NBP2-32620]

Immunohistochemistry-Paraffin: SIPA1 Antibody [NBP2-32620]

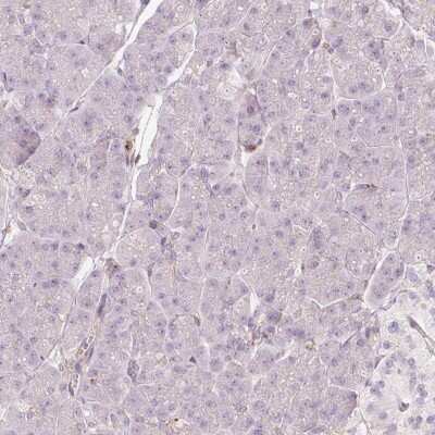
Immunohistochemistry-Paraffin: SIPA1 Antibody [NBP2-32620] - Staining of human pancreas shows low expression as expected.

Applications for SIPA1 Antibody - BSA Free

Application
Recommended Usage

Immunocytochemistry/ Immunofluorescence

0.25-2 ug/ml

Immunohistochemistry

1:200 - 1:500

Immunohistochemistry-Paraffin

1:200 - 1:500
Application Notes
For IHC-Paraffin, HIER pH 6 retrieval is recommended. ICC/IF, Fixation Permeabilization: Use PFA/Triton X-100.

Formulation, Preparation, and Storage

Purification

Affinity purified

Formulation

PBS (pH 7.2) and 40% Glycerol

Format

BSA Free

Preservative

0.02% Sodium Azide

Concentration

Concentrations vary lot to lot. See vial label for concentration. If unlisted please contact technical services.

Shipping

The product is shipped with polar packs. Upon receipt, store it immediately at the temperature recommended below.

Stability & Storage

Store at 4C short term. Aliquot and store at -20C long term. Avoid freeze-thaw cycles.

Background: SIPA1

The product of this gene is a mitogen induced GTPase activating protein (GAP). It exhibits a specific GAP activity for Ras-related regulatory proteins Rap1 and Rap2, but not for Ran or other small GTPases. This protein may also hamper mitogen-induced cell cycle progression when abnormally or prematurely expressed. It is localized to the perinuclear region. Two alternatively spliced variants encoding the same isoform have been characterized to date. [provided by RefSeq]

Alternate Names

GTPase-activating protein Spa-1, MGC102688, MGC17037, p130 SPA-1, signal-induced proliferation-associated 1, signal-induced proliferation-associated protein 1, Sipa-1, SPA1signal-induced proliferation-associated gene 1

Gene Symbol

SIPA1

Additional SIPA1 Products

Product Documents for SIPA1 Antibody - BSA Free

Certificate of Analysis

To download a Certificate of Analysis, please enter a lot number in the search box below.

Product Specific Notices for SIPA1 Antibody - BSA Free

This product is for research use only and is not approved for use in humans or in clinical diagnosis. Primary Antibodies are guaranteed for 1 year from date of receipt.

Loading...
Loading...
Loading...
Loading...