Skip to main content

Sin1/MAPKAP1 Antibody - BSA Free

Novus Biologicals, part of Bio-Techne | Catalog # NB110-40424

Novus Biologicals, part of Bio-Techne

Key Product Details

Species Reactivity

Validated:

Human

Cited:

Human

Predicted:

Bovine (100%), Chicken (100%), Mouse (100%), Primate (100%), Rat (100%), Sheep (100%). Backed by our 100% Guarantee.

Applications

Validated:

Immunohistochemistry, Immunohistochemistry-Paraffin, Western Blot, Immunoprecipitation

Cited:

Western Blot, IF/IHC

Label

Unconjugated

Antibody Source

Polyclonal Rabbit IgG

Format

BSA Free

Concentration

1.0 mg/ml

Product Specifications

Immunogen

The immunogen recognized by this antibody maps to a region between residue 470 and the C-terminus (residue 522) of human stress-activated map kinase interacting protein 1 using the numbering given in entry NP_001006618.1 (GeneID 79109).

Reactivity Notes

Orangutan (100%).

Clonality

Polyclonal

Host

Rabbit

Isotype

IgG

Theoretical MW

59 kDa.
Disclaimer note: The observed molecular weight of the protein may vary from the listed predicted molecular weight due to post translational modifications, post translation cleavages, relative charges, and other experimental factors.

Scientific Data Images for Sin1/MAPKAP1 Antibody - BSA Free

Western Blot: Sin1/MAPKAP1 Antibody [NB110-40424]

Western Blot: Sin1/MAPKAP1 Antibody [NB110-40424]

Sin1-MAPKAP1-Antibody-Western-Blot-NB110-40424-img0010.jpg
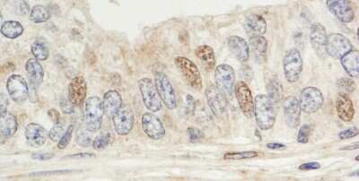
Immunohistochemistry-Paraffin: Sin1/MAPKAP1 Antibody [NB110-40424]

Immunohistochemistry-Paraffin: Sin1/MAPKAP1 Antibody [NB110-40424]

Immunohistochemistry-Paraffin: Sin1/MAPKAP1 Antibody [NB110-40424] - Section of human prostate carcinoma. Antibody: Affinity purified rabbit anti- Sin1 used at a dilution of 1:1,000 (1ug/ml). Detection: DAB
Western Blot: Sin1/MAPKAP1 Antibody [NB110-40424]

Western Blot: Sin1/MAPKAP1 Antibody [NB110-40424]

Western Blot: Sin1/MAPKAP1 Antibody [NB110-40424] - Detection of Human Sin1 on HeLa whole cell lysate.

Applications for Sin1/MAPKAP1 Antibody - BSA Free

Application
Recommended Usage

Immunohistochemistry

1:1000 - 1:5000

Immunohistochemistry-Paraffin

1:1000-1:5000

Immunoprecipitation

2-5 ug/mg lysate

Western Blot

1:2000-1:10000
Application Notes
Epitope retrieval with citrate buffer pH6.0 is recommended for FFPE tissue sections.

Formulation, Preparation, and Storage

Purification

Immunogen affinity purified

Formulation

Tris-Citrate/Phosphate (pH 7.0 - 8.0)

Format

BSA Free

Preservative

0.09% Sodium Azide

Concentration

1.0 mg/ml

Shipping

The product is shipped with polar packs. Upon receipt, store it immediately at the temperature recommended below.

Stability & Storage

Store at 4C. Do not freeze.

Background: Sin1/MAPKAP1

Sin1 is a novel component of the eukaryotic SAPK pathway. Sin1 and the H3 and H4 histones interact genetically, with the C terminus of Sin1 physically associating with components of the SWI-SNF complex. This interaction is blocked by the N-terminal half of the protein in full length Sin1. It has been proposed that Sin1 acts as a regulatable bridge between the SWI-SNF complex and the nucleosome Sin1 is also required for effective transcription via the AP-1 factor Pap1, but does not prevent its nuclear translocation. Sin1 is a novel component of the eukaryotic SAPK pathway.

Long Name

Mitogen-Activated Protein Kinase Associated Protein 1

Alternate Names

JC310, MAPKAP1, MIP1

Entrez Gene IDs

79109 (Human); 227743 (Mouse)

Gene Symbol

MAPKAP1

UniProt

Additional Sin1/MAPKAP1 Products

Product Documents for Sin1/MAPKAP1 Antibody - BSA Free

Certificate of Analysis

To download a Certificate of Analysis, please enter a lot number in the search box below.

Product Specific Notices for Sin1/MAPKAP1 Antibody - BSA Free

This product is for research use only and is not approved for use in humans or in clinical diagnosis. Primary Antibodies are guaranteed for 1 year from date of receipt.

Loading...
Loading...
Loading...
Loading...