Skip to main content

SIGIRR Antibody (HL2008) - Azide and BSA Free

Novus Biologicals, part of Bio-Techne | Catalog # NBP3-25681

Recombinant Monoclonal Antibody
Novus Biologicals, part of Bio-Techne
Catalog #
Availability
Size / Price
Qty
Loading...
NBP3-25681

Key Product Details

Validated by

Orthogonal Validation

Species Reactivity

Human, Mouse, Rat

Applications

Immunohistochemistry, Immunohistochemistry-Paraffin, Western Blot

Label

Unconjugated

Antibody Source

Recombinant Monoclonal Rabbit IgG Clone # HL2008 expressed in HEK293

Format

Azide and BSA Free

Concentration

Concentrations vary lot to lot. See vial label for concentration. If unlisted please contact technical services.

Product Specifications

Immunogen

Recombinant fragment of human SIGIRR

Clonality

Monoclonal

Host

Rabbit

Isotype

IgG

Description

Novus Biologicals Rabbit SIGIRR Antibody (HL2008) - Azide and BSA Free (NBP3-25681) is a recombinant monoclonal antibody validated for use in IHC and WB. All Novus Biologicals antibodies are covered by our 100% guarantee.

Scientific Data Images for SIGIRR Antibody (HL2008) - Azide and BSA Free

SIGIRR Antibody (HL2008) - Azide and BSA Free

Western Blot: SIGIRR Antibody (HL2008) - Azide and BSA Free [NBP3-25681] -

Western Blot: SIGIRR Antibody (HL2008) - Azide and BSA Free [NBP3-25681] - Various whole cell extracts (30 ug) were separated by 10% SDS-PAGE, and the membrane was blotted with SIGIRR antibody [HL2008] (NBP3-25681) diluted at 1:1000. The HRP-conjugated anti-rabbit IgG antibody was used to detect the primary antibody. Corresponding RNA expression data for the same cell lines are based on Human Protein Atlas program.
SIGIRR Antibody (HL2008) - Azide and BSA Free

Immunohistochemistry-Paraffin: SIGIRR Antibody (HL2008) - Azide and BSA Free [NBP3-25681] -

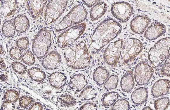
Immunohistochemistry-Paraffin: SIGIRR Antibody (HL2008) - Azide and BSA Free [NBP3-25681] - SIGIRR antibody [HL2008] detects secreted SIGIRR protein by immunohistochemical analysis. Sample: Paraffin-embedded mouse colon. SIGIRR stained by SIGIRR antibody [HL2008] (NBP3-25681) diluted at 1:100. Antigen Retrieval: Citrate buffer, pH 6.0, 15 min
SIGIRR Antibody (HL2008) - Azide and BSA Free

Immunohistochemistry-Paraffin: SIGIRR Antibody (HL2008) - Azide and BSA Free [NBP3-25681] -

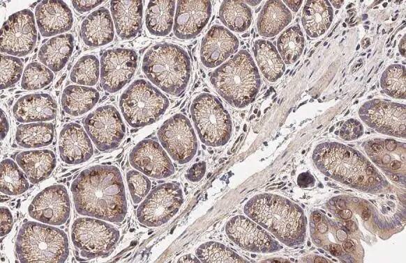
Immunohistochemistry-Paraffin: SIGIRR Antibody (HL2008) - Azide and BSA Free [NBP3-25681] - SIGIRR antibody [HL2008] detects SIGIRR protein by immunohistochemical analysis. Sample: Paraffin-embedded rat colon. SIGIRR stained by SIGIRR antibody [HL2008] (NBP3-25681) diluted at 1:200. Antigen Retrieval: Citrate buffer, pH 6.0, 15 min

Applications for SIGIRR Antibody (HL2008) - Azide and BSA Free

Application
Recommended Usage

Immunohistochemistry

Assay dependent

Immunohistochemistry-Paraffin

Assay dependent

Western Blot

1:500-1:3000

Formulation, Preparation, and Storage

Purification

Protein A purified

Formulation

PBS

Format

Azide and BSA Free

Preservative

No Preservative

Concentration

Concentrations vary lot to lot. See vial label for concentration. If unlisted please contact technical services.

Shipping

The product is shipped with polar packs. Upon receipt, store it immediately at the temperature recommended below.

Stability & Storage

Store at 4C short term. Aliquot and store at -20C long term. Avoid freeze-thaw cycles.

Background: SIGIRR

SIGIRR is a member of the Toll-like receptor-interleukin 1 receptor superfamily. Members of this family are defined by the presence of an intracellular Toll-IL-1R (TIR) domain. The Toll-like receptors (TLRs) are signaling molecules that recognize different microbial products during infection and serve as an important link between the innate and adaptive immune responses. SIGIRR was originally identified through database analysis and was shown to have only one Ig domain as opposed to the normal three Ig folds seen in the TIR family. Similar to ST2, another TIR family member, it has been shown to negatively regulate IL-1 receptor and Toll-like receptor signaling. However, SIGIRR inhibits TLR-IL-1R signaling by dimerizing with TLR4, TLR5, TLR9, and IL-1R. It also associates with the down-stream TLR signaling proteins IRAK and TRAF6 in an IL-1-dependent fashion.

Long Name

Single lg IL-1 Related Protein

Alternate Names

IL-1R8, TIR8

Gene Symbol

SIGIRR

Additional SIGIRR Products

Product Documents for SIGIRR Antibody (HL2008) - Azide and BSA Free

Certificate of Analysis

To download a Certificate of Analysis, please enter a lot number in the search box below.

Product Specific Notices for SIGIRR Antibody (HL2008) - Azide and BSA Free

This product is for research use only and is not approved for use in humans or in clinical diagnosis. Primary Antibodies are guaranteed for 1 year from date of receipt.

Loading...
Loading...
Loading...
Loading...