Skip to main content

SH3BGR Antibody - BSA Free

Novus Biologicals, part of Bio-Techne | Catalog # NBP3-45366

Novus Biologicals, part of Bio-Techne
Catalog #
Availability
Size / Price
Qty
Loading...
NBP3-45366

Key Product Details

Species Reactivity

Human, Mouse

Applications

Immunohistochemistry, Western Blot, ELISA

Label

Unconjugated

Antibody Source

Polyclonal Rabbit IgG

Format

BSA Free

Concentration

Please see the vial label for concentration. If unlisted please contact technical services.

Product Specifications

Immunogen

SH3 domain binding glutamic acid-rich protein. (Uniprot# P55822)

Clonality

Polyclonal

Host

Rabbit

Isotype

IgG

Description

Novus Biologicals Rabbit SH3BGR Antibody - BSA Free (NBP3-45366) is a polyclonal antibody validated for use in IHC, WB and ELISA. All Novus Biologicals antibodies are covered by our 100% guarantee.

Scientific Data Images for SH3BGR Antibody - BSA Free

SH3BGR Antibody - BSA Free

Western Blot: SH3BGR Antibody - BSA Free [NBP3-45366] -

Western Blot: SH3BGR Antibody - BSA Free [NBP3-45366] - Mouse heart tissue were subjected to SDS PAGE followed by western blot with (SH3BGR Antibody) at dilution of 1:1000
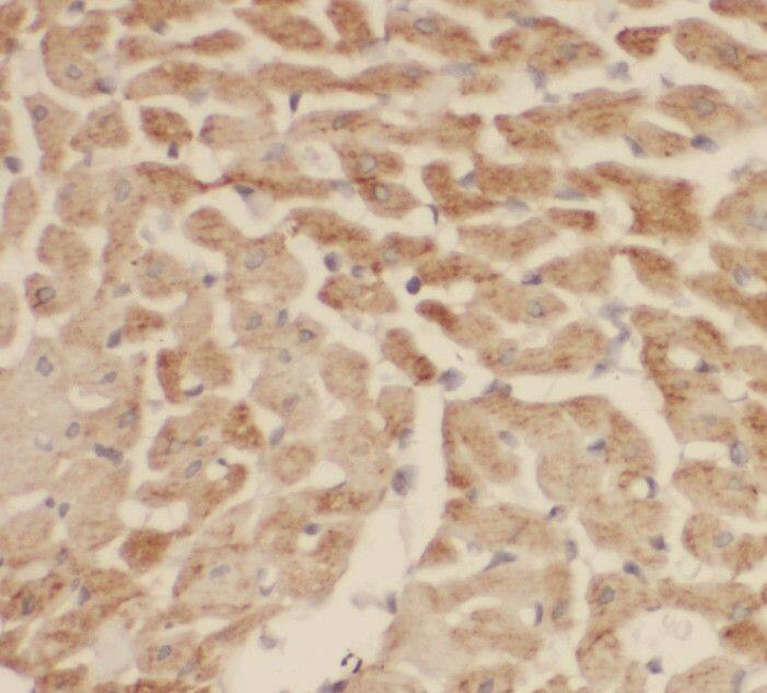
SH3BGR Antibody - BSA Free

Immunohistochemistry: SH3BGR Antibody - BSA Free [NBP3-45366] -

Immunohistochemistry: SH3BGR Antibody - BSA Free [NBP3-45366] - Immunohistochemistry of paraffin-embedded human heart tissue slide using (SH3BGR Antibody) at dilution of 1:50

Applications for SH3BGR Antibody - BSA Free

Application
Recommended Usage

Immunohistochemistry

1:20-1:200

Western Blot

1:500-1:2000
Application Notes
Theoretical Molecular Weight is 26-30 kDa

Formulation, Preparation, and Storage

Purification

Immunogen affinity purified

Formulation

PBS, 50% Glycerol, pH (7.3)

Format

BSA Free

Preservative

0.02% Sodium Azide

Concentration

Please see the vial label for concentration. If unlisted please contact technical services.

Shipping

The product is shipped with polar packs. Upon receipt, store it immediately at the temperature recommended below.

Stability & Storage

Store at -20C. Avoid freeze-thaw cycles.

Background: SH3BGR

Alternate Names

21-GARP21-glutamic acid-rich protein, 21-Glutamic Acid-Rich Protein (21-GARP)10SH3-binding domain and glutamic acid-rich protein, SH3 domain binding glutamic acid-rich protein, SH3 domain-binding glutamic acid-rich protein, SH3BGR protein, SH3GBR

Gene Symbol

SH3BGR

Additional SH3BGR Products

Product Documents for SH3BGR Antibody - BSA Free

Certificate of Analysis

To download a Certificate of Analysis, please enter a lot number in the search box below.

Product Specific Notices for SH3BGR Antibody - BSA Free

This product is for research use only and is not approved for use in humans or in clinical diagnosis. Primary Antibodies are guaranteed for 1 year from date of receipt.

Loading...
Loading...
Loading...
Loading...