Skip to main content

SH3BGR Antibody - BSA Free

Novus Biologicals, part of Bio-Techne | Catalog # NBP2-38161

Novus Biologicals, part of Bio-Techne
Catalog #
Availability
Size / Price
Qty
Loading...
NBP2-38161
NBP2-38161-25ul

Key Product Details

Validated by

Orthogonal Validation

Species Reactivity

Human

Applications

Immunohistochemistry, Immunohistochemistry-Paraffin

Label

Unconjugated

Antibody Source

Polyclonal Rabbit IgG

Format

BSA Free

Concentration

Concentrations vary lot to lot. See vial label for concentration. If unlisted please contact technical services.

Product Specifications

Immunogen

This antibody was developed against a recombinant protein corresponding to amino acids: MPLLLLGETEPLKLERDCRSPVDPWAAASPDLALACLCHCQDLSSGAFPDRGVL

Clonality

Polyclonal

Host

Rabbit

Isotype

IgG

Description

Novus Biologicals Rabbit SH3BGR Antibody - BSA Free (NBP2-38161) is a polyclonal antibody validated for use in IHC. All Novus Biologicals antibodies are covered by our 100% guarantee.

Scientific Data Images for SH3BGR Antibody - BSA Free

Immunohistochemistry-Paraffin: SH3BGR Antibody [NBP2-38161]

Immunohistochemistry-Paraffin: SH3BGR Antibody [NBP2-38161]

Immunohistochemistry-Paraffin: SH3BGR Antibody [NBP2-38161] - Staining of human skin shows low expression as expected.
Immunohistochemistry-Paraffin: SH3BGR Antibody [NBP2-38161]

Immunohistochemistry-Paraffin: SH3BGR Antibody [NBP2-38161]

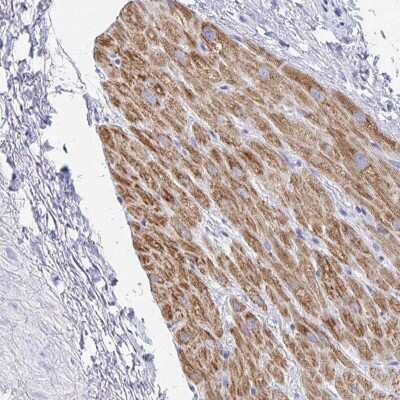
Immunohistochemistry-Paraffin: SH3BGR Antibody [NBP2-38161] - Staining of human heart muscle shows high expression.
Immunohistochemistry-Paraffin: SH3BGR Antibody [NBP2-38161]

Immunohistochemistry-Paraffin: SH3BGR Antibody [NBP2-38161]

Immunohistochemistry-Paraffin: SH3BGR Antibody [NBP2-38161] - Staining in human heart muscle and skin tissues using anti-SH3BGR antibody. Corresponding SH3BGR RNA-seq data are presented for the same tissues.

Applications for SH3BGR Antibody - BSA Free

Application
Recommended Usage

Immunohistochemistry

1:50 - 1:200

Immunohistochemistry-Paraffin

1:50 - 1:200
Application Notes
For IHC-Paraffin, HIER pH 6 retrieval is recommended.

Formulation, Preparation, and Storage

Purification

Affinity purified

Formulation

PBS (pH 7.2) and 40% Glycerol

Format

BSA Free

Preservative

0.02% Sodium Azide

Concentration

Concentrations vary lot to lot. See vial label for concentration. If unlisted please contact technical services.

Shipping

The product is shipped with polar packs. Upon receipt, store it immediately at the temperature recommended below.

Stability & Storage

Store at 4C short term. Aliquot and store at -20C long term. Avoid freeze-thaw cycles.

Background: SH3BGR

Alternate Names

21-GARP21-glutamic acid-rich protein, 21-Glutamic Acid-Rich Protein (21-GARP)10SH3-binding domain and glutamic acid-rich protein, SH3 domain binding glutamic acid-rich protein, SH3 domain-binding glutamic acid-rich protein, SH3BGR protein, SH3GBR

Gene Symbol

SH3BGR

UniProt

Additional SH3BGR Products

Product Documents for SH3BGR Antibody - BSA Free

Certificate of Analysis

To download a Certificate of Analysis, please enter a lot number in the search box below.

Product Specific Notices for SH3BGR Antibody - BSA Free

This product is for research use only and is not approved for use in humans or in clinical diagnosis. Primary Antibodies are guaranteed for 1 year from date of receipt.

Loading...
Loading...
Loading...
Loading...