Skip to main content

SH2D4A Antibody - BSA Free

Novus Biologicals, part of Bio-Techne | Catalog # NBP1-82158

Novus Biologicals, part of Bio-Techne
Catalog #
Availability
Size / Price
Qty
Loading...
NBP1-82158
NBP1-82158-25ul

Key Product Details

Validated by

Orthogonal Validation

Species Reactivity

Human

Applications

Immunocytochemistry/ Immunofluorescence, Immunohistochemistry, Immunohistochemistry-Paraffin, Western Blot

Label

Unconjugated

Antibody Source

Polyclonal Rabbit IgG

Format

BSA Free

Concentration

Concentrations vary lot to lot. See vial label for concentration. If unlisted please contact technical services.

Product Specifications

Immunogen

This antibody was developed against Recombinant Protein corresponding to amino acids: LFFKMREEQIRRWKEREAAMERKESLPVKPRPKKENGKSVHWKLGADKEVWVWVMGEHHLDKPYDVLCNEIIAERARLKAEQEAEEPRKTHSEEFTNSLKTKSQYHDLQAPDNQQTKDIWKKVA

Clonality

Polyclonal

Host

Rabbit

Isotype

IgG

Description

Novus Biologicals Rabbit SH2D4A Antibody - BSA Free (NBP1-82158) is a polyclonal antibody validated for use in IHC, WB and ICC/IF. All Novus Biologicals antibodies are covered by our 100% guarantee.

Scientific Data Images for SH2D4A Antibody - BSA Free

Western Blot: SH2D4A Antibody [NBP1-82158]

Western Blot: SH2D4A Antibody [NBP1-82158]

Western Blot: SH2D4A Antibody [NBP1-82158] - Lane 1: Marker [kDa] 219, 112, 85, 49, 32, 25, 18. Lane 2: Human cell line RT-4
Immunocytochemistry/ Immunofluorescence: SH2D4A Antibody [NBP1-82158]

Immunocytochemistry/ Immunofluorescence: SH2D4A Antibody [NBP1-82158]

Immunocytochemistry/Immunofluorescence: SH2D4A Antibody [NBP1-82158] - Immunofluorescent staining of human cell line A-431 shows localization to cytosol.
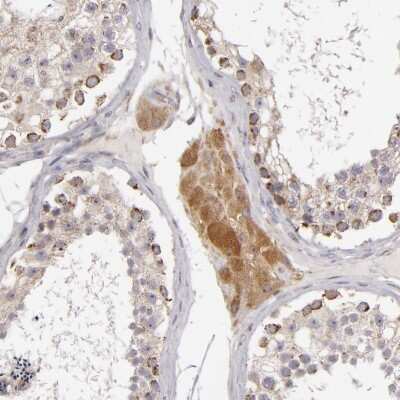
Immunohistochemistry-Paraffin: SH2D4A Antibody [NBP1-82158]

Immunohistochemistry-Paraffin: SH2D4A Antibody [NBP1-82158]

Immunohistochemistry-Paraffin: SH2D4A Antibody [NBP1-82158] - Staining in human urinary bladder and testis tissues using anti-SH2D4A antibody. Corresponding SH2D4A RNA-seq data are presented for the same tissues.

Applications for SH2D4A Antibody - BSA Free

Application
Recommended Usage

Immunocytochemistry/ Immunofluorescence

0.25-2 ug/ml

Immunohistochemistry

1:200 - 1:500

Immunohistochemistry-Paraffin

1:200 - 1:500

Western Blot

0.04-0.4 ug/ml
Application Notes
For IHC-Paraffin, HIER pH 6 retrieval is recommended. Immunocytochemistry/Immunofluorescence Fixation Permeabilization: Use PFA/Triton X-100.

Formulation, Preparation, and Storage

Purification

Immunogen affinity purified

Formulation

PBS (pH 7.2) and 40% Glycerol

Format

BSA Free

Preservative

0.02% Sodium Azide

Concentration

Concentrations vary lot to lot. See vial label for concentration. If unlisted please contact technical services.

Shipping

The product is shipped with polar packs. Upon receipt, store it immediately at the temperature recommended below.

Stability & Storage

Store at 4C short term. Aliquot and store at -20C long term. Avoid freeze-thaw cycles.

Background: SH2D4A

Ubiquitously expressed. Aberrantly expressed in some cancers

Alternate Names

Protein SH(2)A, SH2 domain containing 4A, SH2 domain-containing protein 4A, SH2AFLJ20967

Gene Symbol

SH2D4A

Additional SH2D4A Products

Product Documents for SH2D4A Antibody - BSA Free

Certificate of Analysis

To download a Certificate of Analysis, please enter a lot number in the search box below.

Product Specific Notices for SH2D4A Antibody - BSA Free

This product is for research use only and is not approved for use in humans or in clinical diagnosis. Primary Antibodies are guaranteed for 1 year from date of receipt.

Loading...
Loading...
Loading...
Loading...