Skip to main content

SETD1A Antibody - BSA Free

Novus Biologicals, part of Bio-Techne | Catalog # NB100-558

Novus Biologicals, part of Bio-Techne

Key Product Details

Validated by

Independent Antibodies

Species Reactivity

Validated:

Human, Mouse

Cited:

Human

Applications

Validated:

Immunohistochemistry, Immunohistochemistry-Paraffin, Western Blot, Immunoprecipitation, Chromatin Immunoprecipitation (ChIP), Chromatin Immunoprecipitation Sequencing

Cited:

Chemotaxis

Label

Unconjugated

Antibody Source

Polyclonal Rabbit IgG

Format

BSA Free

Concentration

1.0 mg/ml

Product Specifications

Immunogen

A synthetic peptide which maps to a region between residues 1200 and 1250 of human hSET1 (KIAA0339) using the numbering given in TrEMBL entry O15047 (GeneID 9739).

Clonality

Polyclonal

Host

Rabbit

Isotype

IgG

Description

Novus Biologicals Rabbit SETD1A Antibody - BSA Free (NB100-558) is a polyclonal antibody validated for use in IHC, WB, IP and ChIP. Anti-SETD1A Antibody: Cited in 5 publications. All Novus Biologicals antibodies are covered by our 100% guarantee.

Scientific Data Images for SETD1A Antibody - BSA Free

Western Blot: SETD1A Antibody [NB100-558]

Western Blot: SETD1A Antibody [NB100-558]

Western Blot: SETD1A Antibody [NB100-558] - Detection of human hSET1 by western blot. Samples: Whole cell lysate (10 ug) from HEK293T, HeLa, Jurkat, and Hep-G2 cells prepared using NETN lysis buffer. Antibody: Affinity purified rabbit anti-hSET1 antibody A300-289A (lot A300-289A-6) used for WB at 0.04 ug/ml. Detection: Chemiluminescence with an exposure time of 75 seconds.
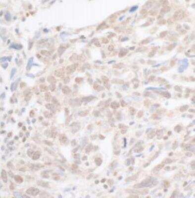
Immunohistochemistry-Paraffin: SETD1A Antibody [NB100-558]

Immunohistochemistry-Paraffin: SETD1A Antibody [NB100-558]

Immunohistochemistry-Paraffin: SETD1A Antibody [NB100-558] - Section of human ovarian carcinoma. Antibody: Affinity purified rabbit anti-hSET1 used at 1:5,000 (0.2 ug/ml). Secondary: HRP-conjugated goat anti-rabbit IgG. Substrate: DAB.
Chromatin Immunoprecipitation: SETD1A Antibody [NB100-558] - Chromatin Immunoprecipitation: SETD1A Antibody [NB100-558] - ChIP-chip scatter plot of anti-hSET1 (NB100-558) enriched DNA binding sites versus input reference DNA. A. 10 mcg of NB100-558 was used to immunoprecipitate chromatin from K562 cells per Ren et al (Genes Dev. 2002 16: 245-256). Immunoprecipitated DNA and reference DNA were amplified via ligation-mediated PCR and the products labeled with fluorescent dUTPs. The labeled ChIP and reference DNA were pooled, hybridized to a DNA microarray, and analyzed. Data points below the +3 SD curve (red line) represent significantly enriched binding sites. B. As a control, a similar experiment was performed using normal rabbit IgG. Compared to the anti-hSET1 ChIP, normal rabbit IgG showed little enrichment.

Applications for SETD1A Antibody - BSA Free

Application
Recommended Usage

Chromatin Immunoprecipitation (ChIP)

10 ug

Immunohistochemistry

1:2000 - 1:10000

Immunohistochemistry-Paraffin

1:2000 - 1:10000

Immunoprecipitation

2-10 ug/mg lysate

Western Blot

1:10000 - 1:25000

Formulation, Preparation, and Storage

Purification

Immunogen affinity purified

Formulation

Tris-Citrate/Phosphate (pH 7.0 - 8.0)

Format

BSA Free

Preservative

0.09% Sodium Azide

Concentration

1.0 mg/ml

Shipping

The product is shipped with polar packs. Upon receipt, store it immediately at the temperature recommended below.

Stability & Storage

Store at 4C. Do not freeze.

Background: SETD1A

SET1A is a component of a histone methyltransferase (HMT) complex that produces mono-, di-, and trimethylated histone H3 at Lys4. The complex is the analog of the S. cerevisiae Set1/COMPASS complex (Lee and Skalnik, 2005 [PubMed 16253997]). Also see SET1B (MIM 611055).[supplied by OMIM]

Alternate Names

histone-lysine N-methyltransferase SETD1A, hSET1A, KIAA0339EC 2.1.1.43, KMT2FSET1, Lysine N-methyltransferase 2F, SET domain containing 1A, SET domain-containing protein 1A, Set1, Set1/Ash2 histone methyltransferase complex subunit SET1, SET1A

Entrez Gene IDs

9739 (Human)

Gene Symbol

SETD1A

UniProt

Additional SETD1A Products

Product Documents for SETD1A Antibody - BSA Free

Certificate of Analysis

To download a Certificate of Analysis, please enter a lot number in the search box below.

Product Specific Notices for SETD1A Antibody - BSA Free

This product is for research use only and is not approved for use in humans or in clinical diagnosis. Primary Antibodies are guaranteed for 1 year from date of receipt.

Loading...
Loading...
Loading...
Loading...