Skip to main content

Serpin A4/Kallistatin Antibody - BSA Free

Novus Biologicals, part of Bio-Techne | Catalog # NBP2-17013

Novus Biologicals, part of Bio-Techne
Catalog #
Availability
Size / Price
Qty
Loading...
NBP2-17013

Key Product Details

Species Reactivity

Human

Applications

Immunohistochemistry, Immunohistochemistry-Paraffin, Western Blot, Immunocytochemistry/ Immunofluorescence

Label

Unconjugated

Antibody Source

Polyclonal Rabbit IgG

Format

BSA Free

Concentration

Concentrations vary lot to lot. See vial label for concentration. If unlisted please contact technical services.

Product Specifications

Immunogen

Recombinant protein encompassing a sequence within the center region of human Serpin A4/Kallistatin. The exact sequence is proprietary.

Localization

Secreted

Clonality

Polyclonal

Host

Rabbit

Isotype

IgG

Theoretical MW

49 kDa.
Disclaimer note: The observed molecular weight of the protein may vary from the listed predicted molecular weight due to post translational modifications, post translation cleavages, relative charges, and other experimental factors.

Description

Novus Biologicals Rabbit Serpin A4/Kallistatin Antibody - BSA Free (NBP2-17013) is a polyclonal antibody validated for use in IHC, WB and ICC/IF. All Novus Biologicals antibodies are covered by our 100% guarantee.

Scientific Data Images for Serpin A4/Kallistatin Antibody - BSA Free

Western Blot: Serpin A4/Kallistatin Antibody [NBP2-17013]

Western Blot: Serpin A4/Kallistatin Antibody [NBP2-17013]

Western Blot: Serpin A4/Kallistatin Antibody [NBP2-17013] - Sample (30 ug of whole cell lysate) A: HCT116 10% SDS PAGE gel, diluted at 1:1000.
Immunocytochemistry/ Immunofluorescence: Serpin A4/Kallistatin Antibody [NBP2-17013]

Immunocytochemistry/ Immunofluorescence: Serpin A4/Kallistatin Antibody [NBP2-17013]

Immunocytochemistry/Immunofluorescence: Serpin A4/Kallistatin Antibody [NBP2-17013] - Immunofluorescence analysis of methanol-fixed HCT116, using antibody at 1:500 dilution.
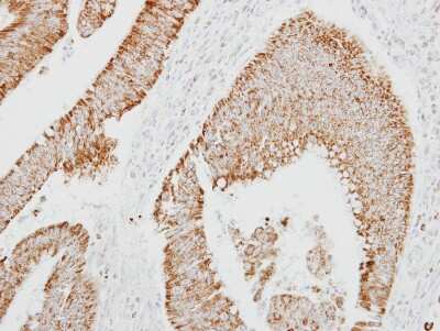
Immunohistochemistry-Paraffin: Serpin A4/Kallistatin Antibody [NBP2-17013]

Immunohistochemistry-Paraffin: Serpin A4/Kallistatin Antibody [NBP2-17013]

Immunohistochemistry-Paraffin: Serpin A4/Kallistatin Antibody [NBP2-17013] - Human colon carcinoma, using Kallistatin antibody at 1:250 dilution. Antigen Retrieval: Trilogy™ (EDTA based, pH 8.0) buffer, 15min.

Applications for Serpin A4/Kallistatin Antibody - BSA Free

Application
Recommended Usage

Immunocytochemistry/ Immunofluorescence

1:100-1:1000

Immunohistochemistry

1:100-1:1000

Immunohistochemistry-Paraffin

1:100-1:1000

Western Blot

1:500-1:3000

Formulation, Preparation, and Storage

Purification

Antigen Affinity-purified

Formulation

0.1M Tris, 0.1M Glycine, 20% Glycerol

Format

BSA Free

Preservative

0.01% Thimerosal

Concentration

Concentrations vary lot to lot. See vial label for concentration. If unlisted please contact technical services.

Shipping

The product is shipped with polar packs. Upon receipt, store it immediately at the temperature recommended below.

Stability & Storage

Aliquot and store at -20C or -80C. Avoid freeze-thaw cycles.

Background: Serpin A4/Kallistatin

Inhibits human amidolytic and kininogenase activities of tissue kallikrein. Inhibition is achieved by formation of an equimolar, heat- and SDS-stable complex between the inhibitor and the enzyme, and generation of a small C-terminal fragment of the inhibitor due to cleavage at the reactive site by tissue kallikrein.

Alternate Names

Kallistatin

Gene Symbol

SERPINA4

UniProt

Additional Serpin A4/Kallistatin Products

Product Documents for Serpin A4/Kallistatin Antibody - BSA Free

Certificate of Analysis

To download a Certificate of Analysis, please enter a lot number in the search box below.

Product Specific Notices for Serpin A4/Kallistatin Antibody - BSA Free

This product is for research use only and is not approved for use in humans or in clinical diagnosis. Primary Antibodies are guaranteed for 1 year from date of receipt.

Loading...
Loading...
Loading...
Loading...

⚠ WARNING: This product can expose you to chemicals including mercury, which is known to the State of California to cause reproductive toxicity with developmental effects.  For more information go to www.P65Warnings.ca.gov.