SERINC3 Antibody - BSA Free
Novus Biologicals, part of Bio-Techne | Catalog # NBP2-13296
Key Product Details
Species Reactivity
Human
Applications
Immunohistochemistry, Immunohistochemistry-Paraffin, Western Blot
Label
Unconjugated
Antibody Source
Polyclonal Rabbit IgG
Format
BSA Free
Concentration
Concentrations vary lot to lot. See vial label for concentration. If unlisted please contact technical services.
Product Specifications
Immunogen
This antibody was developed against Recombinant Protein corresponding to amino acids: EMETYLKKIPGFCEGGFKIHEADINADKDCDVLVGYK
Clonality
Polyclonal
Host
Rabbit
Isotype
IgG
Description
Novus Biologicals Rabbit SERINC3 Antibody - BSA Free (NBP2-13296) is a polyclonal antibody validated for use in IHC and WB. All Novus Biologicals antibodies are covered by our 100% guarantee.
Scientific Data Images for SERINC3 Antibody - BSA Free
Western Blot: SERINC3 Antibody [NBP2-13296]
Western Blot: SERINC3 Antibody [NBP2-13296] - Analysis in human cell line EFO-21.Immunohistochemistry-Paraffin: SERINC3 Antibody [NBP2-13296]
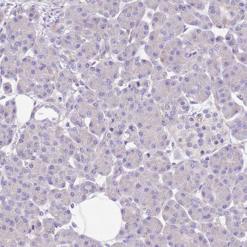
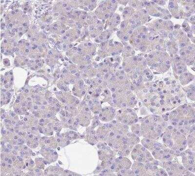
Immunohistochemistry-Paraffin: SERINC3 Antibody [NBP2-13296] - Staining of human pancreas shows no positivity in exocrine glandular cells as expected.Immunohistochemistry-Paraffin: SERINC3 Antibody [NBP2-13296]
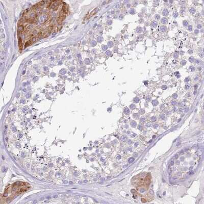
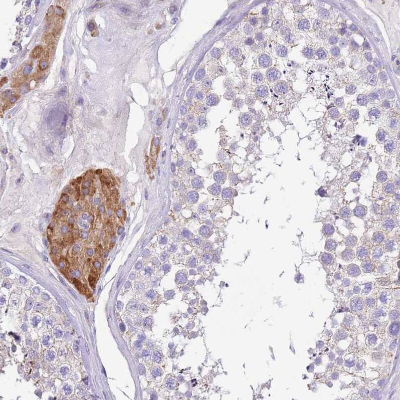
Immunohistochemistry-Paraffin: SERINC3 Antibody [NBP2-13296] - Staining of human testis shows strong cytoplasmic positivity in Leydig cells.Applications for SERINC3 Antibody - BSA Free
Application
Recommended Usage
Immunohistochemistry
1:50 - 1:200
Immunohistochemistry-Paraffin
1:50 - 1:200
Western Blot
0.04 - 0.4 ug/ml
Application Notes
For IHC-Paraffin, HIER pH 6 retrieval is recommended.
Formulation, Preparation, and Storage
Purification
Affinity purified
Formulation
PBS (pH 7.2) and 40% Glycerol
Format
BSA Free
Preservative
0.02% Sodium Azide
Concentration
Concentrations vary lot to lot. See vial label for concentration. If unlisted please contact technical services.
Shipping
The product is shipped with polar packs. Upon receipt, store it immediately at the temperature recommended below.
Stability & Storage
Store at 4C short term. Aliquot and store at -20C long term. Avoid freeze-thaw cycles.
Background: SERINC3
Alternate Names
AIGP1, DIFF33tumor differentially expressed 1, placental transmembrane protein (mouse testicular tumor differentiallyexpressed), SBBI99, serine incorporator 3, TDE, TDE1Tumor differentially expressed protein 1, TMS-1, transmembrane protein SBBI99, tumour differentially expressed 1
Gene Symbol
SERINC3
Additional SERINC3 Products
Product Documents for SERINC3 Antibody - BSA Free
Product Specific Notices for SERINC3 Antibody - BSA Free
This product is for research use only and is not approved for use in humans or in clinical diagnosis. Primary Antibodies are guaranteed for 1 year from date of receipt.
Loading...
Loading...
Loading...
Loading...