Skip to main content

Septin-7 Antibody - BSA Free

Novus Biologicals, part of Bio-Techne | Catalog # NBP1-85731

Novus Biologicals, part of Bio-Techne
Catalog #
Availability
Size / Price
Qty
Loading...
NBP1-85731
NBP1-85731-25ul

Key Product Details

Validated by

Orthogonal Validation, Independent Antibodies

Species Reactivity

Human, Mouse, Rat

Applications

Immunohistochemistry, Immunohistochemistry-Paraffin, Western Blot, Immunocytochemistry/ Immunofluorescence

Label

Unconjugated

Antibody Source

Polyclonal Rabbit IgG

Format

BSA Free

Concentration

Concentrations vary lot to lot. See vial label for concentration. If unlisted please contact technical services.

Product Specifications

Immunogen

This antibody was developed against Recombinant Protein corresponding to amino acids: VNIIPLIAKADTLTPEECQQFKKQIMKEIQEHKIKIYEFPETDDEEENKLVKKIKDRLPLAVVGSNTIIEVNGKRVRGRQYPW

Clonality

Polyclonal

Host

Rabbit

Isotype

IgG

Description

Novus Biologicals Rabbit Septin-7 Antibody - BSA Free (NBP1-85731) is a polyclonal antibody validated for use in IHC, WB and ICC/IF. All Novus Biologicals antibodies are covered by our 100% guarantee.

Scientific Data Images for Septin-7 Antibody - BSA Free

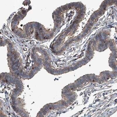
Immunohistochemistry-Paraffin: Septin-7 Antibody [NBP1-85731]

Immunohistochemistry-Paraffin: Septin-7 Antibody [NBP1-85731]

Immunohistochemistry-Paraffin: Septin-7 Antibody [NBP1-85731] - Immunohistochemistry analysis in human cerebral cortex and skeletal muscle tissues. Corresponding RNA-seq data are presented for the same tissues.
Immunohistochemistry-Paraffin: Septin-7 Antibody [NBP1-85731]

Immunohistochemistry-Paraffin: Septin-7 Antibody [NBP1-85731]

Immunohistochemistry-Paraffin: Septin-7 Antibody [NBP1-85731] - Staining of human cerebral cortex, lymph node, skeletal muscle and testis using Anti-SEPT7 antibody NBP1-85731 (A) shows similar protein distribution across tissues to independent antibody NBP1-85730 (B).
Immunocytochemistry/ Immunofluorescence: Septin-7 Antibody [NBP1-85731]

Immunocytochemistry/ Immunofluorescence: Septin-7 Antibody [NBP1-85731]

Immunocytochemistry/Immunofluorescence: Septin-7 Antibody [NBP1-85731] - Staining of human cell line A-431 shows localization to nucleoli, plasma membrane & actin filaments. Antibody staining is shown in green.

Applications for Septin-7 Antibody - BSA Free

Application
Recommended Usage

Immunocytochemistry/ Immunofluorescence

0.25-2 ug/ml

Immunohistochemistry

1:500 - 1:1000

Immunohistochemistry-Paraffin

1:500 - 1:1000

Western Blot

0.04-0.4 ug/ml
Application Notes
For IHC-Paraffin, HIER pH 6 retrieval is recommended. ICC/IF Fixation/Permeabilization: PFA/Triton X-100

Formulation, Preparation, and Storage

Purification

Affinity purified

Formulation

PBS (pH 7.2) and 40% Glycerol

Format

BSA Free

Preservative

0.02% Sodium Azide

Concentration

Concentrations vary lot to lot. See vial label for concentration. If unlisted please contact technical services.

Shipping

The product is shipped with polar packs. Upon receipt, store it immediately at the temperature recommended below.

Stability & Storage

Store at 4C short term. Aliquot and store at -20C long term. Avoid freeze-thaw cycles.

Background: Septin-7

This gene encodes a protein that is highly similar to the CDC10 protein of Saccharomyces cerevisiae. The protein also shares similarity with Diff 6 of Drosophila and with H5 of mouse. Each of these similar proteins, including the yeast CDC10, contains a GTP-binding motif. The yeast CDC10 protein is a structural component of the 10 nm filament which lies inside the cytoplasmic membrane and is essential for cytokinesis. Although the exact function of this gene has not yet been determined, its high similarity to yeast CDC10 and the high conservative nature of eukaryotic cell cycle machinery suggest a similar role to that of its yeast counterpart. Alternative splicing results in two transcript variants encoding different isoforms. [provided by RefSeq]

Alternate Names

CDC10 cell division cycle 10 homolog, CDC10 cell division cycle 10 homolog (S. cerevisiae), CDC10 protein homolog, CDC10S. cerevisiae, homolog), Nbla02942, septin 7, septin-7

Gene Symbol

SEPTIN7

Additional Septin-7 Products

Product Documents for Septin-7 Antibody - BSA Free

Certificate of Analysis

To download a Certificate of Analysis, please enter a lot number in the search box below.

Product Specific Notices for Septin-7 Antibody - BSA Free

This product is for research use only and is not approved for use in humans or in clinical diagnosis. Primary Antibodies are guaranteed for 1 year from date of receipt.

Loading...
Loading...
Loading...
Loading...