Skip to main content

Septin-6 Antibody

Novus Biologicals, part of Bio-Techne | Catalog # NBP1-51930

Novus Biologicals, part of Bio-Techne
Catalog #
Availability
Size / Price
Qty
Loading...
NBP1-51930

Key Product Details

Species Reactivity

Validated:

Human

Predicted:

Bovine (100%), Canine (100%). Backed by our 100% Guarantee.

Applications

Immunohistochemistry, Immunohistochemistry-Paraffin, Western Blot, Peptide ELISA

Label

Unconjugated

Antibody Source

Polyclonal Goat IgG

Concentration

0.5 mg/ml

Product Specifications

Immunogen

Peptide with sequence C-DEVNAFKQRKTA corresponding to internal region according to NP_665798.1, NP_055944.2, NP_665801.1.

Epitope

C-DEVNAFKQRKTA

Localization

In paraffin embedded Human Tonsil shows specific staining in dividing cells just outside a germinal centre

Specificity

This antibody is expected to recognize the reported isoforms NP_665798.1, NP_055944.2 and NP_665801.1. Reported variants NP_665799.1 and NP_665798.1 represent identical protein.

Clonality

Polyclonal

Host

Goat

Isotype

IgG

Description

Novus Biologicals Goat Septin-6 Antibody (NBP1-51930) is a polyclonal antibody validated for use in IHC, WB and ELISA. Anti-Septin-6 Antibody: Cited in 1 publication. All Novus Biologicals antibodies are covered by our 100% guarantee.

Scientific Data Images for Septin-6 Antibody

Western Blot: Septin-6 Antibody [NBP1-51930]

Western Blot: Septin-6 Antibody [NBP1-51930]

Western Blot: Septin-6 Antibody [NBP1-51930] - Staining (1ug/ml) of Human Testis (A), (0.1ug/ml) Duodenum (B), (0.5ug/ml) Kidney (C) and (0.3ug/ml) Tonsil (D) lysate (35ug protein in RIPA buffer). Detected by chemiluminescence.
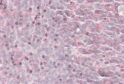
Immunohistochemistry-Paraffin: Septin-6 Antibody [NBP1-51930]

Immunohistochemistry-Paraffin: Septin-6 Antibody [NBP1-51930]

Immunohistochemistry-Paraffin: Septin-6 Antibody [NBP1-51930] - Staining of paraffin embedded Human Tonsil. Antibody at 3.8 ug/mL. Steamed antigen retrieval with citrate buffer pH 6, AP-staining.
Western Blot: Septin-6 Antibody [NBP1-51930]

Western Blot: Septin-6 Antibody [NBP1-51930]

Western Blot: Septin-6 Antibody [NBP1-51930] - Staining (0.1ug/ml) of Daudi (A), Jurkat (B) and MOLT4 (C) cell lysate (35ug protein in RIPA buffer). Detected by chemiluminescence.

Applications for Septin-6 Antibody

Application
Recommended Usage

Immunohistochemistry

3 - 5 ug/mL

Immunohistochemistry-Paraffin

3 - 5 ug/mL

Peptide ELISA

Detection limit 1:4000

Western Blot

0.1 - 1 ug/mL
Application Notes
WB: Approx 50 kDa band observed in MOLT4, Daudi, Jurkat, Human Testis, Duodenum, Kidney and Tonsil lysates (calculated MW of 49.7 kDa according to NP_055944.2).

Formulation, Preparation, and Storage

Purification

Immunogen affinity purified

Formulation

Tris saline (20 mM Tris pH 7.3, 150 mM NaCl), 0.5% BSA

Preservative

0.02% Sodium Azide

Concentration

0.5 mg/ml

Shipping

The product is shipped with polar packs. Upon receipt, store it immediately at the temperature recommended below.

Stability & Storage

Store at -20C. Avoid freeze-thaw cycles.

Background: Septin-6

This gene is a member of the septin family of GTPases. Members of this family are required for cytokinesis. One version of pediatric acute myeloid leukemia is the result of a reciprocal translocation between chromosomes 11 and X, with the breakpoint associated with the genes encoding the mixed-lineage leukemia and septin 2 proteins. This gene encodes four transcript variants encoding three distinct isoforms. An additional transcript variant has been identified, but its biological validity has not been determined. [provided by RefSeq]

Alternate Names

KIAA0128SEP2septin 2, MGC16619, MGC20339, SEPT2, septin 6, septin-6

Entrez Gene IDs

23157 (Human)

Gene Symbol

SEPTIN6

Additional Septin-6 Products

Product Documents for Septin-6 Antibody

Certificate of Analysis

To download a Certificate of Analysis, please enter a lot number in the search box below.

Product Specific Notices for Septin-6 Antibody

This product is for research use only and is not approved for use in humans or in clinical diagnosis. Primary Antibodies are guaranteed for 1 year from date of receipt.

Loading...
Loading...
Loading...
Loading...