Semenogelin I Antibody - BSA Free
Novus Biologicals, part of Bio-Techne | Catalog # NBP1-85425
Key Product Details
Validated by
Orthogonal Validation, Independent Antibodies
Species Reactivity
Human
Applications
Immunohistochemistry, Immunohistochemistry-Paraffin
Label
Unconjugated
Antibody Source
Polyclonal Rabbit IgG
Format
BSA Free
Concentration
Concentrations vary lot to lot. See vial label for concentration. If unlisted please contact technical services.
Product Specifications
Immunogen
This antibody was developed against Recombinant Protein corresponding to amino acids: KGRHQHGSHGGLDIVIIEQEDDSDRHLAQHLNNDRNPLFT
Clonality
Polyclonal
Host
Rabbit
Isotype
IgG
Description
Novus Biologicals Rabbit Semenogelin I Antibody - BSA Free (NBP1-85425) is a polyclonal antibody validated for use in IHC. All Novus Biologicals antibodies are covered by our 100% guarantee.
Scientific Data Images for Semenogelin I Antibody - BSA Free
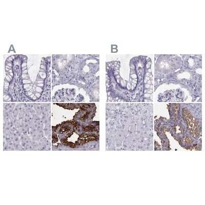
Immunohistochemistry-Paraffin: Semenogelin I Antibody [NBP1-85425]
Immunohistochemistry-Paraffin: Semenogelin I Antibody [NBP1-85425] - Staining of human kidney.Immunohistochemistry-Paraffin: Semenogelin I Antibody [NBP1-85425]
Immunohistochemistry-Paraffin: Semenogelin I Antibody [NBP1-85425] - Staining of human lymph node shows low expression as expected.Immunohistochemistry-Paraffin: Semenogelin I Antibody [NBP1-85425]
Immunohistochemistry-Paraffin: Semenogelin I Antibody [NBP1-85425] - Staining of human seminal vesicle shows high expression.Applications for Semenogelin I Antibody - BSA Free
Application
Recommended Usage
Immunohistochemistry
1:5000 - 1:10000
Immunohistochemistry-Paraffin
1:5000 - 1:10000
Application Notes
For IHC-Paraffin, HIER pH 6 retrieval is recommended.
Formulation, Preparation, and Storage
Purification
Immunogen affinity purified
Formulation
PBS (pH 7.2) and 40% Glycerol
Format
BSA Free
Preservative
0.02% Sodium Azide
Concentration
Concentrations vary lot to lot. See vial label for concentration. If unlisted please contact technical services.
Shipping
The product is shipped with polar packs. Upon receipt, store it immediately at the temperature recommended below.
Stability & Storage
Store at 4C short term. Aliquot and store at -20C long term. Avoid freeze-thaw cycles.
Background: Semenogelin I
Alternate Names
CT103, dJ172H20.2, FLJ78262, semen coagulating protein, semenogelin IMGC14719, semenogelin-1, SEMGcancer/testis antigen 103, SGI
Gene Symbol
SEMG1
Additional Semenogelin I Products
Product Documents for Semenogelin I Antibody - BSA Free
Product Specific Notices for Semenogelin I Antibody - BSA Free
This product is for research use only and is not approved for use in humans or in clinical diagnosis. Primary Antibodies are guaranteed for 1 year from date of receipt.
Loading...
Loading...
Loading...
Loading...