Skip to main content

SEC14L2 Antibody (JE61-74)

Novus Biologicals, part of Bio-Techne | Catalog # NBP3-32935

Recombinant Monoclonal Antibody
Novus Biologicals, part of Bio-Techne
Catalog #
Availability
Size / Price
Qty
Loading...
NBP3-32935

Key Product Details

Species Reactivity

Human, Mouse, Rat

Applications

Immunocytochemistry/ Immunofluorescence, Immunohistochemistry, Immunohistochemistry-Paraffin, Western Blot

Label

Unconjugated

Antibody Source

Recombinant Monoclonal Rabbit IgG Clone # JE61-74 expressed in HEK293

Concentration

1 mg/ml

Product Specifications

Immunogen

Synthetic peptide. (Uniprot: O76054)

Localization

Cytoplasm, Nucleus.

Clonality

Monoclonal

Host

Rabbit

Isotype

IgG

Theoretical MW

46 kDa.
Disclaimer note: The observed molecular weight of the protein may vary from the listed predicted molecular weight due to post translational modifications, post translation cleavages, relative charges, and other experimental factors.

Description

Novus Biologicals Rabbit SEC14L2 Antibody (JE61-74) (NBP3-32935) is a recombinant monoclonal antibody validated for use in IHC, WB and ICC/IF. All Novus Biologicals antibodies are covered by our 100% guarantee.

Scientific Data Images for SEC14L2 Antibody (JE61-74)

SEC14L2 Antibody (JE61-74)

Western Blot: SEC14L2 Antibody (JE61-74) [NBP3-32935]

Western Blot: SEC14L2 Antibody (JE61-74) [NBP3-32935] - Western blot analysis of SEC14L2 on different lysates with Rabbit anti-SEC14L2 antibody (NBP3-32935) at 1/1,000 dilution.

Lane 1: Mouse liver tissue lysate
Lane 2: Rat liver tissue lysate

Lysates/proteins at 30 ug/Lane.

Predicted band size: 46 kDa
Observed band size: 46 kDa

Exposure time: 16 seconds.

4-20% SDS-PAGE gel.

Proteins were transferred to a PVDF membrane and blocked with 5% NFDM/TBST for 1 hour at room temperature. The primary antibody (NBP3-32935) at 1/1,000 dilution was used in 5% NFDM/TBST at room temperature for 2 hours. Goat Anti-Rabbit IgG - HRP Secondary Antibody at 1:100,000 dilution was used for 1 hour at room temperature.
SEC14L2 Antibody (JE61-74)

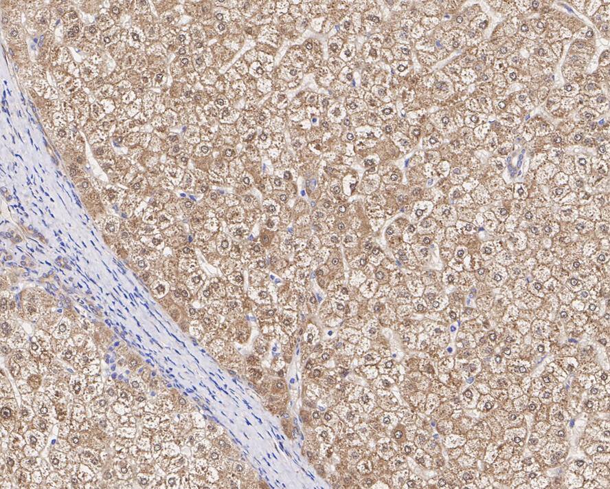
Immunohistochemistry: SEC14L2 Antibody (JE61-74) [NBP3-32935]

Immunohistochemistry: SEC14L2 Antibody (JE61-74) [NBP3-32935] - Immunohistochemical analysis of paraffin-embedded human liver tissue with Rabbit anti-SEC14L2 antibody (NBP3-32935) at 1/200 dilution.

The section was pre-treated using heat mediated antigen retrieval with sodium citrate buffer (pH 6.0) for 2 minutes. The tissues were blocked in 1% BSA for 20 minutes at room temperature, washed with ddH2O and PBS, and then probed with the primary antibody (NBP3-32935) at 1/200 dilution for 1 hour at room temperature. The detection was performed using an HRP conjugated compact polymer system. DAB was used as the chromogen. Tissues were counterstained with hematoxylin and mounted with DPX.
SEC14L2 Antibody (JE61-74)

Immunocytochemistry/ Immunofluorescence: SEC14L2 Antibody (JE61-74) [NBP3-32935]

Immunocytochemistry/ Immunofluorescence: SEC14L2 Antibody (JE61-74) [NBP3-32935] - Immunocytochemistry analysis of A549 cells labeling SEC14L2 with Rabbit anti-SEC14L2 antibody (NBP3-32935) at 1/100 dilution.

Cells were fixed in 4% paraformaldehyde for 10 minutes at 37 ℃, permeabilized with 0.05% Triton X-100 in PBS for 20 minutes, and then blocked with 2% negative goat serum for 30 minutes at room temperature. Cells were then incubated with Rabbit anti-SEC14L2 antibody (NBP3-32935) at 1/100 dilution in 2% negative goat serum overnight at 4 ℃. Goat Anti-Rabbit IgG H&L (iFluor™ 488) was used as the secondary antibody at 1/1,000 dilution. Nuclear DNA was labelled in blue with DAPI.

Beta tubulin (red) was stained at 1/200 dilution overnight at +4℃. Goat Anti-Mouse IgG H&L (iFluor™ 594) was used as the secondary antibody at 1/1,000 dilution.

Applications for SEC14L2 Antibody (JE61-74)

Application
Recommended Usage

Immunocytochemistry/ Immunofluorescence

1:100

Immunohistochemistry-Paraffin

1:200-1:1000

Western Blot

1:1000

Formulation, Preparation, and Storage

Purification

Protein A purified

Formulation

1*TBS (pH7.4), 0.05% BSA and 40% Glycerol

Preservative

0.05% Sodium Azide

Concentration

1 mg/ml

Shipping

The product is shipped with polar packs. Upon receipt, store it immediately at the temperature recommended below.

Stability & Storage

Store at 4C short term. Aliquot and store at -20C long term. Avoid freeze-thaw cycles.

Background: SEC14L2

SEC14L2 encodes a cytosolic protein which belongs to a family of lipid-binding proteins including Sec14p, alpha-tocopherol transfer protein, and cellular retinol-binding protein. The encoded protein stimulates squalene monooxygenase which is a downstream enzyme in the cholesterol biosynthetic pathway.

Alternate Names

C22orf6, hTAP, KIAA1186SEC14 (S. cerevisiae)-like 2, KIAA1658SPFAlpha-tocopherol-associated protein, SEC14-like 2 (S. cerevisiae), SEC14-like protein 2, Squalene transfer protein, Supernatant protein factor, TAP1, TAPMGC65053, tocopherol-associated protein

Gene Symbol

SEC14L2

Additional SEC14L2 Products

Product Documents for SEC14L2 Antibody (JE61-74)

Certificate of Analysis

To download a Certificate of Analysis, please enter a lot number in the search box below.

Product Specific Notices for SEC14L2 Antibody (JE61-74)

This product is for research use only and is not approved for use in humans or in clinical diagnosis. Primary Antibodies are guaranteed for 1 year from date of receipt.

Loading...
Loading...
Loading...
Loading...