Skip to main content

SDSL Antibody - BSA Free

Novus Biologicals, part of Bio-Techne | Catalog # NBP1-87058

Novus Biologicals, part of Bio-Techne
Catalog #
Availability
Size / Price
Qty
Loading...
NBP1-87058
NBP1-87058-25ul

Key Product Details

Species Reactivity

Human, Rat

Applications

Immunocytochemistry/ Immunofluorescence, Immunohistochemistry, Immunohistochemistry-Paraffin, Western Blot

Label

Unconjugated

Antibody Source

Polyclonal Rabbit IgG

Format

BSA Free

Concentration

Concentrations vary lot to lot. See vial label for concentration. If unlisted please contact technical services.

Product Specifications

Immunogen

This antibody was developed against Recombinant Protein corresponding to amino acids: RHLVCSSGGNAGIAAAYAARKLGIPATIVLPESTSLQVVQRLQGEGAEVQLTGKVWDEANLRAQELAKRDGWENVPPFDHPLIWKGHASLVQELKAVLRT

Reactivity Notes

Immunogen displays the following percentage of sequence identity for non-tested species: Mouse (84%)

Clonality

Polyclonal

Host

Rabbit

Isotype

IgG

Description

Novus Biologicals Rabbit SDSL Antibody - BSA Free (NBP1-87058) is a polyclonal antibody validated for use in IHC, WB and ICC/IF. All Novus Biologicals antibodies are covered by our 100% guarantee.

Scientific Data Images for SDSL Antibody - BSA Free

Immunocytochemistry/ Immunofluorescence: SDSL Antibody [NBP1-87058]

Immunocytochemistry/ Immunofluorescence: SDSL Antibody [NBP1-87058]

Immunocytochemistry/Immunofluorescence: SDSL Antibody [NBP1-87058] - Immunofluorescent staining of human cell line U-2 OS shows localization to cytosol.
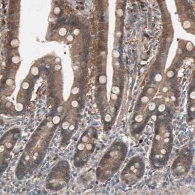
Immunohistochemistry-Paraffin: SDSL Antibody [NBP1-87058]

Immunohistochemistry-Paraffin: SDSL Antibody [NBP1-87058]

Immunohistochemistry-Paraffin: SDSL Antibody [NBP1-87058] - Staining of human duodenum shows moderate cytoplasmic positivity in glandular cells.
SDSL Antibody - BSA Free Western Blot: SDSL Antibody - BSA Free [NBP1-87058]

Western Blot: SDSL Antibody - BSA Free [NBP1-87058]

Lane 1: NIH-3T3 cell lysate (Mouse embryonic fibroblast cells)
Lane 2: NBT-II cell lysate (Rat Wistar bladder tumour cells)

Applications for SDSL Antibody - BSA Free

Application
Recommended Usage

Immunocytochemistry/ Immunofluorescence

0.25-2 ug/ml

Immunohistochemistry

1:20 - 1:50

Immunohistochemistry-Paraffin

1:20 - 1:50

Western Blot

0.04-0.4 ug/ml
Application Notes
For IHC-Paraffin, HIER pH 6 retrieval is recommended. ICC/IF, Fixation Permeabilization: Use PFA/Triton X-100.

Formulation, Preparation, and Storage

Purification

Immunogen affinity purified

Formulation

PBS (pH 7.2) and 40% Glycerol

Format

BSA Free

Preservative

0.02% Sodium Azide

Concentration

Concentrations vary lot to lot. See vial label for concentration. If unlisted please contact technical services.

Shipping

The product is shipped with polar packs. Upon receipt, store it immediately at the temperature recommended below.

Stability & Storage

Store at 4C short term. Aliquot and store at -20C long term. Avoid freeze-thaw cycles.

Background: SDSL

SDSL (Serine dehydratase-like) belongs to the serine/threonine dehydratase family. It is most abundant in the liver and is a putative L-threonine catabolising enzyme.

Alternate Names

EC 4.3.1.17, EC 4.3.1.19, L-serine deaminase, L-serine dehydratase/L-threonine deaminase, L-threonine dehydratase, SDH, SDH 2, SDS-RS1, Serine dehydratase 2, serine dehydratase related sequence 1, serine dehydratase-like, TDH

Gene Symbol

SDSL

Additional SDSL Products

Product Documents for SDSL Antibody - BSA Free

Certificate of Analysis

To download a Certificate of Analysis, please enter a lot number in the search box below.

Product Specific Notices for SDSL Antibody - BSA Free

This product is for research use only and is not approved for use in humans or in clinical diagnosis. Primary Antibodies are guaranteed for 1 year from date of receipt.

Loading...
Loading...
Loading...
Loading...