SCMH1 Antibody (OTI5E6) - Azide and BSA Free
Novus Biologicals, part of Bio-Techne | Catalog # NBP2-74023
Conjugate
Catalog #
Key Product Details
Species Reactivity
Human, Mouse, Rat
Applications
Immunohistochemistry, Immunohistochemistry-Paraffin, Western Blot
Label
Unconjugated
Antibody Source
Monoclonal Mouse IgG2B Clone # OTI5E6
Format
Azide and BSA Free
Concentration
LYOPH mg/ml
Product Specifications
Immunogen
Human recombinant protein fragment corresponding to amino acids 1-309 of human SCMH1(NP_036368) produced in E.coli.
Reactivity Notes
Please note that this antibody is reactive to Mouse and derived from the same host, Mouse. Mouse-On-Mouse blocking reagent may be needed for IHC and ICC experiments to reduce high background signal. You can find these reagents under catalog numbers PK-2200-NB and MP-2400-NB. Please contact Technical Support if you have any questions.
Clonality
Monoclonal
Host
Mouse
Isotype
IgG2B
Theoretical MW
65.9 kDa.
Disclaimer note: The observed molecular weight of the protein may vary from the listed predicted molecular weight due to post translational modifications, post translation cleavages, relative charges, and other experimental factors.
Disclaimer note: The observed molecular weight of the protein may vary from the listed predicted molecular weight due to post translational modifications, post translation cleavages, relative charges, and other experimental factors.
Description
Novus Biologicals Mouse SCMH1 Antibody (OTI5E6) - Azide and BSA Free (NBP2-45724) is a monoclonal antibody validated for use in IHC and WB. All Novus Biologicals antibodies are covered by our 100% guarantee.
Scientific Data Images for SCMH1 Antibody (OTI5E6) - Azide and BSA Free
Western Blot: SCMH1 Antibody (OTI5E6)Azide and BSA Free [NBP2-74023]
Western Blot: SCMH1 Antibody (OTI5E6) - Azide and BSA Free [NBP2-74023] - Analysis of HEK293T cells were transfected with the pCMV6-ENTRY control (Left lane) or pCMV6-ENTRY SCMH1.Immunohistochemistry: SCMH1 Antibody (OTI5E6) - Azide and BSA Free [NBP2-74023]
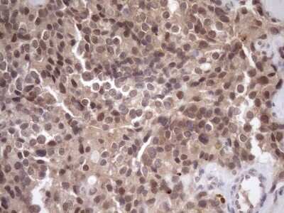
Immunohistochemistry: SCMH1 Antibody (OTI5E6) - Azide and BSA Free [NBP2-74023] - Analysis of Carcinoma of Human prostate tissue. (Heat-induced epitope retrieval by Tris-EDTA, pH8.0)Immunohistochemistry: SCMH1 Antibody (OTI5E6) - Azide and BSA Free [NBP2-74023]
Immunohistochemistry: SCMH1 Antibody (OTI5E6) - Azide and BSA Free [NBP2-74023] - Analysis of Adenocarcinoma of Human breast tissue. (Heat-induced epitope retrieval by Tris-EDTA, pH8.0)Applications for SCMH1 Antibody (OTI5E6) - Azide and BSA Free
Application
Recommended Usage
Immunohistochemistry
1:150
Western Blot
1:2000
Formulation, Preparation, and Storage
Purification
Immunogen affinity purified
Reconstitution
we recommend adding 100uL distilled water to a final antibody concentration of about 1 mg/mL. To use this carrier-free antibody for conjugation experiment, we strongly recommend performing another round of desalting process.
Formulation
Lyophilized from PBS (pH 7.3) with 8% Trehalose
Format
Azide and BSA Free
Preservative
No Preservative
Concentration
LYOPH mg/ml
Shipping
The product is shipped with polar packs. Upon receipt, store it immediately at the temperature recommended below.
Stability & Storage
Store at -20C. Avoid freeze-thaw cycles.
Background: SCMH1
Alternate Names
polycomb protein SCMH1, Scml3, Sex comb on midleg homolog 1, sex comb on midleg homolog 1 (Drosophila)
Gene Symbol
SCMH1
Additional SCMH1 Products
Product Documents for SCMH1 Antibody (OTI5E6) - Azide and BSA Free
Product Specific Notices for SCMH1 Antibody (OTI5E6) - Azide and BSA Free
This product is for research use only and is not approved for use in humans or in clinical diagnosis. Primary Antibodies are guaranteed for 1 year from date of receipt.
Loading...
Loading...
Loading...
Loading...
Loading...