Skip to main content

SCGF/CLEC11a Antibody - BSA Free

Novus Biologicals, part of Bio-Techne | Catalog # NBP1-88076

Novus Biologicals, part of Bio-Techne
Catalog #
Availability
Size / Price
Qty
Loading...
NBP1-88076-25ul
NBP1-88076

Key Product Details

Species Reactivity

Human

Applications

Immunohistochemistry, Immunohistochemistry-Paraffin, Immunocytochemistry/ Immunofluorescence

Label

Unconjugated

Antibody Source

Polyclonal Rabbit IgG

Format

BSA Free

Concentration

Concentrations vary lot to lot. See vial label for concentration. If unlisted please contact technical services.

Product Specifications

Immunogen

This antibody was developed against Recombinant Protein corresponding to amino acids: LYLFENGQRVSFFAWHRSPRPELGAQPSASPHPLSPDQPNGGTLENCVAQASDDGSWWDHDCQRRLYYVCEFPF

Reactivity Notes

Immunogen displays the following percentage of sequence identity for non-tested species: Mouse (86%), Rat (88%)

Clonality

Polyclonal

Host

Rabbit

Isotype

IgG

Description

Novus Biologicals Rabbit SCGF/CLEC11a Antibody - BSA Free (NBP1-88076) is a polyclonal antibody validated for use in IHC and ICC/IF. All Novus Biologicals antibodies are covered by our 100% guarantee.

Scientific Data Images for SCGF/CLEC11a Antibody - BSA Free

SCGF/CLEC11a Antibody - BSA Free Immunocytochemistry/ Immunofluorescence: SCGF/CLEC11a Antibody - BSA Free [NBP1-88076]

Immunocytochemistry/ Immunofluorescence: SCGF/CLEC11a Antibody - BSA Free [NBP1-88076]

Staining of human cell line A-431 shows localization to centrosome.
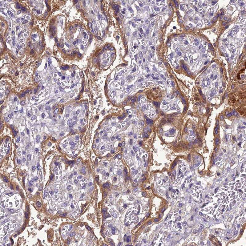
SCGF/CLEC11a Antibody - BSA Free Immunohistochemistry-Paraffin: SCGF/CLEC11a Antibody - BSA Free [NBP1-88076]

Immunohistochemistry-Paraffin: SCGF/CLEC11a Antibody - BSA Free [NBP1-88076]

Staining of human placenta shows moderate cytoplasmic/membranous positivity in trophoblastic cells.
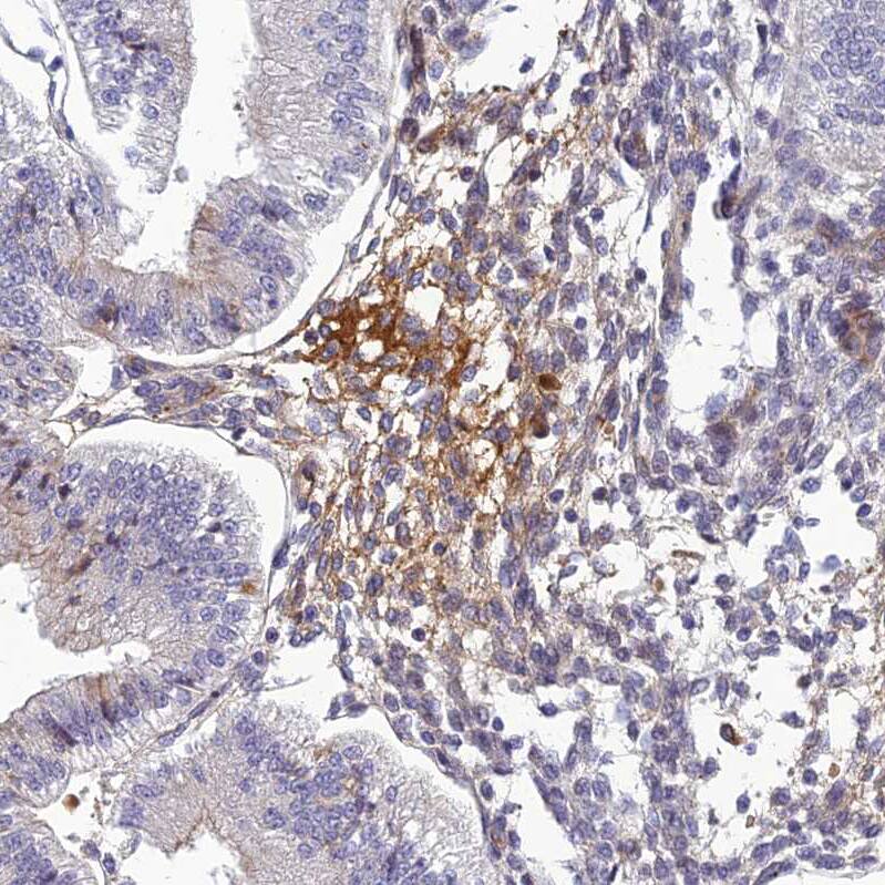
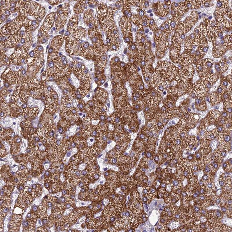
SCGF/CLEC11a Antibody - BSA Free Immunohistochemistry-Paraffin: SCGF/CLEC11a Antibody - BSA Free [NBP1-88076]

Immunohistochemistry-Paraffin: SCGF/CLEC11a Antibody - BSA Free [NBP1-88076]

Staining of human liver shows strong cytoplasmic-membranous positivity in hepatocytes.

Applications for SCGF/CLEC11a Antibody - BSA Free

Application
Recommended Usage

Immunocytochemistry/ Immunofluorescence

0.25-2 ug/ml

Immunohistochemistry

1:50 - 1:200

Immunohistochemistry-Paraffin

1:50 - 1:200
Application Notes
For IHC-Paraffin, HIER pH 6 retrieval is recommended. Immunocytochemistry/Immunofluorescence Fixation Permeabilization: Use PFA/Triton X-100.

Formulation, Preparation, and Storage

Purification

Affinity purified

Formulation

PBS (pH 7.2) and 40% Glycerol

Format

BSA Free

Preservative

0.02% Sodium Azide

Concentration

Concentrations vary lot to lot. See vial label for concentration. If unlisted please contact technical services.

Shipping

The product is shipped with polar packs. Upon receipt, store it immediately at the temperature recommended below.

Stability & Storage

Store at 4C short term. Aliquot and store at -20C long term. Avoid freeze-thaw cycles.

Background: SCGF/CLEC11a

Stem Cell Growth Factor Beta (SCGF) is a secreted sulfated glycoprotein that belongs to the C-type lectin superfamily and is expressed primarily in hematopoietic tissues. It functions as a growth factor for primitive hematopoietic progenitor cells. SCGF-beta is a truncated variant of SCGF that has a 78 amino acid residue deletion and lacks a functional calcium-dependent carbohydrate-recognition domain. The amino acid sequence of human SCGF is 85% identical to mouse and rat SCGF.

Long Name

Stem Cell Growth Factor/C-type Lectin Domain Family 11, Member A

Alternate Names

CLEC11a, CLECSF3, LSLCL

Gene Symbol

CLEC11A

Additional SCGF/CLEC11a Products

Product Documents for SCGF/CLEC11a Antibody - BSA Free

Certificate of Analysis

To download a Certificate of Analysis, please enter a lot number in the search box below.

Product Specific Notices for SCGF/CLEC11a Antibody - BSA Free

This product is for research use only and is not approved for use in humans or in clinical diagnosis. Primary Antibodies are guaranteed for 1 year from date of receipt.

Loading...
Loading...
Loading...
Loading...