Skip to main content

SCAPER Antibody - BSA Free

Novus Biologicals, part of Bio-Techne | Catalog # NBP2-13285

Novus Biologicals, part of Bio-Techne
Catalog #
Availability
Size / Price
Qty
Loading...
NBP2-13285
NBP2-13285-25ul

Key Product Details

Species Reactivity

Validated:

Human

Predicted:

Mouse (99%), Rat (99%). Backed by our 100% Guarantee.

Applications

Immunohistochemistry, Immunohistochemistry-Paraffin

Label

Unconjugated

Antibody Source

Polyclonal Rabbit IgG

Format

BSA Free

Concentration

Concentrations vary lot to lot. See vial label for concentration. If unlisted please contact technical services.

Product Specifications

Immunogen

This antibody was developed against a recombinant protein corresponding to the amino acids: KSPTKTRHPRKIDLRARYWAFLFDNLRRAVDEIYVTCESDQSVVECKEVLMMLDNYVRDFKALIDWIQLQEKLEKTDAQSRPTSLAWEVKKMSPGR

Clonality

Polyclonal

Host

Rabbit

Isotype

IgG

Description

Novus Biologicals Rabbit SCAPER Antibody - BSA Free (NBP2-13285) is a polyclonal antibody validated for use in IHC. All Novus Biologicals antibodies are covered by our 100% guarantee.

Scientific Data Images for SCAPER Antibody - BSA Free

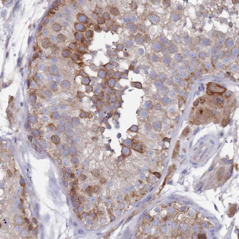
Immunohistochemistry-Paraffin: SCAPER Antibody [NBP2-13285]

Immunohistochemistry-Paraffin: SCAPER Antibody [NBP2-13285]

Immunohistochemistry-Paraffin: SCAPER Antibody [NBP2-13285] - Staining of human testis shows strong cytoplasmic positivity in cells in seminiferus ducts.
SCAPER Antibody - BSA Free Immunohistochemistry: SCAPER Antibody - BSA Free [NBP2-13285]

Immunohistochemistry: SCAPER Antibody - BSA Free [NBP2-13285]

Staining of human testis shows strong cytoplasmic positivity in cells in seminiferus ducts.

Applications for SCAPER Antibody - BSA Free

Application
Recommended Usage

Immunohistochemistry

1:50 - 1:200

Immunohistochemistry-Paraffin

1:50 - 1:200
Application Notes
For IHC-Paraffin, HIER pH 6 retrieval is recommended.

Formulation, Preparation, and Storage

Purification

Immunogen affinity purified

Formulation

PBS (pH 7.2) and 40% Glycerol

Format

BSA Free

Preservative

0.02% Sodium Azide

Concentration

Concentrations vary lot to lot. See vial label for concentration. If unlisted please contact technical services.

Shipping

The product is shipped with polar packs. Upon receipt, store it immediately at the temperature recommended below.

Stability & Storage

Store at 4C short term. Aliquot and store at -20C long term. Avoid freeze-thaw cycles.

Background: SCAPER

CCNA2/CDK2 regulatory protein that transiently maintains CCNA2 in the cytoplasm

Alternate Names

FLJ46212, KIAA1454FLJ31953, S phase cyclin A-associated protein in the endoplasmic reticulum, S phase cyclin A-associated protein in the ER, S-phase cyclin A-associated protein in the ER, Zfp291, Zinc finger protein 291FLJ31533, ZNF291

Gene Symbol

SCAPER

Additional SCAPER Products

Product Documents for SCAPER Antibody - BSA Free

Certificate of Analysis

To download a Certificate of Analysis, please enter a lot number in the search box below.

Product Specific Notices for SCAPER Antibody - BSA Free

This product is for research use only and is not approved for use in humans or in clinical diagnosis. Primary Antibodies are guaranteed for 1 year from date of receipt.

Loading...
Loading...
Loading...
Loading...