Skip to main content

SAT1 Antibody - BSA Free

Novus Biologicals, part of Bio-Techne | Catalog # NB110-41622

Novus Biologicals, part of Bio-Techne
Catalog #
Availability
Size / Price
Qty
Loading...
NB110-41622
NB110-41622SS
Conjugate
Catalog #

Key Product Details

Species Reactivity

Validated:

Human, Mouse, Rat, Porcine, Bovine, Chicken, Goat, Xenopus

Cited:

Human, Mouse, Rat

Applications

Validated:

Immunohistochemistry, Immunohistochemistry-Paraffin, Western Blot

Cited:

Western Blot

Label

Unconjugated

Antibody Source

Polyclonal Rabbit IgG

Format

BSA Free

Concentration

1.0 mg/ml

Product Specifications

Immunogen

A synthetic peptide made to a C-terminal region within residues 100-171 of human SAT1. [Swiss-Prot# P21673]

Reactivity Notes

Immunogen displays the following percentage of sequence identity for non-tested species: Zebrafish (86%).

Localization

Cytoplasm.

Clonality

Polyclonal

Host

Rabbit

Isotype

IgG

Theoretical MW

27 kDa.
Disclaimer note: The observed molecular weight of the protein may vary from the listed predicted molecular weight due to post translational modifications, post translation cleavages, relative charges, and other experimental factors.

Scientific Data Images for SAT1 Antibody - BSA Free

Western Blot: SAT1 AntibodyBSA Free [NB110-41622]

Western Blot: SAT1 AntibodyBSA Free [NB110-41622]

Western Blot: SAT1 Antibody [NB110-41622] - Detection of SAT1 in human SAT1 transfected lysate.
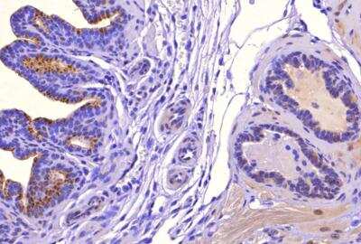
Immunohistochemistry: SAT1 Antibody - BSA Free [NB110-41622]

Immunohistochemistry: SAT1 Antibody - BSA Free [NB110-41622]

Immunohistochemistry: SAT1 Antibody [NB110-41622] - IHC analysis of SAT1 in mouse seminal vesical (left) and prostate (right) usind DAB with hematoxylin counterstain,

Applications for SAT1 Antibody - BSA Free

Application
Recommended Usage

Immunohistochemistry

1:100

Immunohistochemistry-Paraffin

1:100

Western Blot

1:500-1:1000
Application Notes
This SAT1 antibody is useful for Western Blot, and Immunohistochemistry paraffin embedded sections. In Western Blot analysis on transfected lysates a band is seen at ~27 kDa. In IHC-P, strong staining was observed in the cytoplasm with some weak nuclear staining in mouse seminal vesical and prostate tissue. Prior to immunostaining paraffin tissues, antigen retrieval with sodium citrate buffer (pH 6.0) is recommended. The observed molecular weight of the protein may vary from the listed predicted molecular weight due to post translational modifications, post translation cleavages, relative charges, and other experimental factors.

Formulation, Preparation, and Storage

Purification

Immunogen affinity purified

Formulation

PBS

Format

BSA Free

Preservative

0.02% Sodium Azide

Concentration

1.0 mg/ml

Shipping

The product is shipped with polar packs. Upon receipt, store it immediately at the temperature recommended below.

Stability & Storage

Store at 4C short term. Aliquot and store at -20C long term. Avoid freeze-thaw cycles.

Background: SAT1

SAT1 or spermidine/spermine N(1)-acetyltransferase 1 (also called SSAT, diamine acetyltransferase 1 and putrescine acetyltransferase) is a homodimeric cytoplasmic enzyme which belongs to acetyltransferase family and catalyzes acetylation of polyamines. SAT1's substrate specificity order is: norspermidine = spermidine >spermine > N(1)-acetylspermine > putrescine, and its activity is highly regulated that allows a fine attenuation of the intracellular polyamines concentrations via acetylation or polyamine export. Polyamines such as putrescine, spermidine and spermine are implicated in the regulation of cellular growth/proliferation (increased levels leads to cancer progression) and their levels are controlled by several catabolic enzymes which includes such as SAT1, APAO (acetylpolyamine oxidase) and SMO (spermine oxidase). Enhanced SSAT expression has been shown to be associated with apoptosis in cancer cells and SSAT was shown to decrease the expression of anti-apoptosis-related signaling proteins AKT and mTOR. SAT1 has also been implicated in the neurobiology of suicide and decreased SAT1 expression has been observed in several brain regions in suicide completers. Defects in SAT1 may be a cause of keratosis follicularis spinulosa decalvans X-linked (KFSDX).

Alternate Names

DC21, diamine acetyltransferase 1, diamine N-acetyltransferase 1, EC 2.3.1.57, KFSD, Polyamine N-acetyltransferase 1, Putrescine acetyltransferase, SAT, Spermidine/spermine N(1)-acetyltransferase 1, spermidine/spermine N1-acetyltransferase, spermidine/spermine N1-acetyltransferase 1, spermidine/spermine N1-acetyltransferase alpha, SSAT-1, SSATKFSDX

Gene Symbol

SAT1

Additional SAT1 Products

Product Documents for SAT1 Antibody - BSA Free

Certificate of Analysis

To download a Certificate of Analysis, please enter a lot number in the search box below.

Product Specific Notices for SAT1 Antibody - BSA Free

This product is for research use only and is not approved for use in humans or in clinical diagnosis. Primary Antibodies are guaranteed for 1 year from date of receipt.

Loading...
Loading...
Loading...
Loading...
Loading...