Skip to main content

SARS Spike Protein Antibody (1A9)

Novus Biologicals, part of Bio-Techne | Catalog # NBP3-48646

Novus Biologicals, part of Bio-Techne
Catalog #
Availability
Size / Price
Qty
Loading...
NBP3-48646

Key Product Details

Validated by

Independent Antibodies

Species Reactivity

SARS-CoV, SARS-CoV-2

Applications

Immunohistochemistry, Immunohistochemistry-Paraffin, Immunohistochemistry-Frozen, Western Blot, ELISA, Block/Neutralize, Flow Cytometry, Immunocytochemistry/ Immunofluorescence, Immunoprecipitation, Electron Microscopy

Label

Unconjugated

Antibody Source

Monoclonal Mouse IgG1 Clone # 1A9

Concentration

Concentrations vary lot to lot. See vial label for concentration. If unlisted please contact technical services.

Product Specifications

Immunogen

The immunogen used to generate this antibody corresponds to SARS-CoV S10 (within S2 domain) protein (1029-1192 a.a.). (SARS-CoV strain: Sin2774) The exact sequence is proprietary.

Clonality

Monoclonal

Host

Mouse

Isotype

IgG1

Description

Novus Biologicals Mouse SARS Spike Protein Antibody (1A9) (NBP3-48646) is a monoclonal antibody validated for use in IHC, WB, ELISA, Flow, ICC/IF and IP. All Novus Biologicals antibodies are covered by our 100% guarantee.

Scientific Data Images for SARS Spike Protein Antibody (1A9)

SARS Spike Protein Antibody (1A9)

NBP3-48646-SARS Spike Protein Antibody (1A9)

BHK-21 cells transfected with full-length SARS-CoV-2 spike were fixed in 4% paraformaldehyde at RT for 30 min.Green: SARS-CoV-2 (COVID-19) spike stained by SARS-CoV / SARS-CoV-2 (COVID-19) spike antibody [1A9] diluted at 1:2000.
SARS Spike Protein Antibody (1A9)

SARS Spike Protein Antibody (1A9)-NBP3-48646

Non-infected (–) and infected (+, 48h pl MOI 0.01) Caco-2 whole cell extracts were separated by SDS-PAGE, and the membrane was blotted with SARS-CoV / SARS-CoV-2 (COVID-19) spike antibody [1A9] diluted at 1:1000.
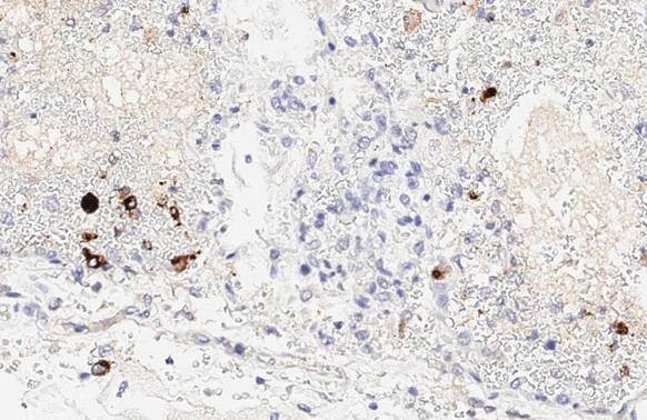
SARS Spike Protein Antibody (1A9)

SARS Spike Protein Antibody (1A9)-NBP3-48646

SARS-CoV / SARS-CoV-2 (COVID-19) spike antibody [1A9] detects SARS-CoV-2 (COVID-19) spike protein by immunohistochemical analysis of infected human placenta.

Applications for SARS Spike Protein Antibody (1A9)

Application
Recommended Usage

Block/Neutralize

Assay dependent

ELISA

Assay dependent

Electron Microscopy

Assay dependent

Flow Cytometry

Assay dependent

Immunocytochemistry/ Immunofluorescence

1:100-1:2000

Immunohistochemistry-Frozen

Assay dependent

Immunohistochemistry-Paraffin

1:100-1:500

Immunoprecipitation

Assay dependent

Western Blot

1:500-1:3000

Formulation, Preparation, and Storage

Purification

Protein G purified

Formulation

PBS, 20% Glycerol

Preservative

No Preservative

Concentration

Concentrations vary lot to lot. See vial label for concentration. If unlisted please contact technical services.

Shipping

The product is shipped with polar packs. Upon receipt, store it immediately at the temperature recommended below.

Stability & Storage

Store at 4C short term. Aliquot and store at -20C long term. Avoid freeze-thaw cycles.

Background: SARS Spike Protein

It has recently been shown that SARS (severe acute respiratory syndrome) is caused by a human coronavirus. Human coronaviruses are the major cause of upper respiratory tract illness, such as the common cold, in humans. Coronaviruses are positive-stranded RNA viruses, featuring the largest viral RNA genomes known to date (27-31 kb). The first step in coronavirus infection is binding of the viral spike protein, a 139-kDa protein, to certain receptors on host cells. The spike protein is the main surface antigen of the coronavirus. The glycosilated spike protein (as well as the nucleocapsid protein) can be detected in infected cell culture supernatants with antisera from SARS patients..

Alternate Names

E2, E2 glycoprotein, Human coronavirus spike glycoprotein, Peplomer protein, S, S glycoprotein, SARS coronavirus S protein, SARS coronavirus Spike Protein, SARS CoV, SARS CoV S glycoprotein, SARS CoV Spike protein, SARSCoV, SARS-CoV S protein, SARS-COV Spike, Severe acute respiratory syndrome spike glycoprotein, Severe acute respiratory syndrome virus spike glycoprotein, Spike glycoprotein, VGL2

Additional SARS Spike Protein Products

Product Documents for SARS Spike Protein Antibody (1A9)

Certificate of Analysis

To download a Certificate of Analysis, please enter a lot number in the search box below.

Product Specific Notices for SARS Spike Protein Antibody (1A9)

This product is for research use only and is not approved for use in humans or in clinical diagnosis. Primary Antibodies are guaranteed for 1 year from date of receipt.

Loading...
Loading...
Loading...
Loading...
Loading...
Loading...